免费电话:400-9961-933
邮箱:info@sabbiotech.com
欢迎光临本站
川博智能体 English
位置: 首页 > 多克隆抗体 > Adiponectin Polyclonal Antibody

Adiponectin Polyclonal Antibody #38421

是否有货: Yes
产品详情

产品名称Adiponectin Polyclonal Antibody

来源种属Rabbit

克隆性Polyclonal

亚型IgG

纯化Affinity purification

应用WB;IHC;IF;IP;ELISA

种属反应性Human;Mouse;Rat

特异性The antibody detects endogenous level of total ADIPOQ protein.

免疫原类型Recombinant Protein

免疫原描述Recombinant fusion protein of human ADIPOQ (NP_004788.1).

基因/蛋白名称ADIPOQ

标记Unconjugated

别名ADIPOQ;ACDC;ACRP30;ADIPQTL1;ADPN;APM-1;APM1;GBP28

数据库入口号Uniprot:Q15848
GeneID:9370

Uniprot Q15848

Gene ID 9370

计算分子量26kDa

实际分子量26-30kDa

浓度1.0mg/ml

配方PBS with 0.02% sodium azide,50% glycerol,pH7.3.

保存Store at -20˚C. Avoid freeze / thaw cycles.

应用详情
WB 1:1000-1:5000; IHC 1:1000-1:4000; IF 1:200-1:1000; ELISA 1:5000-1:20000; IP 1:50-1:200,
Western blot analysis of extracts from Mouse kidney and Rat heart using Adiponectin Polyclonal Antibody.
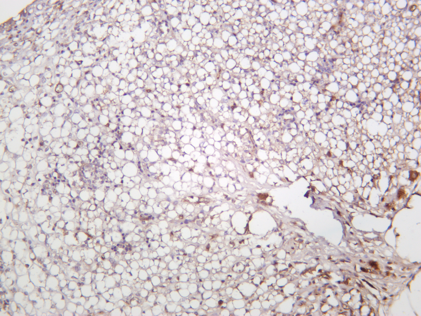
Immunohistochemistry of paraffin-embedded Rat adipose tissue using Adiponectin Polyclonal Antibody.
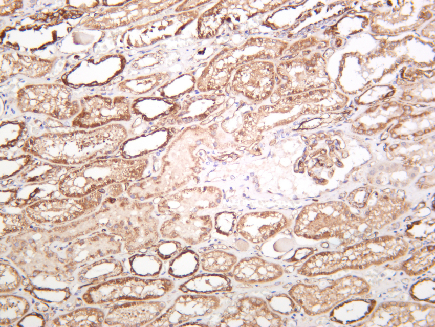
Immunohistochemistry of paraffin-embedded Human kidney tissue using Adiponectin Polyclonal Antibody.
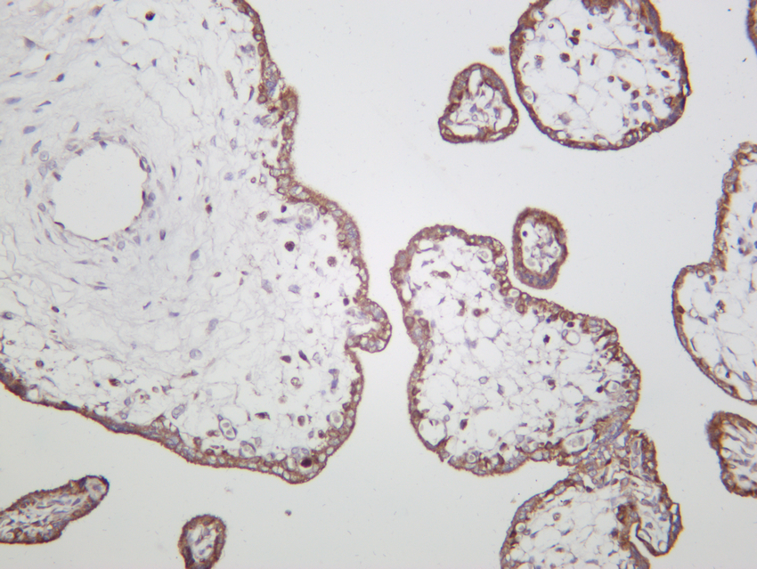
Immunohistochemistry of paraffin-embedded Human placenta tissue using Adiponectin Polyclonal Antibody.
Immunohistochemistry of paraffin-embedded Mouse adipose tissue using Adiponectin Polyclonal Antibody.
This gene is expressed in adipose tissue exclusively. It encodes a protein with similarity to collagens X and VIII and complement factor C1q. The encoded protein circulates in the plasma and is involved with metabolic and hormonal processes. Mutations in this gene are associated with adiponectin deficiency. Multiple alternatively spliced variants, encoding the same protein, have been identified.

如果您使用该产品38421发表了文章,请通知我们,让我们可以引用您的文献。

et al,Identification of Novel Organo-Se BTSA-Based Derivatives as Potent, Reversible, and Selective PPARγ Covalent Modulators for Antidiabetic Drug Discovery. , (2025),
PMID: 39705161

注释

应用

  • WB免疫印迹
  • IHC免疫组化
  • IF免疫荧光
  • ICC免疫细胞化学
  • FC流式细胞
  • IP免疫沉淀
  • E酶联免疫吸附法
  • DB免疫斑点法
  • ChIP染色质免疫沉淀
  • GICA胶体金免疫层析法
  • NC阴性对照

种属反应性

  • Hu
  • Ms小鼠
  • Rt大鼠
  • Dm果蝇
  • C线虫
  • Mk
  • Rb
  • B
  • D
  • P
  • Hm仓鼠
  • ChHm中国仓鼠
  • Chk
;

联系我们

Location :

南京市高新开发区星火路10号人才大厦C座

Phone :

400-9961-933
025-58868422

Email Address

info@sabbiotech.com