免费电话:400-9961-933
邮箱:info@sabbiotech.com
欢迎光临本站
川博智能体 English
位置: 首页 > 多克隆抗体 > TMPRSS11E Antibody

TMPRSS11E Antibody #40160

是否有货: Yes
产品详情

产品名称TMPRSS11E Antibody

来源种属Rabbit

克隆性Polyclonal

纯化Antigen affinity purification.

应用IHC

种属反应性Human

特异性The antibody detects endogenous levels of total TMPRSS11E protein.

免疫原类型Protein

免疫原描述Fusion protein corresponding to a region derived from internal residues of human transmembrane protease, serine 11E

基因/蛋白名称TMPRSS11E

标记Unconjugated

别名DESC1; TMPRSS11E2

数据库入口号Swiss-Prot:Q9UL52
Gene Accssion:BC113412

Uniprot Q9UL52

浓度1.8mg/ml

配方Rabbit IgG in pH7.4 PBS, 0.05% NaN3, 40% Glycerol.

保存Store at -20˚C

应用详情

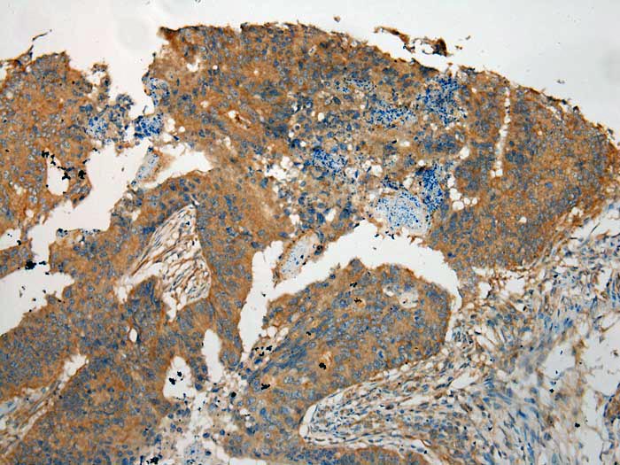
Immunohistochemistry: 1:100-1:200

Immunohistochemical analysis of paraffin-embedded Human Colorectal cancer tissue using #40160 at dilution 1/100.
Immunohistochemical analysis of paraffin-embedded Human Tonsil cancer tissue using #40160 at dilution 1/100.

Serine protease which possesses both gelatinolytic and caseinolytic activities. Shows a preference for Arg in the P1 position (By similarity).

如果您使用该产品40160发表了文章,请通知我们,让我们可以引用您的文献。

et al,LncRNA-TUSC7/miR-224 affected chemotherapy resistance of esophageal squamous cell carcinoma by competitively regulating DESC1.In J Exp Clin Cancer Res.On 2018 Mar 12 by Chang ZW, Jia YX et al..PMID:29530057 , (2018),
PMID: 29530057

注释

应用

  • WB免疫印迹
  • IHC免疫组化
  • IF免疫荧光
  • ICC免疫细胞化学
  • FC流式细胞
  • IP免疫沉淀
  • E酶联免疫吸附法
  • DB免疫斑点法
  • ChIP染色质免疫沉淀
  • GICA胶体金免疫层析法
  • NC阴性对照

种属反应性

  • Hu
  • Ms小鼠
  • Rt大鼠
  • Dm果蝇
  • C线虫
  • Mk
  • Rb
  • B
  • D
  • P
  • Hm仓鼠
  • ChHm中国仓鼠
  • Chk
;

联系我们

Location :

南京市高新开发区星火路10号人才大厦C座

Phone :

400-9961-933
025-58868422

Email Address

info@sabbiotech.com