免费电话:400-9961-933
邮箱:info@sabbiotech.com
欢迎光临本站
川博智能体 English
位置: 首页 > 多克隆抗体 > PDK4 antibody

PDK4 antibody #38562

是否有货: Yes
产品详情

产品名称PDK4 antibody

来源种属Rabbit

克隆性Polyclonal

亚型IgG

纯化Affinity purification

应用WB,IHC

种属反应性Human;Mouse;Rat

特异性The antibody detects endogenous level of total PDK4 protein.

免疫原类型Peptide

免疫原描述A synthetic peptide of human PDK4

基因/蛋白名称PDK4

标记Unconjugated

别名PDK4

数据库入口号Uniprot:Q16654
GeneID:5166

Uniprot Q16654

Gene ID 5166

实际分子量46KDa

浓度1.0mg/ml

配方PBS with 0.02% sodium azide,50% glycerol,pH7.3.

保存Store at -20˚C. Avoid freeze / thaw cycles.

应用详情
WB 1:500 - 1:2000
IHC 1:50 - 1:200
Western blot analysis of extracts of various cell lines, using PDK4 antibody.
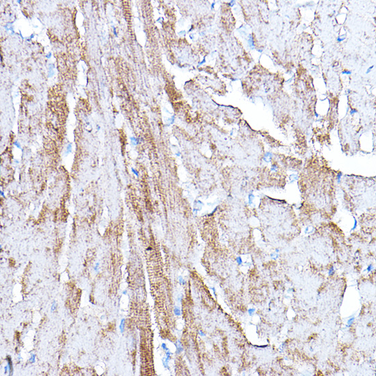
Immunohistochemistry of paraffin-embedded rat heart using PDK4 Rabbit pAb.
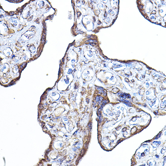
Immunohistochemistry of paraffin-embedded human placenta using PDK4 Rabbit pAb.
This gene is a member of the PDK/BCKDK protein kinase family and encodes a mitochondrial protein with a histidine kinase domain. This protein is located in the matrix of the mitrochondria and inhibits the pyruvate dehydrogenase complex by phosphorylating one of its subunits, thereby contributing to the regulation of glucose metabolism. Expression of this gene is regulated by glucocorticoids, retinoic acid and insulin.

如果您使用该产品38562发表了文章,请通知我们,让我们可以引用您的文献。

et al,Huzhangoside A Suppresses Tumor Growth through Inhibition of Pyruvate Dehydrogenase KInase Activity. In Cancers (Basel) on 2019 May 23 by Kwak CH, Lee JH, et al..PMID: 31126094 , (2019),
PMID: 31126094
et al,Ilimaquinone Induces the Apoptotic Cell Death of Cancer Cells by Reducing Pyruvate Dehydrogenase Kinase 1 Activity. In Int J Mol Sci on 2020 Aug 21 by Choong-Hwan Kwak, Ling Jin, et al..PMID:32825675 , (2020),
PMID: 32825675

注释

应用

  • WB免疫印迹
  • IHC免疫组化
  • IF免疫荧光
  • ICC免疫细胞化学
  • FC流式细胞
  • IP免疫沉淀
  • E酶联免疫吸附法
  • DB免疫斑点法
  • ChIP染色质免疫沉淀
  • GICA胶体金免疫层析法
  • NC阴性对照

种属反应性

  • Hu
  • Ms小鼠
  • Rt大鼠
  • Dm果蝇
  • C线虫
  • Mk
  • Rb
  • B
  • D
  • P
  • Hm仓鼠
  • ChHm中国仓鼠
  • Chk
;

联系我们

Location :

南京市高新开发区星火路10号人才大厦C座

Phone :

400-9961-933
025-58868422

Email Address

info@sabbiotech.com