免费电话:400-9961-933
邮箱:info@sabbiotech.com
欢迎光临本站
川博智能体 English
位置: 首页 > 多克隆抗体 > MAGEA1 antibody

MAGEA1 antibody #38661

是否有货: Yes
产品详情

产品名称MAGEA1 antibody

来源种属Rabbit

克隆性Polyclonal

纯化Antibodies were purified by affinity purification using immunogen.

应用WB,IHC,IF

种属反应性Human

特异性The antibody detects endogenous level of total MAGEA1 protein.

免疫原类型Recombinant Protein

免疫原描述Recombinant protein of human MAGEA1.

基因/蛋白名称MAGEA1

标记Unconjugated

别名CT1.1; MAGE1;

数据库入口号Swiss-Prot#: P43355
NCBI Gene ID: 4100

Uniprot P43355

实际分子量34kd

浓度1.0mg/ml

配方Supplied at 1.0mg/mL in phosphate buffered saline (without Mg2+ and Ca2+), pH 7.4, 150mM NaCl, 0.02% sodium azide and 50% glycerol.

保存Store at -20˚C

应用详情

Western blotting: 1:500 - 1:2000
Immunofluorescence: 1:50 - 1:100

Western blot analysis of extracts of 22Rv1 cells, using MAGEA1 antibody at 1:1000 dilution.
Immunofluorescence analysis of HeLa cells using MAGEA1 antibody. Blue: DAPI for nuclear staining.
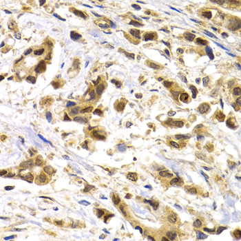
Immunohistochemistry of paraffin-embedded human breast cancer using MAGEA1 antibody at dilution of 1:200 (40x lens).
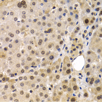
Immunohistochemistry of paraffin-embedded human liver cancer using MAGEA1 antibody at dilution of 1:200 (40x lens).
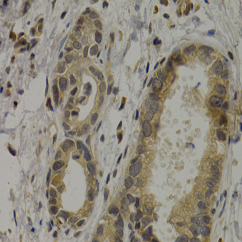
Immunohistochemistry of paraffin-embedded human stomach cancer using MAGEA1 antibody at dilution of 1:200 (40x lens).

This gene is a member of the MAGEA gene family. The members of this family encode proteins with 50 to 80% sequence identity to each other. The promoters and first exons of the MAGEA genes show considerable variability, suggesting that the existence of this gene family enables the same function to be expressed under different transcriptional controls. The MAGEA genes are clustered at chromosomal location Xq28. They have been implicated in some hereditary disorders, such as dyskeratosis congenita.

如果您使用该产品38661发表了文章,请通知我们,让我们可以引用您的文献。

et al,Establishment of cancer/testis antigen profiling based on clinicopathological characteristics in resected pathological stage III non-small cell lung cancer.In Cancer Manag Res.On 2018 Jul 16 by Jin S, Cao S et al..PMID: 30038519 , (2018),
PMID: 30038519

注释

应用

  • WB免疫印迹
  • IHC免疫组化
  • IF免疫荧光
  • ICC免疫细胞化学
  • FC流式细胞
  • IP免疫沉淀
  • E酶联免疫吸附法
  • DB免疫斑点法
  • ChIP染色质免疫沉淀
  • GICA胶体金免疫层析法
  • NC阴性对照

种属反应性

  • Hu
  • Ms小鼠
  • Rt大鼠
  • Dm果蝇
  • C线虫
  • Mk
  • Rb
  • B
  • D
  • P
  • Hm仓鼠
  • ChHm中国仓鼠
  • Chk
;

联系我们

Location :

南京市高新开发区星火路10号人才大厦C座

Phone :

400-9961-933
025-58868422

Email Address

info@sabbiotech.com