免费电话:400-9961-933
邮箱:info@sabbiotech.com
欢迎光临本站
川博智能体 English
位置: 首页 > 多克隆抗体 > TNF-α Polyclonal Antibody

TNF-α Polyclonal Antibody #38122

是否有货: Yes
产品详情

产品名称TNF-α Polyclonal Antibody

来源种属Rabbit

克隆性Polyclonal

亚型IgG

纯化Affinity purification

应用WB;IHC;IF;ELISA

种属反应性Human;Mouse;Rat

特异性The antibody detects endogenous level of total TNF protein.

免疫原类型Recombinant Protein

免疫原描述Recombinant fusion protein of human TNF (NP_000585.2).

基因/蛋白名称TNF

标记Unconjugated

别名TNF;DIF;TNF-alpha;TNFA;TNFSF2;TNLG1F;TNF alpha

数据库入口号Uniprot:P01375
GeneID:7124

Uniprot P01375

Gene ID 7124

计算分子量26kDa

实际分子量17kDa/26kDa

浓度1.0mg/ml

配方PBS with 0.02% sodium azide,50% glycerol,pH7.3.

保存Store at -20˚C. Avoid freeze / thaw cycles.

应用详情
WB 1:500 - 1:2000 IHC 1:500 - 1:1000 IF 1:50 - 1:100 ELISA 1:5000-1:20000;
Western blot analysis of extracts from 293T and Raw264.7 cells using TNF-α Polyclonal Antibody.
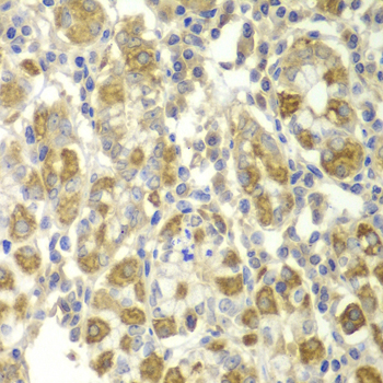
Immunohistochemistry of paraffin-embedded Human colon carcinoma tissue using TNF-α Polyclonal Antibody.
Immunohistochemistry of paraffin-embedded Human breast cancer tissue using TNF-α Polyclonal Antibody.
Immunohistochemistry of paraffin-embedded Human gastric cancer tissue using TNF-α Polyclonal Antibody.
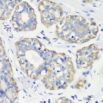
Immunohistochemistry of paraffin-embedded Human stomach tissue using TNF-α Polyclonal Antibody.
Immunofluorescence analysis of Human mammary cancer cells using TNF-α Polyclonal Antibody.Blue: DAPI for nuclear staining.
Immunofluorescence analysis of HepG2 cells using TNF-α Polyclonal Antibody(left) or the same antibody preincubated with blocking peptide(right).

This gene encodes a multifunctional proinflammatory cytokine that belongs to the tumor necrosis factor (TNF) superfamily. This cytokine is mainly secreted by macrophages. It can bind to, and thus functions through its receptors TNFRSF1A/TNFR1 and TNFRSF1B/TNFBR. This cytokine is involved in the regulation of a wide spectrum of biological processes including cell proliferation, differentiation, apoptosis, lipid metabolism, and coagulation. This cytokine has been implicated in a variety of diseases, including autoimmune diseases, insulin resistance, and cancer. Knockout studies in mice also suggested the neuroprotective function of this cytokine.

如果您使用该产品38122发表了文章,请通知我们,让我们可以引用您的文献。

et al,Lactobacillus reuteri Alleviates Hyperoxia-Induced BPD by Activating IL-22/STAT3 Signaling Pathway in Neonatal Mice , (2024),
PMID:
et al,Targeting the AKT-P53/CREB pathway with epicatechin for improved prognosis of traumatic brain injury , (2023),
PMID:

注释

应用

  • WB免疫印迹
  • IHC免疫组化
  • IF免疫荧光
  • ICC免疫细胞化学
  • FC流式细胞
  • IP免疫沉淀
  • E酶联免疫吸附法
  • DB免疫斑点法
  • ChIP染色质免疫沉淀
  • GICA胶体金免疫层析法
  • NC阴性对照

种属反应性

  • Hu
  • Ms小鼠
  • Rt大鼠
  • Dm果蝇
  • C线虫
  • Mk
  • Rb
  • B
  • D
  • P
  • Hm仓鼠
  • ChHm中国仓鼠
  • Chk
;

联系我们

Location :

南京市高新开发区星火路10号人才大厦C座

Phone :

400-9961-933
025-58868422

Email Address

info@sabbiotech.com