免费电话:400-9961-933
邮箱:info@sabbiotech.com
欢迎光临本站
川博智能体 English
位置: 首页 > 多克隆抗体 > PARP1 antibody

PARP1 antibody #38592

是否有货: Yes
产品详情

产品名称PARP1 antibody

来源种属Rabbit

克隆性Polyclonal

纯化The antibody was affinity-purified from rabbit antiserum by affinity-chromatography using epitope-specific immunogen.

应用WB IHC IF

种属反应性Human;Mouse

特异性The antibody detects endogenous level of total PARP1 protein.

免疫原类型peptide

免疫原描述Synthesized peptide derived from human PARP-1

基因/蛋白名称PARP1

标记Unconjugated

别名ADPRT; ADPRT1; PARP; PARP-1; PPOL; pADPRT-1;

数据库入口号Swiss-Prot#: P09874
NCBI Gene ID: 142

Uniprot P09874

实际分子量113kd

浓度1.0mg/ml

配方Liquid in PBS containing 50% glycerol, 0.5% BSA and 0.02% sodium azide.

保存Store at -20˚C

应用详情
WB 1:500-1:2000;
IHC 1:50-1:200;
IF 1:50-1:200;
Western blot analysis of extracts of various cell lines, using PARP1 antibody.
Immunofluorescence analysis of A549 cell using PARP1 antibody. Blue: DAPI for nuclear staining.
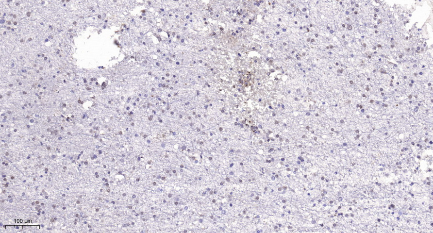
Immunohistochemical analysis of paraffin-embedded human brain. 1, Tris-EDTA,pH9.0 was used for antigen retrieval. 2 Antibody was diluted at 1:200(4° overnight.3,Secondary antibody was diluted at 1:200(room temperature, 45min).

PARP, a 116 kDa nuclear poly (ADP-ribose) polymerase, appears to be involved in DNA repair in response to environmental stress (1). This protein can be cleaved by many ICE-like caspases in vitro (2,3) and is one of the main cleavage targets of caspase-3 in vivo (4,5). In human PARP, the cleavage occurs between Asp214 and Gly215, which separates the PARP amino-terminal DNA binding domain (24 kDa) from the carboxy-terminal catalytic domain (89 kDa) (2,4). PARP helps cells to maintain their viability; cleavage of PARP facilitates cellular disassembly and serves as a marker of cells undergoing apoptosis (6).

如果您使用该产品38592发表了文章,请通知我们,让我们可以引用您的文献。

et al,Anticancer activity and mechanism investigation of beauvericin isolated from secondary metabolites of the mangrove endophytic fungi.In Anticancer Agents Med Chem on 2015 by Yi-wen Tao, Yong-cheng Lin et al..PMID:25641103 , (2015),
PMID: 25641103
et al,Bruceine D induces apoptosis in human chronic myeloid leukemia K562 cells via mitochondrial pathway.In Am J Cancer Res on 2016 Mar 15 by Jian-Ye Zhang, Min-Ting Lin et al..PMID: 27186433 , (2016),
PMID: 27186433

注释

应用

  • WB免疫印迹
  • IHC免疫组化
  • IF免疫荧光
  • ICC免疫细胞化学
  • FC流式细胞
  • IP免疫沉淀
  • E酶联免疫吸附法
  • DB免疫斑点法
  • ChIP染色质免疫沉淀
  • GICA胶体金免疫层析法
  • NC阴性对照

种属反应性

  • Hu
  • Ms小鼠
  • Rt大鼠
  • Dm果蝇
  • C线虫
  • Mk
  • Rb
  • B
  • D
  • P
  • Hm仓鼠
  • ChHm中国仓鼠
  • Chk
;

联系我们

Location :

南京市高新开发区星火路10号人才大厦C座

Phone :

400-9961-933
025-58868422

Email Address

info@sabbiotech.com