免费电话:400-9961-933
邮箱:info@sabbiotech.com
欢迎光临本站
川博智能体 English
位置: 首页 > 多克隆抗体 > TNFAIP2 Antibody

TNFAIP2 Antibody #40163

是否有货: Yes
产品详情

产品名称TNFAIP2 Antibody

来源种属Rabbit

克隆性Polyclonal

纯化Antigen affinity purification.

应用IHC

种属反应性Human

特异性The antibody detects endogenous levels of total TNFAIP2 protein.

免疫原类型Protein

免疫原描述Fusion protein corresponding to residues near the C terminal of human tumor necrosis factor, alpha-induced protein 2

基因/蛋白名称TNFAIP2

标记Unconjugated

别名B94; EXOC3L3

数据库入口号Swiss-Prot:A1A584
Gene Accssion:BC128449

Uniprot A1A584

浓度1.6mg/ml

配方Rabbit IgG in pH7.4 PBS, 0.05% NaN3, 40% Glycerol.

保存Store at -20˚C

应用详情
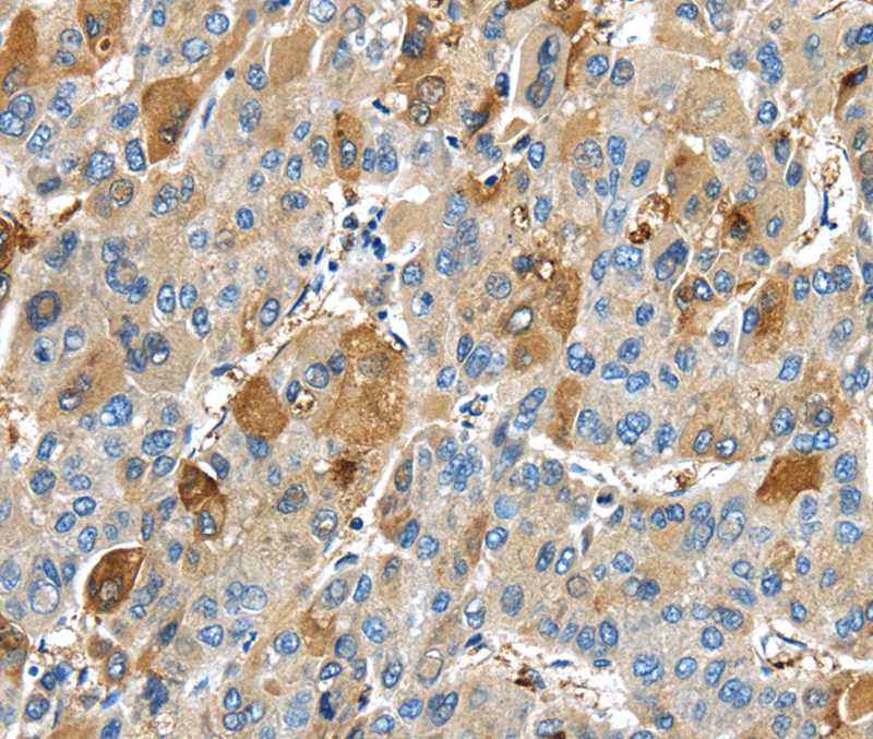
Immunohistochemistry:1:25-1:100
Immunohistochemical analysis of paraffin-embedded Human liver cancer tissue using #40163 at dilution 1/30.
This gene was identified as a gene whose expression can be induced by the tumor necrosis factor alpha (TNF) in umbilical vein endothelial cells. The expression of this gene was shown to be induced by retinoic acid in a cell line expressing a oncogenic version of the retinoic acid receptor alpha fusion protein, which suggested that this gene may be a retinoic acid target gene in acute promyelocytic leukemia.

如果您使用该产品40163发表了文章,请通知我们,让我们可以引用您的文献。

et al,Comprehensive integration of single-cell RNA and transcriptome RNA sequencing to establish a pyroptosis-related signature for improving prognostic prediction of gastric cancer , (2024),
PMID:

注释

应用

  • WB免疫印迹
  • IHC免疫组化
  • IF免疫荧光
  • ICC免疫细胞化学
  • FC流式细胞
  • IP免疫沉淀
  • E酶联免疫吸附法
  • DB免疫斑点法
  • ChIP染色质免疫沉淀
  • GICA胶体金免疫层析法
  • NC阴性对照

种属反应性

  • Hu
  • Ms小鼠
  • Rt大鼠
  • Dm果蝇
  • C线虫
  • Mk
  • Rb
  • B
  • D
  • P
  • Hm仓鼠
  • ChHm中国仓鼠
  • Chk
;

联系我们

Location :

南京市高新开发区星火路10号人才大厦C座

Phone :

400-9961-933
025-58868422

Email Address

info@sabbiotech.com