免费电话:400-9961-933
邮箱:info@sabbiotech.com
欢迎光临本站
川博智能体 English
位置: 首页 > 多克隆抗体 > PTPRA antibody

PTPRA antibody #38329

是否有货: Yes
产品详情

产品名称PTPRA antibody

来源种属Rabbit

克隆性Polyclonal

纯化Antibodies were purified by affinity purification using immunogen.

应用WB,IHC

种属反应性Human;Mouse

特异性The antibody detects endogenous level of total PTPRA protein.

免疫原类型Recombinant Protein

免疫原描述Recombinant protein of human PTPRA.

基因/蛋白名称PTPRA

标记Unconjugated

别名LRP; HLPR; PTPA; HEPTP; HPTPA; RPTPA; PTPRL2; HPTPalpha; R-PTP-alpha;

数据库入口号Swiss-Prot#: P18433
NCBI Gene ID: 5786

Uniprot P18433

实际分子量90kd

浓度1.0mg/ml

配方Supplied at 1.0mg/mL in phosphate buffered saline (without Mg2+ and Ca2+), pH 7.4, 150mM NaCl, 0.02% sodium azide and 50% glycerol.

保存Store at -20˚C

应用详情
WB 1:500 - 1:2000
IHC 1:100 - 1:200
Western blot analysis of extracts of various cell lines, using PTPRA antibody at 1:1000 dilution.
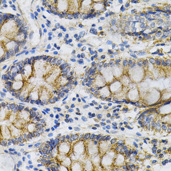
Immunohistochemistry of paraffin-embedded human colon using PTPRA antibody at dilution of 1:100 (40x lens).
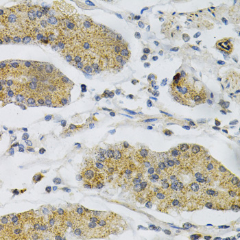
Immunohistochemistry of paraffin-embedded human kidney using PTPRA antibody at dilution of 1:100 (40x lens).
Immunohistochemistry of paraffin-embedded human stomach using PTPRA antibody at dilution of 1:100 (40x lens).
The protein encoded by this gene is a member of the protein tyrosine phosphatase (PTP) family. PTPs are known to be signaling molecules that regulate a variety of cellular processes including cell growth, differentiation, mitotic cycle, and oncogenic transformation. This PTP contains an extracellular domain, a single transmembrane segment and two tandem intracytoplasmic catalytic domains, and thus represents a receptor-type PTP. This PTP has been shown to dephosphorylate and activate Src family tyrosine kinases, and is implicated in the regulation of integrin signaling, cell adhesion and proliferation. Three alternatively spliced variants of this gene, which encode two distinct isoforms, have been reported.

如果您使用该产品38329发表了文章,请通知我们,让我们可以引用您的文献。

et al,MicroRNA-146a-5p Attenuates Fibrosis-related Molecules In Irradiated and TGF-beta1-Treated Human Hepatic Stellate Cells by RegulatIng PTPRA-SRC SignalIng. In Radiat Res on 2019 Dec by Yuan BY, Chen YH, et al..PMID:31560641 , (2019),
PMID: 31560641

注释

应用

  • WB免疫印迹
  • IHC免疫组化
  • IF免疫荧光
  • ICC免疫细胞化学
  • FC流式细胞
  • IP免疫沉淀
  • E酶联免疫吸附法
  • DB免疫斑点法
  • ChIP染色质免疫沉淀
  • GICA胶体金免疫层析法
  • NC阴性对照

种属反应性

  • Hu
  • Ms小鼠
  • Rt大鼠
  • Dm果蝇
  • C线虫
  • Mk
  • Rb
  • B
  • D
  • P
  • Hm仓鼠
  • ChHm中国仓鼠
  • Chk
;

联系我们

Location :

南京市高新开发区星火路10号人才大厦C座

Phone :

400-9961-933
025-58868422

Email Address

info@sabbiotech.com