免费电话:400-9961-933
邮箱:info@sabbiotech.com
欢迎光临本站
川博智能体 English
位置: 首页 > 多克隆抗体 > MAGEB2 Antibody

MAGEB2 Antibody #40202

是否有货: Yes
产品详情

产品名称MAGEB2 Antibody

来源种属Rabbit

克隆性Polyclonal

纯化Antigen affinity purification.

应用IHC

种属反应性Human

特异性The antibody detects endogenous levels of total MAGEB2 protein.

免疫原类型Peptide

免疫原描述Synthetic peptide corresponding to residues near the N terminal of human melanoma antigen family B, 2

基因/蛋白名称MAGEB2

标记Unconjugated

别名DAM6; CT3.2; MAGE-XP-2

数据库入口号Swiss-Prot:O15479
Gene Accssion:NP_002355

Uniprot O15479

浓度2.5mg/ml

配方Rabbit IgG in pH7.4 PBS, 0.05% NaN3, 40% Glycerol.

保存Store at -20˚C

应用详情
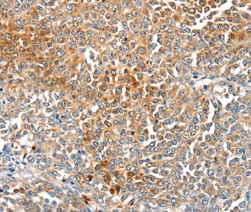
Immunohistochemistry:1:25-1:100
Immunohistochemical analysis of paraffin-embedded Human thyroid cancer tissue using #40202 at dilution 1/40.
Immunohistochemical analysis of paraffin-embedded Human ovarian cancer tissue using #40202 at dilution 1/40.
This gene is a member of the MAGEB gene family. The members of this family have their entire coding sequences located in the last exon, and the encoded proteins show 50 to 68% sequence identity to each other. The promoters and first exons of the MAGEB genes show considerable variability, suggesting that the existence of this gene family enables the same function to be expressed under different transcriptional controls. This gene is localized in the DSS (dosage-sensitive sex reversal) critical region. It is expressed in testis and placenta, and in a significant fraction of tumors of various histological types. The MAGEB genes are clustered on chromosome Xp22-p21.?

如果您使用该产品40202发表了文章,请通知我们,让我们可以引用您的文献。

et al,Establishment of cancer/testis antigen profiling based on clinicopathological characteristics in resected pathological stage III non-small cell lung cancer.In Cancer Manag Res.On 2018 Jul 16 by Jin S, Cao S et al..PMID: 30038519 , (2018),
PMID: 30038519

注释

应用

  • WB免疫印迹
  • IHC免疫组化
  • IF免疫荧光
  • ICC免疫细胞化学
  • FC流式细胞
  • IP免疫沉淀
  • E酶联免疫吸附法
  • DB免疫斑点法
  • ChIP染色质免疫沉淀
  • GICA胶体金免疫层析法
  • NC阴性对照

种属反应性

  • Hu
  • Ms小鼠
  • Rt大鼠
  • Dm果蝇
  • C线虫
  • Mk
  • Rb
  • B
  • D
  • P
  • Hm仓鼠
  • ChHm中国仓鼠
  • Chk
;

联系我们

Location :

南京市高新开发区星火路10号人才大厦C座

Phone :

400-9961-933
025-58868422

Email Address

info@sabbiotech.com