免费电话:400-9961-933
邮箱:info@sabbiotech.com
欢迎光临本站
川博智能体 English
位置: 首页 > 多克隆抗体 > ALPL antibody

ALPL antibody #38179

是否有货: Yes
产品详情

产品名称ALPL antibody

来源种属Rabbit

克隆性Polyclonal

亚型IgG

纯化Affinity purification

应用WB,IHC

种属反应性Human;Mouse;Rat

特异性The antibody detects endogenous level of total ALPL protein.

免疫原类型Recombinant Protein

免疫原描述Recombinant fusion protein of human Alkaline Phosphatase (Alkaline Phosphatase (ALPL)) (NP_000469.3).

基因/蛋白名称ALPL

标记Unconjugated

别名ALPL;AP-TNAP;APTNAP;HOPS;TNAP

数据库入口号Uniprot:P05186
GeneID:249

Uniprot P05186

Gene ID 249

实际分子量80KDa

浓度1.0mg/ml

配方PBS with 0.02% sodium azide,50% glycerol,pH7.3.

保存Store at -20˚C. Avoid freeze / thaw cycles.

应用详情
WB 1:500 - 1:2000
IHC 1:50 - 1:200
Western blot analysis of extracts of various cell lines, using Alkaline Phosphatase (ALPL) antibody.
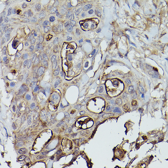
Immunohistochemistry of paraffin-embedded human colon carcinoma using Alkaline Phosphatase (ALPL) Rabbit pAb.
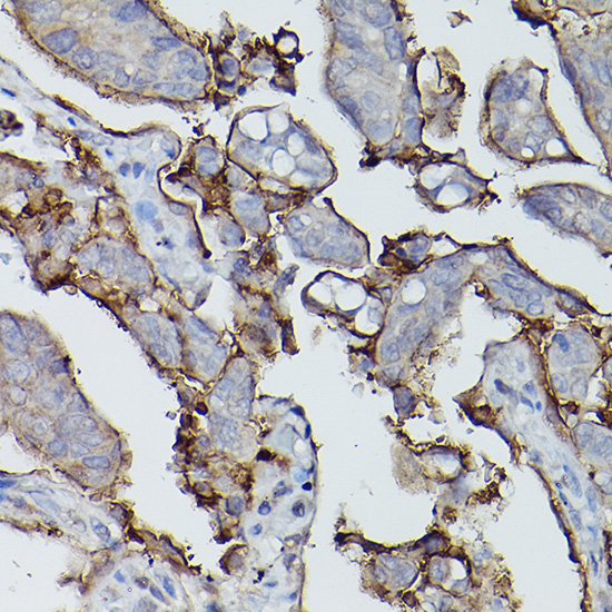
Immunohistochemistry of paraffin-embedded human lung cancer using Alkaline Phosphatase (ALPL) Rabbit pAb.
This gene encodes a member of the alkaline phosphatase family of proteins. There are at least four distinct but related alkaline phosphatases: intestinal, placental, placental-like, and liver/bone/kidney (tissue non-specific). The first three are located together on chromosome 2, while the tissue non-specific form is located on chromosome 1. The product of this gene is a membrane bound glycosylated enzyme that is not expressed in any particular tissue and is, therefore, referred to as the tissue-nonspecific form of the enzyme. Alternative splicing results in multiple transcript variants, at least one of which encodes a preproprotein that is proteolytically processed to generate the mature enzyme. This enzyme may play a role in bone mineralization. Mutations in this gene have been linked to hypophosphatasia, a disorder that is characterized by hypercalcemia and skeletal defects.

如果您使用该产品38179发表了文章,请通知我们,让我们可以引用您的文献。

et al,Surface mIneralized biphasic calcium phosphate ceramics loaded with urIne-derived stem cells are effective In bone regeneration. In J Orthop Surg Res on 2019 Dec 9 by XIng , Li L, et al..PMID:31818319 , (2019),
PMID: 31818319

注释

应用

  • WB免疫印迹
  • IHC免疫组化
  • IF免疫荧光
  • ICC免疫细胞化学
  • FC流式细胞
  • IP免疫沉淀
  • E酶联免疫吸附法
  • DB免疫斑点法
  • ChIP染色质免疫沉淀
  • GICA胶体金免疫层析法
  • NC阴性对照

种属反应性

  • Hu
  • Ms小鼠
  • Rt大鼠
  • Dm果蝇
  • C线虫
  • Mk
  • Rb
  • B
  • D
  • P
  • Hm仓鼠
  • ChHm中国仓鼠
  • Chk
;

联系我们

Location :

南京市高新开发区星火路10号人才大厦C座

Phone :

400-9961-933
025-58868422

Email Address

info@sabbiotech.com