免费电话:400-9961-933
邮箱:info@sabbiotech.com
欢迎光临本站
川博智能体 English
位置: 首页 > 多克隆抗体 > CDK6 antibody

CDK6 antibody #38607

是否有货: Yes
产品详情

产品名称CDK6 antibody

来源种属Rabbit

克隆性Polyclonal

纯化Antibodies were purified by affinity purification using immunogen.

应用WB,IHC,IF

种属反应性Human;Mouse;Rat

特异性The antibody detects endogenous level of total CDK6 protein.

免疫原类型Recombinant Protein

免疫原描述Recombinant protein of human CDK6.

基因/蛋白名称CDK6

标记Unconjugated

别名PLSTIRE;

数据库入口号Swiss-Prot#: Q00534
NCBI Gene ID: 1021

Uniprot Q00534

实际分子量37kd

浓度1.0mg/ml

配方Supplied at 1.0mg/mL in phosphate buffered saline (without Mg2+ and Ca2+), pH 7.4, 150mM NaCl, 0.02% sodium azide and 50% glycerol.

保存Store at -20˚C

应用详情
Western blotting: 1:500 - 1:2000
Immunohistochemistry: 1:50 - 1:100
Immunofluorescence analysis of H9C2 cells using CDK6 antibody at dilution of 1:100. Blue: DAPI for nuclear staining.
Immunofluorescence analysis of L929 cells using CDK6 antibody at dilution of 1:100. Blue: DAPI for nuclear staining.
Immunofluorescence analysis of U-2 OS cells using CDK6 antibody at dilution of 1:100. Blue: DAPI for nuclear staining.
Immunofluorescence analysis of mouse brain using CDK6 antibody at dilution of 1:100. Blue: DAPI for nuclear staining.
Western blot analysis of extracts of various cell lines, using CDK6 antibody at 1:1000 dilution.
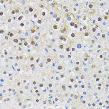
Immunohistochemistry of paraffin-embedded rat liver using CDK6 antibody at dilution of 1:100 (40x lens).
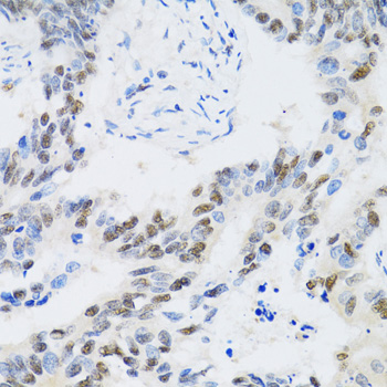
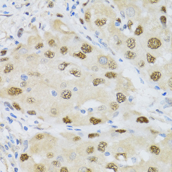
Immunohistochemistry of paraffin-embedded human colon carcinoma using CDK6 antibody at dilution of 1:100 (40x lens).
Immunohistochemistry of paraffin-embedded human breast cancer using CDK6 antibody at dilution of 1:100 (40x lens).
Immunohistochemistry of paraffin-embedded mouse liver using CDK6 antibody at dilution of 1:100 (40x lens).
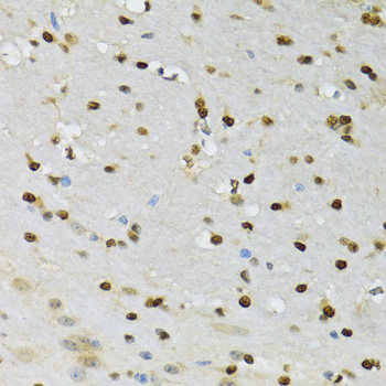
Immunohistochemistry of paraffin-embedded mouse brain using CDK6 antibody at dilution of 1:100 (40x lens).
The protein encoded by this gene is a member of the cyclin-dependent protein kinase (CDK) family. CDK family members are highly similar to the gene products of Saccharomyces cerevisiae cdc28, and Schizosaccharomyces pombe cdc2, and are known to be important regulators of cell cycle progression. This kinase is a catalytic subunit of the protein kinase complex that is important for cell cycle G1 phase progression and G1/S transition. The activity of this kinase first appears in mid-G1 phase, which is controlled by the regulatory subunits including D-type cyclins and members of INK4 family of CDK inhibitors. This kinase, as well as CDK4, has been shown to phosphorylate, and thus regulate the activity of, tumor suppressor protein Rb. Expression of this gene is up-regulated in some types of cancer. Multiple alternatively spliced variants, encoding the same protein, have been identified.

如果您使用该产品38607发表了文章,请通知我们,让我们可以引用您的文献。

et al,CD155 Cooperates with PD-1/PD-L1 to Promote Proliferation of Esophageal Squamous Cancer Cells via PI3K/Akt and MAPK Signaling Pathways. In Cancers (Basel) on 2022 Nov 15 by Xiyang Tan, Jie Yang, et al..PMID:36428703 , (2022),
PMID: 36428703

注释

应用

  • WB免疫印迹
  • IHC免疫组化
  • IF免疫荧光
  • ICC免疫细胞化学
  • FC流式细胞
  • IP免疫沉淀
  • E酶联免疫吸附法
  • DB免疫斑点法
  • ChIP染色质免疫沉淀
  • GICA胶体金免疫层析法
  • NC阴性对照

种属反应性

  • Hu
  • Ms小鼠
  • Rt大鼠
  • Dm果蝇
  • C线虫
  • Mk
  • Rb
  • B
  • D
  • P
  • Hm仓鼠
  • ChHm中国仓鼠
  • Chk
;

联系我们

Location :

南京市高新开发区星火路10号人才大厦C座

Phone :

400-9961-933
025-58868422

Email Address

info@sabbiotech.com