免费电话:400-9961-933
邮箱:info@sabbiotech.com
欢迎光临本站
川博智能体 English
位置: 首页 > 多克隆抗体 > ATG7 antibody

ATG7 antibody #38148

是否有货: Yes
产品详情

产品名称ATG7 antibody

来源种属Rabbit

克隆性Polyclonal

纯化Antibodies were purified by affinity purification using immunogen.

应用WB,IHC,IF

种属反应性Human;Mouse;Rat

特异性The antibody detects endogenous level of total ATG7 protein.

免疫原类型Recombinant Protein

免疫原描述Recombinant protein of human ATG7.

基因/蛋白名称ATG7

标记Unconjugated

别名ATG7;APG7-LIKE;APG7L;DKFZp434N0735;GSA7;

数据库入口号Swiss-Prot#: O95352
NCBI Gene ID: 10533

Uniprot O95352

实际分子量78kd

浓度1.0mg/ml

配方Supplied at 1.0mg/mL in phosphate buffered saline (without Mg2+ and Ca2+), pH 7.4, 150mM NaCl, 0.02% sodium azide and 50% glycerol.

保存Store at -20˚C

应用详情
WB 1:500 - 1:2000
IHC 1:50 - 1:200
IF 1:50 - 1:200
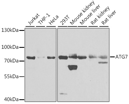
Western blot analysis of extracts of various cell lines, using ATG7 antibody at 1:1000 dilution.
Immunofluorescence analysis of NIH/3T3 cells using ATG7 antibody at dilution of 1:100. Blue: DAPI for nuclear staining.
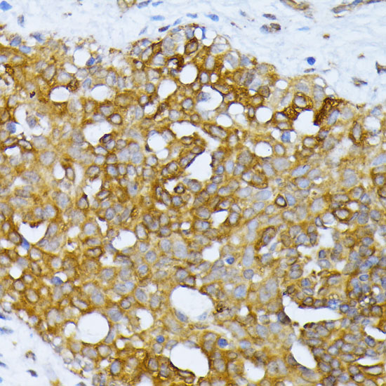
Immunohistochemistry of paraffin-embedded human breast cancer using ATG7 antibody at dilution of 1:100 (40x lens).
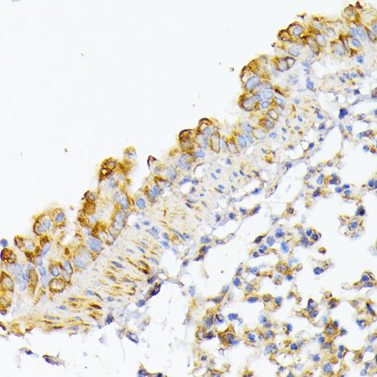
Immunohistochemistry of paraffin-embedded mouse lung using ATG7 antibody at dilution of 1:100 (40x lens).

Autophagy is a catabolic process for the autophagosomic-lysosomal degradation of bulk cytoplasmic contents (1,2). Autophagy is generally activated by conditions of nutrient deprivation but has also been associated with a number of physiological processes including development, differentiation, neurodegeneration, infection, and cancer (3). The molecular machinery of autophagy was largely discovered in yeast and referred to as autophagy-related (Atg) genes. Formation of the autophagosome involves a ubiquitin-like conjugation system in which Atg12 is covalently bound to Atg5 and targeted to autophagosome vesicles (4-6). This conjugation reaction is mediated by the ubiquitin E1-like enzyme Atg7 and the E2-like enzyme Atg10 (7,8).

如果您使用该产品38148发表了文章,请通知我们,让我们可以引用您的文献。

et al,Autophagy regulates the degeneration of the auditory cortex through the AMPK-mTOR-ULK1 signaling pathway.In Int J Mol Med. On 2018 Apr by Yuan J, Zhao X et al..PMID: 29344647 , (2018),
PMID: 29344647
et al,Dexmedetomidine Mitigated NLRP3-Mediated Neuroinflammation via the Ubiquitin-Autophagy Pathway to Improve Perioperative Neurocognitive Disorder in Mice. In Front Pharmacol on 2021 May 17 by Lieliang Zhang, Fan Xiao,et al..PMID: 34079457 , (2021),
PMID: 34079457

注释

应用

  • WB免疫印迹
  • IHC免疫组化
  • IF免疫荧光
  • ICC免疫细胞化学
  • FC流式细胞
  • IP免疫沉淀
  • E酶联免疫吸附法
  • DB免疫斑点法
  • ChIP染色质免疫沉淀
  • GICA胶体金免疫层析法
  • NC阴性对照

种属反应性

  • Hu
  • Ms小鼠
  • Rt大鼠
  • Dm果蝇
  • C线虫
  • Mk
  • Rb
  • B
  • D
  • P
  • Hm仓鼠
  • ChHm中国仓鼠
  • Chk
;

联系我们

Location :

南京市高新开发区星火路10号人才大厦C座

Phone :

400-9961-933
025-58868422

Email Address

info@sabbiotech.com