免费电话:400-9961-933
邮箱:info@sabbiotech.com
欢迎光临本站
川博智能体 English
位置: 首页 > 多克隆抗体 > BACH1 antibody

BACH1 antibody #38649

是否有货: Yes
产品详情

产品名称BACH1 antibody

来源种属Rabbit

克隆性Polyclonal

纯化Antibodies were purified by affinity purification using immunogen.

应用WB,IHC,IF

种属反应性Human;Mouse;Rat

特异性The antibody detects endogenous level of total BACH1 protein.

免疫原类型Recombinant Protein

免疫原描述Recombinant protein of human BACH1.

基因/蛋白名称BACH1

标记Unconjugated

别名BACH-1;

数据库入口号Swiss-Prot#: O14867
NCBI Gene ID: 571

Uniprot O14867

实际分子量82kd

浓度1.0mg/ml

配方Supplied at 1.0mg/mL in phosphate buffered saline (without Mg2+ and Ca2+), pH 7.4, 150mM NaCl, 0.02% sodium azide and 50% glycerol.

保存Store at -20˚C

应用详情
Western blotting: 1:500 - 1:2000
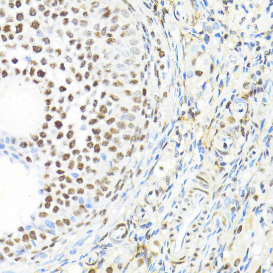
Immunohistochemistry of paraffin-embedded rat ovary using BACH1 antibody at dilution of 1:100 (40x lens).
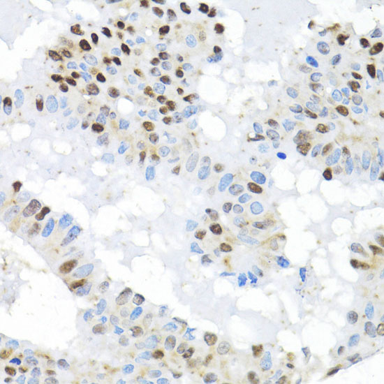
Immunohistochemistry of paraffin-embedded human breast cancer using BACH1 antibody at dilution of 1:100 (40x lens).
Immunohistochemistry of paraffin-embedded mouse liver using BACH1 antibody at dilution of 1:100 (40x lens).
Western blot analysis of extracts of various cell lines, using BACH1 antibody at 1:3000 dilution.
Immunofluorescence analysis of HeLa cells using BACH1 antibody at dilution of 1:100. Blue: DAPI for nuclear staining.
This gene encodes a transcription factor that belongs to the cap'n'collar type of basic region leucine zipper factor family (CNC-bZip). The encoded protein contains broad complex, tramtrack, bric-a-brac/poxvirus and zinc finger (BTB/POZ) domains, which is atypical of CNC-bZip family members. These BTB/POZ domains facilitate protein-protein interactions and formation of homo- and/or hetero-oligomers. When this encoded protein forms a heterodimer with MafK, it functions as a repressor of Maf recognition element (MARE) and transcription is repressed. Multiple alternatively spliced transcript variants have been identified for this gene.

如果您使用该产品38649发表了文章,请通知我们,让我们可以引用您的文献。

et al,Betaine-homocysteine methyltransferase protects against acetaminophen-induced acute liver failure via BACH1-SCD1-oleic acid axis , (2025),
PMID: 40764413

注释

应用

  • WB免疫印迹
  • IHC免疫组化
  • IF免疫荧光
  • ICC免疫细胞化学
  • FC流式细胞
  • IP免疫沉淀
  • E酶联免疫吸附法
  • DB免疫斑点法
  • ChIP染色质免疫沉淀
  • GICA胶体金免疫层析法
  • NC阴性对照

种属反应性

  • Hu
  • Ms小鼠
  • Rt大鼠
  • Dm果蝇
  • C线虫
  • Mk
  • Rb
  • B
  • D
  • P
  • Hm仓鼠
  • ChHm中国仓鼠
  • Chk
;

联系我们

Location :

南京市高新开发区星火路10号人才大厦C座

Phone :

400-9961-933
025-58868422

Email Address

info@sabbiotech.com