免费电话:400-9961-933
邮箱:info@sabbiotech.com
欢迎光临本站
川博智能体 English
位置: 首页 > 多克隆抗体 > POMC antibody

POMC antibody #38547

是否有货: Yes
产品详情

产品名称POMC antibody

来源种属Rabbit

克隆性Polyclonal

纯化Antibodies were purified by affinity purification using immunogen.

应用WB

种属反应性Human;Mouse;Rat

特异性The antibody detects endogenous level of total POMC protein.

免疫原类型Peptide

免疫原描述A synthetic peptide of human POMC.

基因/蛋白名称POMC

标记Unconjugated

别名LPH; MSH; NPP; POC; ACTH; CLIP

数据库入口号Swiss-Prot#: P01189
NCBI Gene ID: 5443

Uniprot P01189

实际分子量29kd

浓度1.0mg/ml

配方Supplied at 1.0mg/mL in phosphate buffered saline (without Mg2+ and Ca2+), pH 7.4, 150mM NaCl, 0.02% sodium azide and 50% glycerol.

保存Store at -20˚C

应用详情
Western blotting: 1:500 - 1:2000
Immunohistochemistry: 1:50 - 1:200
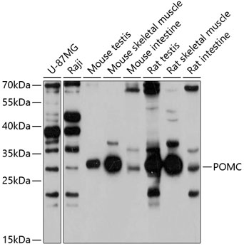
Western blot analysis of extracts of various cell lines, using POMC antibody at 1:1000 dilution.
This gene encodes a polypeptide hormone precursor that undergoes extensive, tissue-specific, post-translational processing via cleavage by subtilisin-like enzymes known as prohormone convertases. There are eight potential cleavage sites within the polypeptide precursor and, depending on tissue type and the available convertases, processing may yield as many as ten biologically active peptides involved in diverse cellular functions. The encoded protein is synthesized mainly in corticotroph cells of the anterior pituitary where four cleavage sites are used; adrenocorticotrophin, essential for normal steroidogenesis and the maintenance of normal adrenal weight, and lipotropin beta are the major end products. In other tissues, including the hypothalamus, placenta, and epithelium, all cleavage sites may be used, giving rise to peptides with roles in pain and energy homeostasis, melanocyte stimulation, and immune modulation.

如果您使用该产品38547发表了文章,请通知我们,让我们可以引用您的文献。

et al,Xiaoyaosan decoction regulates food Intake and body weight via the leptIn-leptIn receptor-proopiomelanocortIn pathway In rats with chronic immobilization stress. In J Tradit ChIn Med on 2019 Feb by Wang X, Fang C,et al..PMID:32186021 , (2019),
PMID: 32186021

注释

应用

  • WB免疫印迹
  • IHC免疫组化
  • IF免疫荧光
  • ICC免疫细胞化学
  • FC流式细胞
  • IP免疫沉淀
  • E酶联免疫吸附法
  • DB免疫斑点法
  • ChIP染色质免疫沉淀
  • GICA胶体金免疫层析法
  • NC阴性对照

种属反应性

  • Hu
  • Ms小鼠
  • Rt大鼠
  • Dm果蝇
  • C线虫
  • Mk
  • Rb
  • B
  • D
  • P
  • Hm仓鼠
  • ChHm中国仓鼠
  • Chk
;

联系我们

Location :

南京市高新开发区星火路10号人才大厦C座

Phone :

400-9961-933
025-58868422

Email Address

info@sabbiotech.com