免费电话:400-9961-933
邮箱:info@sabbiotech.com
欢迎光临本站
川博智能体 English
位置: 首页 > 多克隆抗体 > IL10 antibody

IL10 antibody #38392

是否有货: Yes
产品详情

产品名称IL10 antibody

来源种属Rabbit

克隆性Polyclonal

纯化Antibodies were purified by affinity purification using immunogen.

应用WB,IHC

种属反应性Human;Mouse;Rat

特异性The antibody detects endogenous level of total IL10 protein.

免疫原类型Recombinant Protein

免疫原描述Recombinant protein of human IL10.

基因/蛋白名称IL10

标记Unconjugated

别名IL10; CSIF; GVHDS; IL-10; IL10A; TGIF; Interleukin-10; Cytokine synthesis inhibitory factor;

数据库入口号Swiss-Prot#: P22301
NCBI Gene ID: 3586

Uniprot P22301

实际分子量19kd

浓度1.0mg/ml

配方Supplied at 1.0mg/mL in phosphate buffered saline (without Mg2+ and Ca2+), pH 7.4, 150mM NaCl, 0.02% sodium azide and 50% glycerol.

保存Store at -20˚C

应用详情

WB 1:500 - 1:2000

IHC 1:50 - 1:100

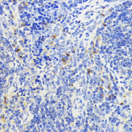
Immunohistochemistry of paraffin-embedded mouse spleen using IL10 antibody at dilution of 1:200 (40x lens).
Western blot analysis of extracts of Jurkat cells, using IL10 antibody at 1:1000 dilution.

IL-10 is an anti-inflammatory cytokine that is produced by T cells, NK cells and macrophages (1,2). IL-10 initiates signal transduction by binding to a cell surface receptor complex consisting of IL-10 RI and IL-10 RII (1). Binding of IL-10 leads to the activation of Jak1 and Tyk2, which phosphorylates Stat-3 (1,3). The anti-inflammatory activity of IL-10 is due to its ability to block signaling through other cytokine receptors, notably IFNγ receptor, by upregulating expression of SOCS-1 (1,3). In addition, IL-10 promotes T cell tolerance by inhibiting tyrosine phosphorylation of CD28 (4,5). IL-10 is an important negative regulator of the immune response, which allows for maintenance of pregnancy (1). In contrast, increased IL-10 levels contribute to persistent Leishmania major infections (6).

如果您使用该产品38392发表了文章,请通知我们,让我们可以引用您的文献。

et al,TAM Infiltration Differences in "Tumor-First" and " ZHENG-First" Models and the Underlying Inflammatory Molecular Mechanism in Pancreatic Cancer.In Integr Cancer Ther. On 2018 Sep by Wang FJ, Wang P et al..PMID: 29681184 , (2018),
PMID: 29681184
et al,Inhibition of airway remodeling and inflammation by isoforskolin in PDGF-induced rat ASMCs and OVA-induced rat asthma model.In Biomed Pharmacother on 2017 Nov by Xin Liang, Jingjing Wang,et al..PMID: 28850927 , (2017),
PMID: 28850927
et al,Peptide KLF14-P1 secreted from mesenchymal stem cells protects against bronchopulmonary dysplasia both in vivo and in vitro , (2022),
PMID:
et al,Modified Xi-Jiao-Di-Huang Decoction Alleviates Sepsis via Regulating Macrophage Polarization by Inhibiting the PIM2/NF-κB Pathway , (2025),
PMID: 40248592
et al,Konjac glucomannan/Bletilla striata polysaccharide composite hydrogel: A promising anti-inflammatory dressing for accelerated wound healing , (2025),
PMID: 40368564
et al,Multifunctional Inorganic-Nanosheets-Based Nanohydrogel for Periodontal Bone Regeneration via Antibacterial and Anti-Ferroptotic Immunomodulation , (2025),
PMID: 41250788

注释

应用

  • WB免疫印迹
  • IHC免疫组化
  • IF免疫荧光
  • ICC免疫细胞化学
  • FC流式细胞
  • IP免疫沉淀
  • E酶联免疫吸附法
  • DB免疫斑点法
  • ChIP染色质免疫沉淀
  • GICA胶体金免疫层析法
  • NC阴性对照

种属反应性

  • Hu
  • Ms小鼠
  • Rt大鼠
  • Dm果蝇
  • C线虫
  • Mk
  • Rb
  • B
  • D
  • P
  • Hm仓鼠
  • ChHm中国仓鼠
  • Chk
;

联系我们

Location :

南京市高新开发区星火路10号人才大厦C座

Phone :

400-9961-933
025-58868422

Email Address

info@sabbiotech.com