免费电话:400-9961-933
邮箱:info@sabbiotech.com
欢迎光临本站
川博智能体 English
位置: 首页 > 多克隆抗体 > IRS-1 Polyclonal Antibody

IRS-1 Polyclonal Antibody #38112

是否有货: Yes
产品详情

产品名称IRS-1 Polyclonal Antibody

来源种属Rabbit

克隆性Polyclonal

纯化Antibodies were purified by affinity purification using immunogen.

应用WB;IHC;IF;ELISA

种属反应性Human;Mouse;Rat

特异性The antibody detects endogenous level of total IRS1 protein.

免疫原类型Recombinant Protein

免疫原描述Recombinant protein of human IRS1.

基因/蛋白名称IRS1

标记Unconjugated

别名IRS1;HIRS-1;

数据库入口号Swiss-Prot#: P35568
NCBI Gene ID: 3667

Uniprot P35568

计算分子量132kDa

实际分子量180kDa

浓度1.0mg/ml

配方Supplied at 1.0mg/mL in phosphate buffered saline (without Mg2+ and Ca2+), pH 7.4, 150mM NaCl, 0.02% sodium azide and 50% glycerol.

保存Store at -20˚C

应用详情
WB 1:500-2000; IHC 1:50-200; IF 1:50-200; ELISA 1:5000-1:20000;
Western blot analysis of extracts from various cell lines using IRS-1 Antibody.
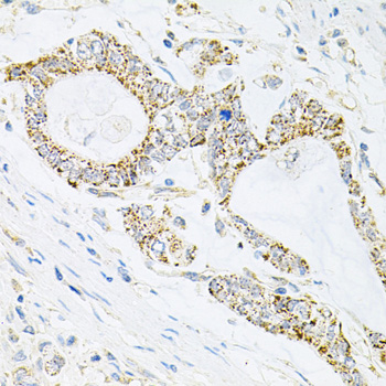
Immunohistochemistry analysis of paraffin-embedded Human lung cancer tissue using IRS-1 Antibody.
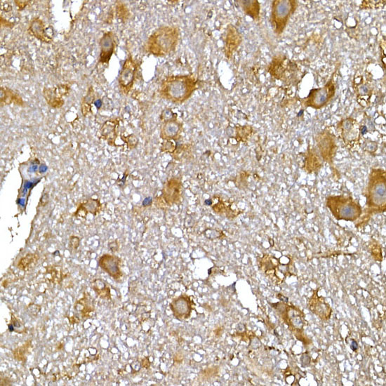
Immunohistochemistry analysis of paraffin-embedded Mouse spinal cord tissue using IRS-1 Antibody.
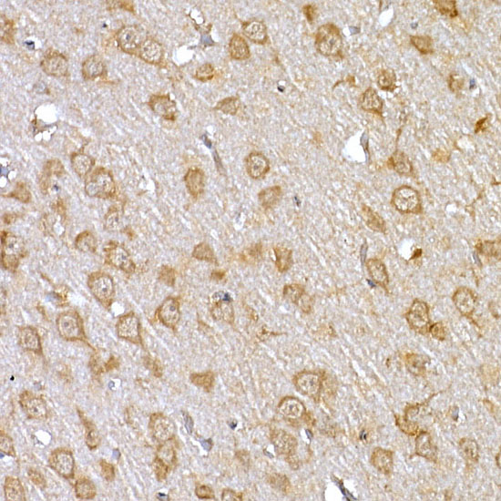
Immunohistochemistry analysis of paraffin-embedded Rat brain tissue using IRS-1 Antibody.
Immunofluorescence analysis of A-549 cells using IRS-1 Antibody.Blue: DAPI for nuclear staining.
Immunofluorescence analysis of MCF7 cells using IRS-1 Antibody.Blue: DAPI for nuclear staining.
Immunofluorescence analysis of NIH/3T3 cells using IRS-1 Antibody.Blue: DAPI for nuclear staining.
Immunofluorescence analysis of PC-12 cells using IRS-1 Antibody.Blue: DAPI for nuclear staining.
Insulin receptor substrate 1 (IRS-1) is one of the major substrates of the insulin receptor kinase (1). IRS-1 contains multiple tyrosine phosphorylation motifs that serve as docking sites for SH2-domain containing proteins that mediate the metabolic and growth-promoting functions of insulin (2-4). IRS-1 also contains over 30 potential serine/threonine phosphorylation sites. Ser307 of IRS-1 is phosphorylated by JNK (5) and IKK (6) while Ser789 is phosphorylated by SIK-2, a member of the AMPK family (7). The PKC and mTOR pathways mediate phosphorylation of IRS-1 at Ser612 and Ser636/639, respectively (8,9). Phosphorylation of IRS-1 at Ser1101 is mediated by PKCθ and results in an inhibition of insulin signaling in the cell, suggesting a potential mechanism for insulin resistance in some models of obesity (10).

如果您使用该产品38112发表了文章,请通知我们,让我们可以引用您的文献。

et al,Effects of periodontitis on aortic insulin resistance in an obese rat model.In Lab Invest on 2010 Mar by Daisuke Ekuni, Takaaki Tomofuji,et al..PMID:20065945 , (2010),
PMID: 20065945
et al,Alleviative effects of α-lipoic acid on muscle atrophy via the modulation of TNF-α/JNK and PI3K/AKT pathways in high-fat diet and streptozotocin-induced type 2 diabetic ratsInFood Sci NutrOn2023 Jan 12byChih-Yuan Ko 1 2 3, Chi-Hao Wu et al..PMID: 37051351 , (2023),
PMID: 37051351

注释

应用

  • WB免疫印迹
  • IHC免疫组化
  • IF免疫荧光
  • ICC免疫细胞化学
  • FC流式细胞
  • IP免疫沉淀
  • E酶联免疫吸附法
  • DB免疫斑点法
  • ChIP染色质免疫沉淀
  • GICA胶体金免疫层析法
  • NC阴性对照

种属反应性

  • Hu
  • Ms小鼠
  • Rt大鼠
  • Dm果蝇
  • C线虫
  • Mk
  • Rb
  • B
  • D
  • P
  • Hm仓鼠
  • ChHm中国仓鼠
  • Chk
;

联系我们

Location :

南京市高新开发区星火路10号人才大厦C座

Phone :

400-9961-933
025-58868422

Email Address

info@sabbiotech.com