免费电话:400-9961-933
邮箱:info@sabbiotech.com
欢迎光临本站
川博智能体 English
位置: 首页 > 多克隆抗体 > MCL1 antibody

MCL1 antibody #38113

是否有货: Yes
产品详情

产品名称MCL1 antibody

来源种属Rabbit

克隆性Polyclonal

纯化Antibodies were purified by affinity purification using immunogen.

应用WB,IHC,IF

种属反应性Human;Mouse

特异性The antibody detects endogenous level of total MCL1 protein.

免疫原类型Peptide

免疫原描述C term -peptide of human MCL1.

基因/蛋白名称MCL1

标记Unconjugated

别名MCL1;BCL2L3;EAT;MCL1L;MCL1S;MGC104264;MGC1839;Mcl-1;TM;

数据库入口号Swiss-Prot#: Q07820
NCBI Gene ID: 4170

Uniprot Q07820

实际分子量37kd

浓度1.0mg/ml

配方Supplied at 1.0mg/mL in phosphate buffered saline (without Mg2+ and Ca2+), pH 7.4, 150mM NaCl, 0.02% sodium azide and 50% glycerol.

保存Store at -20˚C

应用详情
WB 1:500 - 1:2000
IHC 1:100 - 1:200
IF 1:50 - 1:200
Western blot analysis of extracts of various cell lines, using MCL1 antibody at 1:1000 dilution.
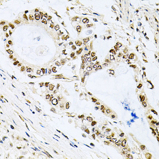
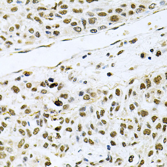
Immunohistochemistry of paraffin-embedded human lung cancer using MCL1 antibody at dilution of 1:100 (40x lens).
Immunohistochemistry of paraffin-embedded human gastric cancer using MCL1 antibody at dilution of 1:100 (40x lens).
Immunohistochemistry of paraffin-embedded mouse liver using MCL1 antibody at dilution of 1:100 (40x lens).
Immunofluorescence analysis of A431 cells using MCL1 antibody at dilution of 1:100 (40x lens). Blue: DAPI for nuclear staining.
Mcl-1 is an anti-apoptotic member of the Bcl-2 family originally isolated from the ML-1 human myeloid leukemia cell line during phorbol ester-induced differentiation along the monocyte/macrophage pathway (1). Similar to other Bcl-2 family members, Mcl-1 localizes to the mitochondria (2), interacts with and antagonizes pro-apoptotic Bcl-2 family members (3), and inhibits apoptosis induced by a number of cytotoxic stimuli (4). Mcl-1 differs from its other family members in its regulation at both the transcriptional and post-translational level. First, Mcl-1 has an extended amino-terminal PEST region, which is responsible for its relatively short half-life (1,2). Second, unlike other family members, Mcl-1 is rapidly transcribed via a PI3K/Akt dependent pathway, resulting in its increased expression during myeloid differentiation and cytokine stimulation (1,5-7). Mcl-1 is phosphorylated in response to treatment with phorbol ester, microtubule-damaging agents, oxidative stress, and cytokine withdrawal (8-11). Phosphorylation at Thr163, the conserved MAP kinase/ERK site located within the PEST region, slows Mcl-1 protein turnover (10) but may prime the GSK-3 mediated phosphorylation at Ser159 that leads to Mcl-1 destabilization (11). Mcl-1 deficiency in mice results in peri-implantation lethality (12). In addition, conditional disruption of the corresponding mcl-1 gene shows that Mcl-1 plays an important role in early lymphoid development and in the maintenance of mature lymphocytes (13).

如果您使用该产品38113发表了文章,请通知我们,让我们可以引用您的文献。

et al,Knockdown of DNMT1 Induces SLCO3A1 to Promote Follicular Growth by Enhancing the Proliferation of Granulosa Cells in Mammals. In Int J Mol Sci on 2024 Feb 20 by Shuo Li, Liqing Zeng,et al..PMID:38473715 , (2024),
PMID: 38473715
et al,FGA, a new target of histone acetylation, inhibits apoptosis of granulosa cells in follicles , (2025),
PMID: 40605115

注释

应用

  • WB免疫印迹
  • IHC免疫组化
  • IF免疫荧光
  • ICC免疫细胞化学
  • FC流式细胞
  • IP免疫沉淀
  • E酶联免疫吸附法
  • DB免疫斑点法
  • ChIP染色质免疫沉淀
  • GICA胶体金免疫层析法
  • NC阴性对照

种属反应性

  • Hu
  • Ms小鼠
  • Rt大鼠
  • Dm果蝇
  • C线虫
  • Mk
  • Rb
  • B
  • D
  • P
  • Hm仓鼠
  • ChHm中国仓鼠
  • Chk
;

联系我们

Location :

南京市高新开发区星火路10号人才大厦C座

Phone :

400-9961-933
025-58868422

Email Address

info@sabbiotech.com