免费电话:400-9961-933
邮箱:info@sabbiotech.com
欢迎光临本站
川博智能体 English
位置: 首页 > 多克隆抗体 > BMP2 antibody

BMP2 antibody #38107

是否有货: Yes
产品详情

产品名称BMP2 antibody

来源种属Rabbit

克隆性Polyclonal

亚型IgG

纯化Affinity purification

应用WB,IHC,IF

种属反应性Human;Mouse;Rat

特异性The antibody detects endogenous level of total BMP2 protein.

免疫原类型Recombinant Protein

免疫原描述Recombinant fusion protein of human BMP2 (NP_001191.1).

基因/蛋白名称BMP2

标记Unconjugated

别名BDA2;BMP2A;BMP2

数据库入口号Uniprot:P12643
GeneID:650

Uniprot P12643

Gene ID 650

实际分子量15KDa/26KDa/45KDa

浓度1.0mg/ml

配方PBS with 0.02% sodium azide,50% glycerol,pH7.3.

保存Store at -20˚C. Avoid freeze / thaw cycles.

应用详情

WB 1:500 - 1:2000
IHC 1:50 - 1:100
IF 1:50 - 1:200

Western blot analysis of extracts of various cell lines, using BMP2 antibody.
Western blot analysis of extracts of various cell lines, using BMP2 antibody.
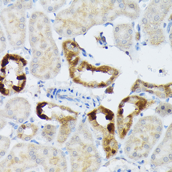
Immunohistochemistry of paraffin-embedded mouse kidney using BMP2 Rabbit pAb.
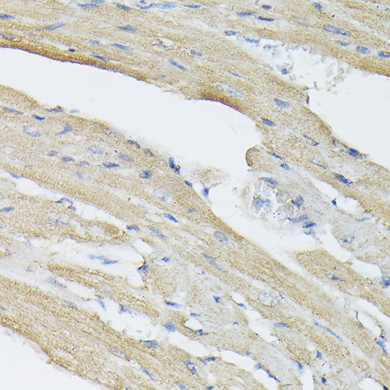
Immunohistochemistry of paraffin-embedded rat heart using BMP2 Rabbit pAb.
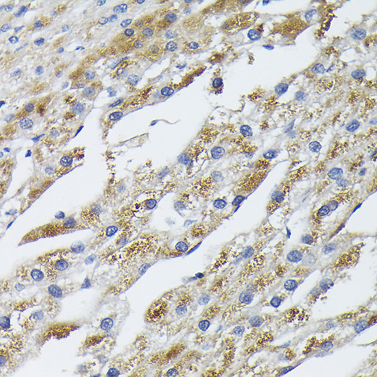
Immunohistochemistry of paraffin-embedded human liver cancer using BMP2 Rabbit pAb.

This gene encodes a secreted ligand of the TGF-beta (transforming growth factor-beta) superfamily of proteins. Ligands of this family bind various TGF-beta receptors leading to recruitment and activation of SMAD family transcription factors that regulate gene expression. The encoded preproprotein is proteolytically processed to generate each subunit of the disulfide-linked homodimer, which plays a role in bone and cartilage development. Duplication of a regulatory region downstream of this gene causes a form of brachydactyly characterized by a malformed index finger and second toe in human patients.

如果您使用该产品38107发表了文章,请通知我们,让我们可以引用您的文献。

et al,Asperosaponin VI, a saponin component from Dipsacus asper wall, induces osteoblast differentiation through bone morphogenetic protein-2/p38 and extracellular signal-regulated kinase 1/2 pathway.In Phytother Res on 2011 Nov by Niu Y, Li Y,et al..PMID: 21452371 , (2011),
PMID: 21452371

注释

应用

  • WB免疫印迹
  • IHC免疫组化
  • IF免疫荧光
  • ICC免疫细胞化学
  • FC流式细胞
  • IP免疫沉淀
  • E酶联免疫吸附法
  • DB免疫斑点法
  • ChIP染色质免疫沉淀
  • GICA胶体金免疫层析法
  • NC阴性对照

种属反应性

  • Hu
  • Ms小鼠
  • Rt大鼠
  • Dm果蝇
  • C线虫
  • Mk
  • Rb
  • B
  • D
  • P
  • Hm仓鼠
  • ChHm中国仓鼠
  • Chk
;

联系我们

Location :

南京市高新开发区星火路10号人才大厦C座

Phone :

400-9961-933
025-58868422

Email Address

info@sabbiotech.com