免费电话:400-9961-933
邮箱:info@sabbiotech.com
欢迎光临本站
川博智能体 English
位置: 首页 > 多克隆抗体 > INS antibody

INS antibody #38355

是否有货: Yes
产品详情

产品名称INS antibody

来源种属Rabbit

克隆性Polyclonal

纯化Antibodies were purified by affinity purification using immunogen.

应用WB,IHC,IF

种属反应性Human;Mouse;Rat

特异性The antibody detects endogenous level of total INS protein.

免疫原类型Recombinant Protein

免疫原描述Recombinant protein of human INS.

基因/蛋白名称INS

标记Unconjugated

别名ILPR; IRDN; IDDM2; MODY10; Insulin;

数据库入口号Swiss-Prot#: P01308
NCBI Gene ID: 3630

Uniprot P01308

实际分子量12kd

浓度1.0mg/ml

配方Supplied at 1.0mg/mL in phosphate buffered saline (without Mg2+ and Ca2+), pH 7.4, 150mM NaCl, 0.02% sodium azide and 50% glycerol.

保存Store at -20˚C

应用详情
WB 1:500 - 1:2000
IHC 1:50 - 1:200
IF 1:50 - 1:200
Immunofluorescence analysis of rat pancreas using INS antibody at dilution of 1:100. Blue: DAPI for nuclear staining.
Immunofluorescence analysis of mouse pancreas using INS antibody at dilution of 1:100. Blue: DAPI for nuclear staining.
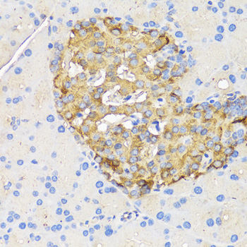
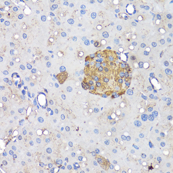
Immunohistochemistry of paraffin-embedded rat pancreatic islet using INS antibody at dilution of 1:50 (40x lens).
Immunohistochemistry of paraffin-embedded mouse pancreatic islet using INS antibody at dilution of 1:50 (40x lens).
Western blot analysis of extracts of mouse pancreas, using INS antibody at 1:1000 dilution.
The maintenance of glucose homeostasis is an essential physiological process that is regulated by hormones. An elevation in blood glucose levels during feeding stimulates insulin release from pancreatic β cells through a glucose sensing pathway (1). Insulin is synthesized as a precursor molecule, proinsulin, which is processed prior to secretion. A- and B-peptides are joined together by a disulfide bond to form insulin, while the central portion of the precursor molecule is cleaved and released as the C-peptide. Insulin stimulates glucose uptake from blood into skeletal muscle and adipose tissue. Insulin deficiency leads to type 1 diabetes mellitus (2).

如果您使用该产品38355发表了文章,请通知我们,让我们可以引用您的文献。

et al,Clinical and functional characterization of a novel KCNJ11 (c. 101G> A, p. R34H) mutation associated with maturity-onset diabetes mellitus of the young type 13. In Endocrine on 2024 Nov by Xiaoyu Lv, Jing Gao,et al..PMID:38761346 , (2024),
PMID: 38761346
et al,Clinical and functional characterization of a novel KCNJ11 (c.101G > A, p.R34H) mutation associated with maturity-onset diabetes mellitus of the young type 13 , (2024),
PMID:

注释

应用

  • WB免疫印迹
  • IHC免疫组化
  • IF免疫荧光
  • ICC免疫细胞化学
  • FC流式细胞
  • IP免疫沉淀
  • E酶联免疫吸附法
  • DB免疫斑点法
  • ChIP染色质免疫沉淀
  • GICA胶体金免疫层析法
  • NC阴性对照

种属反应性

  • Hu
  • Ms小鼠
  • Rt大鼠
  • Dm果蝇
  • C线虫
  • Mk
  • Rb
  • B
  • D
  • P
  • Hm仓鼠
  • ChHm中国仓鼠
  • Chk
;

联系我们

Location :

南京市高新开发区星火路10号人才大厦C座

Phone :

400-9961-933
025-58868422

Email Address

info@sabbiotech.com