免费电话:400-9961-933
邮箱:info@sabbiotech.com
欢迎光临本站
川博智能体 English
位置: 首页 > 多克隆抗体 > GSK3B antibody

GSK3B antibody #38353

是否有货: Yes
产品详情

产品名称GSK3B antibody

来源种属Rabbit

克隆性Polyclonal

纯化Antibodies were purified by affinity purification using immunogen.

应用WB,IHC,IF

种属反应性Human;Mouse;Rat

特异性The antibody detects endogenous level of total GSK3B protein.

免疫原类型Peptide

免疫原描述A synthetic peptide of human GSK3B.

基因/蛋白名称GSK3B

标记Unconjugated

别名GSK3B; GSK3β;

数据库入口号Swiss-Prot#: P49841
NCBI Gene ID: 2932

Uniprot P49841

实际分子量48kd

浓度1.0mg/ml

配方Supplied at 1.0mg/mL in phosphate buffered saline (without Mg2+ and Ca2+), pH 7.4, 150mM NaCl, 0.02% sodium azide and 50% glycerol.

保存Store at -20˚C

应用详情
WB 1:500 - 1:2000
IHC 1:50 - 1:200
IF 1:50 - 1:200
IP 1:50 - 1:200
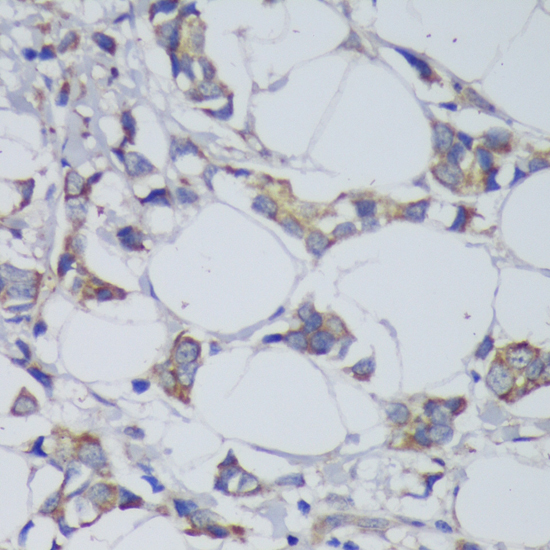
Immunohistochemistry of paraffin-embedded human mammary cancer using GSK3B antibody at dilution of 1:200 (40x lens).
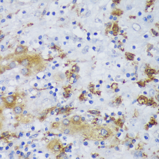
Immunohistochemistry of paraffin-embedded human liver cancer using GSK3B antibody at dilution of 1:200 (40x lens).
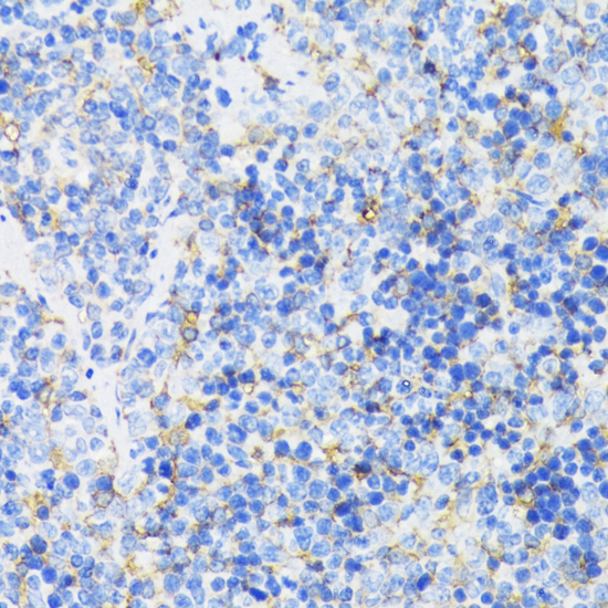
Immunohistochemistry of paraffin-embedded mouse spleen using GSK3B antibody at dilution of 1:200 (40x lens).
Immunofluorescence analysis of C6 cells using GSK3B antibody at dilution of 1:100. Blue: DAPI for nuclear staining.
Western blot analysis of extracts of mouse brain, using GSK3B antibody at 1:1000 dilution.
Glycogen synthase kinase-3 (GSK-3) was initially identified as an enzyme that regulates glycogen synthesis in response to insulin (1). GSK-3 is a ubiquitously expressed serine/threonine protein kinase that phosphorylates and inactivates glycogen synthase. GSK-3 is a critical downstream element of the PI3K/Akt cell survival pathway whose activity can be inhibited by Akt-mediated phosphorylation at Ser21 of GSK-3α and Ser9 of GSK-3β (2,3). GSK-3 has been implicated in the regulation of cell fate in Dictyostelium and is a component of the Wnt signaling pathway required for Drosophila, Xenopus, and mammalian development (4). GSK-3 has been shown to regulate cyclin D1 proteolysis and subcellular localization (5).

如果您使用该产品38353发表了文章,请通知我们,让我们可以引用您的文献。

et al,Multifunctional Injectable Bioadhesive with Toll-like Receptor 4 and Myeloid Differentiation Factor 2 Antagonistic Anti-inflammatory Potential for Periodontal Regeneration. , (2025),
PMID: 39951685

注释

应用

  • WB免疫印迹
  • IHC免疫组化
  • IF免疫荧光
  • ICC免疫细胞化学
  • FC流式细胞
  • IP免疫沉淀
  • E酶联免疫吸附法
  • DB免疫斑点法
  • ChIP染色质免疫沉淀
  • GICA胶体金免疫层析法
  • NC阴性对照

种属反应性

  • Hu
  • Ms小鼠
  • Rt大鼠
  • Dm果蝇
  • C线虫
  • Mk
  • Rb
  • B
  • D
  • P
  • Hm仓鼠
  • ChHm中国仓鼠
  • Chk
;

联系我们

Location :

南京市高新开发区星火路10号人才大厦C座

Phone :

400-9961-933
025-58868422

Email Address

info@sabbiotech.com