免费电话:400-9961-933
邮箱:info@sabbiotech.com
欢迎光临本站
川博智能体 English
位置: 首页 > 多克隆抗体 > RAGE antibody

RAGE antibody #38298

是否有货: Yes
产品详情

产品名称RAGE antibody

来源种属Rabbit

克隆性Polyclonal

纯化Antibodies were purified by affinity purification using immunogen.

应用WB,IHC

种属反应性Human;Mouse;Rat

特异性The antibody detects endogenous level of total RAGE protein.

免疫原类型Recombinant Protein

免疫原描述Recombinant protein of human RAGE.

基因/蛋白名称RAGE

标记Unconjugated

别名MOK; RAGE; RAGE-1; RAGE1;

数据库入口号Swiss-Prot#: Q9UQ07
NCBI Gene ID: 5891

Uniprot Q9UQ07

实际分子量48kd

浓度1.0mg/ml

配方Supplied at 1.0mg/mL in phosphate buffered saline (without Mg2+ and Ca2+), pH 7.4, 150mM NaCl, 0.02% sodium azide and 50% glycerol.

保存Store at -20˚C

应用详情
WB 1:500 - 1:2000
IHC 1:50 - 1:200
Western blot analysis of extracts of mouse liver, using MOK antibody at 1:1000 dilution.
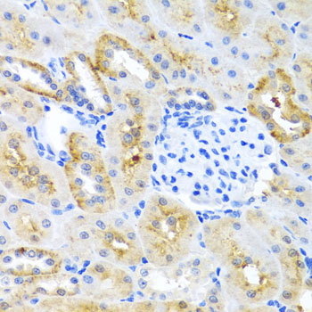
Immunohistochemistry of paraffin-embedded mouse kidney using MOK antibody at dilution of 1:100 (40x lens).
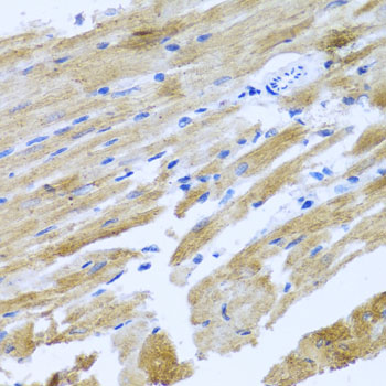
Immunohistochemistry of paraffin-embedded rat heart using MOK antibody at dilution of 1:100 (40x lens).
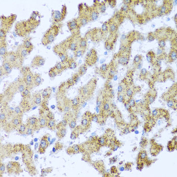
Immunohistochemistry of paraffin-embedded human liver using MOK antibody at dilution of 1:100 (40x lens).
This gene belongs to the MAP kinase superfamily. The gene was found to be regulated by caudal type transcription factor 2 (Cdx2) protein. The encoded protein, which is localized to epithelial cells in the intestinal crypt, may play a role in growth arrest and differentiation of cells of upper crypt and lower villus regions. Multiple alternatively spliced transcript variants encoding different isoforms have been observed for this gene. [provided by RefSeq, Dec 2012]

如果您使用该产品38298发表了文章,请通知我们,让我们可以引用您的文献。

et al,Silencing of advanced glycosylation and glycosylation and product-specific receptor (RAGE) inhibits the metastasis and growth of non-small cell lung cancer.In Am J Transl Res on 2017Jun 15 by Yan Xia Yu, Wen Chong Pan,et al..PMID: 28670367 , (2017),
PMID: 28670367

注释

应用

  • WB免疫印迹
  • IHC免疫组化
  • IF免疫荧光
  • ICC免疫细胞化学
  • FC流式细胞
  • IP免疫沉淀
  • E酶联免疫吸附法
  • DB免疫斑点法
  • ChIP染色质免疫沉淀
  • GICA胶体金免疫层析法
  • NC阴性对照

种属反应性

  • Hu
  • Ms小鼠
  • Rt大鼠
  • Dm果蝇
  • C线虫
  • Mk
  • Rb
  • B
  • D
  • P
  • Hm仓鼠
  • ChHm中国仓鼠
  • Chk
;

联系我们

Location :

南京市高新开发区星火路10号人才大厦C座

Phone :

400-9961-933
025-58868422

Email Address

info@sabbiotech.com