免费电话:400-9961-933
邮箱:info@sabbiotech.com
欢迎光临本站
川博智能体 English
位置: 首页 > 多克隆抗体 > NLRP3 antibody

NLRP3 antibody #38679

是否有货: Yes
产品详情

产品名称NLRP3 antibody

来源种属Rabbit

克隆性Polyclonal

亚型IgG

纯化Affinity purification

应用WB

种属反应性Mouse;Rat

特异性The antibody detects endogenous level of total NLRP3 protein.

免疫原类型Recombinant Protein

免疫原描述Recombinant protein of human NLRP3

基因/蛋白名称NLRP3

标记Unconjugated

别名NLRP3;AGTAVPRL;AII;AVP;C1orf7;CIAS1;CLR1.1;FCAS;FCAS1;FCU;MWS;NALP3;PYPAF1

数据库入口号Uniprot:Q96P20
GeneID:114548

Uniprot Q96P20

Gene ID 114548

实际分子量110KDa

浓度1.0mg/ml

配方PBS with 0.02% sodium azide,50% glycerol,pH7.3.

保存Store at -20˚C. Avoid freeze / thaw cycles.

应用详情

WB 1:500 - 1:2000
IHC 1:50 - 1:200
IF 1:50 - 1:200

Western blot analysis of extracts of 293T cells, using NLRP3 antibody.
Western blot analysis of extracts of Rat lung, using NLRP3 antibody.
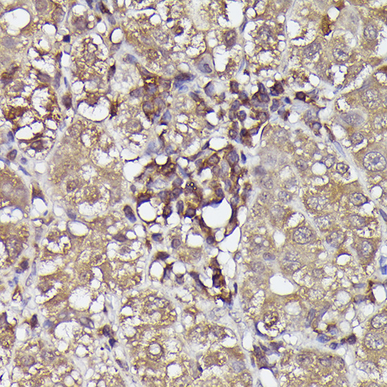
Immunohistochemistry of paraffin-embedded human liver cancer using NLRP3 antibody.
Immunohistochemistry of paraffin-embedded mouse liver using NLRP3 antibody.
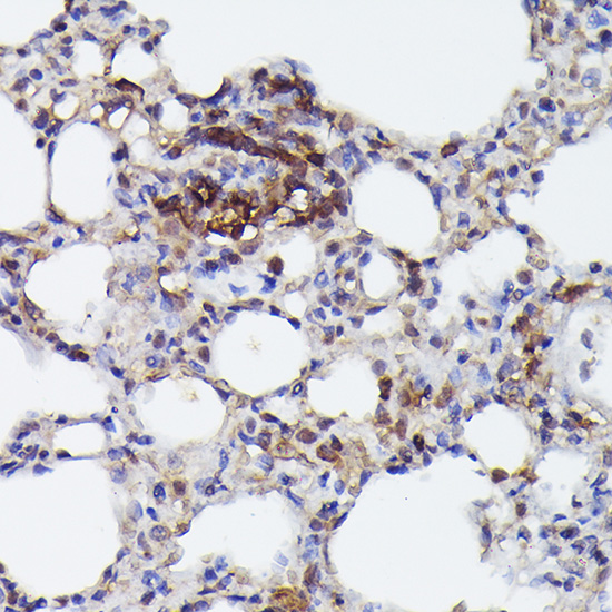
Immunohistochemistry of paraffin-embedded rat lung using NLRP3 antibody.
Immunofluorescence analysis of U2OS cells using NLRP3 antibody.
Immunofluorescence analysis of THP-1 cells using NLRP3 antibody.
Immunofluorescence analysis of RAW264.7 cells using NLRP3 antibody.
Immunofluorescence analysis of NIH/3T3 cells using NLRP3 antibody.
Immunofluorescence analysis of PC-12 cells using NLRP3 antibody.

This gene encodes a pyrin-like protein containing a pyrin domain, a nucleotide-binding site (NBS) domain, and a leucine-rich repeat (LRR) motif. This protein interacts with the apoptosis-associated speck-like protein PYCARD/ASC, which contains a caspase recruitment domain, and is a member of the NALP3 inflammasome complex. This complex functions as an upstream activator of NF-kappaB signaling, and it plays a role in the regulation of inflammation, the immune response, and apoptosis. Mutations in this gene are associated with familial cold autoinflammatory syndrome (FCAS), Muckle-Wells syndrome (MWS), chronic infantile neurological cutaneous and articular (CINCA) syndrome, and neonatal-onset multisystem inflammatory disease (NOMID). Multiple alternatively spliced transcript variants encoding distinct isoforms have been identified for this gene. Alternative 5' UTR structures are suggested by available data; however, insufficient evidence is available to determine if all of the represented 5' UTR splice patterns are biologically valid.

如果您使用该产品38679发表了文章,请通知我们,让我们可以引用您的文献。

et al,5-(3,4-Difluorophenyl)-3-(6-methylpyridIn-3-yl)-1,2,4-oxadiazole (DDO-7263), a novel Nrf2 activator targetIng braIn tissue, protects agaInst MPTP-Induced subacute ParkInson's disease in mice by InhibitIng the NLRP3 Inflammasome and protects PC12 cells agaInst oxidative stress. In Free Radic Biol Med on 2019 Jan 5 by Xu LL, Wu YF, et al..PMID:30615919 , (2019),
PMID: 30615919
et al,Protective effect of ginsenoside Rg5 against kidney injury via inhibition of NLRP3 inflammasome activation and the MAPK signaling pathway in high-fat diet/streptozotocin-induced diabetic mice. In Pharmacol Res on 2020 May by Yanyan Zhu, Chenhui Zhu, et al..PMID: 32156650 , (2020),
PMID: 32156650
et al,Aurantio-obtusin Alleviates Dry Eye Disease by Targeting NF-κB/NLRP3 Signaling in Rodent Models , (2023),
PMID:
et al,Adenosine A1 receptor agonist alleviates cerebral ischemia/reperfusion injury by inhibiting Nrf2/NLRP3 signaling‑mediated pyroptosis. , (2025),
PMID: 40162050

注释

应用

  • WB免疫印迹
  • IHC免疫组化
  • IF免疫荧光
  • ICC免疫细胞化学
  • FC流式细胞
  • IP免疫沉淀
  • E酶联免疫吸附法
  • DB免疫斑点法
  • ChIP染色质免疫沉淀
  • GICA胶体金免疫层析法
  • NC阴性对照

种属反应性

  • Hu
  • Ms小鼠
  • Rt大鼠
  • Dm果蝇
  • C线虫
  • Mk
  • Rb
  • B
  • D
  • P
  • Hm仓鼠
  • ChHm中国仓鼠
  • Chk
;

联系我们

Location :

南京市高新开发区星火路10号人才大厦C座

Phone :

400-9961-933
025-58868422

Email Address

info@sabbiotech.com