免费电话:400-9961-933
邮箱:info@sabbiotech.com
欢迎光临本站
川博智能体 English
位置: 首页 > 多克隆抗体 > APP antibody

APP antibody #38604

是否有货: Yes
产品详情

产品名称APP antibody

来源种属Rabbit

克隆性Polyclonal

纯化Antibodies were purified by affinity purification using immunogen.

应用WB;IHC;IF;IP;ELSIA

种属反应性Human;Mouse;Rat

特异性The antibody detects endogenous level of total APP protein.

免疫原类型Peptide

免疫原描述A synthetic peptide of human APP.

基因/蛋白名称APP

标记Unconjugated

别名AAA;AD1;PN2;ABPP;APPI;CVAP;ABETA;PN-II;

数据库入口号Swiss-Prot#: P05067
NCBI Gene ID: 351

Uniprot P05067

计算分子量87kDa

实际分子量100-140kDa

浓度1.0mg/ml

配方Supplied at 1.0mg/mL in phosphate buffered saline (without Mg2+ and Ca2+), pH 7.4, 150mM NaCl, 0.02% sodium azide and 50% glycerol.

保存Store at -20˚C

应用详情
WB 1:2000-1:10000; IHC 1:200-1:1000; IF 1:200-1:1000; ELISA 1:5000-1:20000; IP 1:50-1:200;
Western blot analysis of extracts from U-87MG and SKOV3 cells using APP antibody.
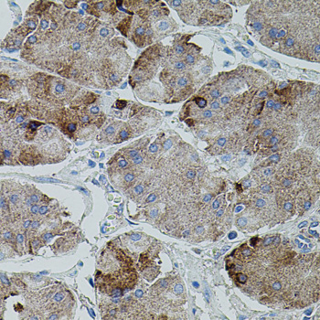
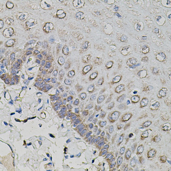
Immunohistochemistry of paraffin-embedded human stomach using APP antibody.
Immunohistochemistry of paraffin-embedded human esophagus using APP antibody.
Immunohistochemistry of paraffin-embedded Mouse brain using APP antibody.
Immunofluorescence analysis of Hela cell using APP antibody(green) was diluted at 1:200(4° overnight).
Immunofluorescence analysis of D2 cell using APP antibody(green) was diluted at 1:200(4° overnight).
Immunofluorescence analysis of HepG2 cells using APP antibody at dilution of 1:100 (40x lens).
Immunofluorescence analysis of SH-SY5Y cells using APP antibody at dilution of 1:100 (40x lens).
This gene encodes a cell surface receptor and transmembrane precursor protein that is cleaved by secretases to form a number of peptides. Some of these peptides are secreted and can bind to the acetyltransferase complex APBB1/TIP60 to promote transcriptional activation, while others form the protein basis of the amyloid plaques found in the brains of patients with Alzheimer disease. Mutations in this gene have been implicated in autosomal dominant Alzheimer disease and cerebroarterial amyloidosis (cerebral amyloid angiopathy). Multiple transcript variants encoding several different isoforms have been found for this gene.

如果您使用该产品38604发表了文章,请通知我们,让我们可以引用您的文献。

et al,Study of mitophagy and ATP-related metabolomics based on β-amyloid levels in Alzheimer's disease. In Exp Cell Res on 2020 Nov 1 by Xiaomin Xiong, Shijie Li, et al..PMID: 32905804 , (2020),
PMID: 32905804
et al,Oral Treponema denticola Infection Induces A尾1锟?0 and A尾1锟?2 Accumulation in the Hippocampus of C57BL/6 Mice. In J Mol Neurosci on 2021 Jul by Xinyi Su 1, Zhiqun Tang, et al..PMID: 33763842 , (2021),
PMID: 33763842

注释

应用

  • WB免疫印迹
  • IHC免疫组化
  • IF免疫荧光
  • ICC免疫细胞化学
  • FC流式细胞
  • IP免疫沉淀
  • E酶联免疫吸附法
  • DB免疫斑点法
  • ChIP染色质免疫沉淀
  • GICA胶体金免疫层析法
  • NC阴性对照

种属反应性

  • Hu
  • Ms小鼠
  • Rt大鼠
  • Dm果蝇
  • C线虫
  • Mk
  • Rb
  • B
  • D
  • P
  • Hm仓鼠
  • ChHm中国仓鼠
  • Chk
;

联系我们

Location :

南京市高新开发区星火路10号人才大厦C座

Phone :

400-9961-933
025-58868422

Email Address

info@sabbiotech.com