免费电话:400-9961-933
邮箱:info@sabbiotech.com
欢迎光临本站
川博智能体 English
位置: 首页 > 多克隆抗体 > TXNIP Antibody

TXNIP Antibody #40274

是否有货: Yes
产品详情

产品名称TXNIP Antibody

来源种属Rabbit

克隆性Polyclonal

纯化Antigen affinity purification.

应用IHC

种属反应性Human

特异性The antibody detects endogenous levels of total TXNIP protein.

免疫原类型Peptide

免疫原描述Synthetic peptide of human thioredoxin interacting protein

基因/蛋白名称TXNIP

标记Unconjugated

别名THIF; VDUP1; HHCPA78; EST01027

数据库入口号Swiss-Prot:Q9H3M7
Gene Accssion:NP_006463

Uniprot Q9H3M7

浓度3.2mg/ml

配方Rabbit IgG in pH7.4 PBS, 0.05% NaN3, 40% Glycerol.

保存Store at -20˚C

应用详情
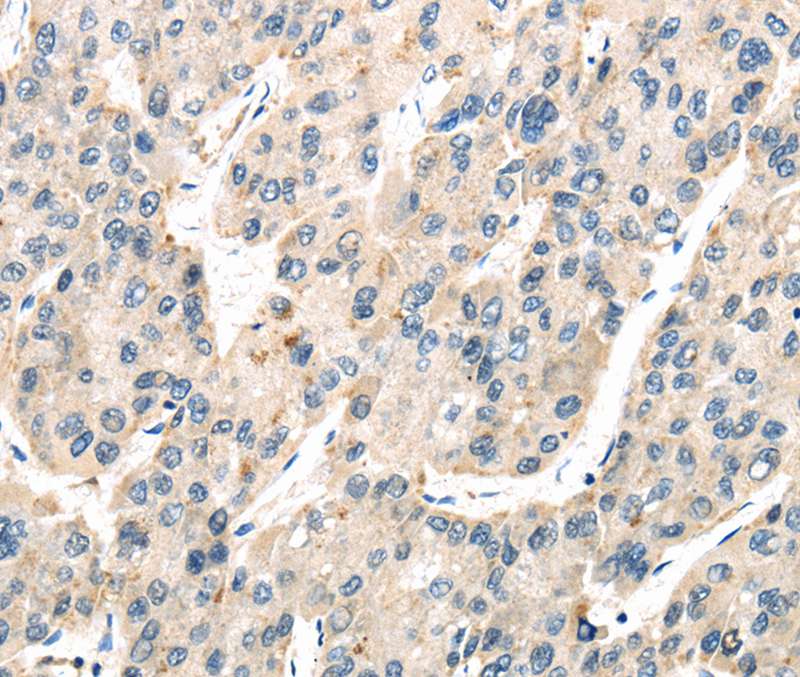
Immunohistochemistry:1:30-1:150
Immunohistochemical analysis of paraffin-embedded Human liver cancer tissue using #40274 at dilution 1/50.
May act as an oxidative stress mediator by inhibiting thioredoxin activity or by limiting its bioavailability. Interacts with COPS5 and restores COPS5-induced suppression of CDKN1B stability, blocking the COPS5-mediated translocation of CDKN1B from the nucleus to the cytoplasm. Functions as a transcriptional repressor, possibly by acting as a bridge molecule between transcription factors and corepressor complexes, and over-expression will induce G0/G1 cell cycle arrest. Required for the maturation of natural killer cells. Acts as a suppressor of tumor cell growth. Inhibits the proteasomal degradation of DDIT4, and thereby contributes to the inhibition of the mammalian target of rapamycin complex 1 (mTORC1).

如果您使用该产品40274发表了文章,请通知我们,让我们可以引用您的文献。

et al,Fenofibrate suppressed proliferation and migration of human neuroblastoma cells via oxidative stress dependent of TXNIP upregulation.In Biochem Biophys Res Commun on 2015 May 15 by Cunjin Su, Aiming Shi et al..PMID:25839662 , (2015),
PMID: 25839662

注释

应用

  • WB免疫印迹
  • IHC免疫组化
  • IF免疫荧光
  • ICC免疫细胞化学
  • FC流式细胞
  • IP免疫沉淀
  • E酶联免疫吸附法
  • DB免疫斑点法
  • ChIP染色质免疫沉淀
  • GICA胶体金免疫层析法
  • NC阴性对照

种属反应性

  • Hu
  • Ms小鼠
  • Rt大鼠
  • Dm果蝇
  • C线虫
  • Mk
  • Rb
  • B
  • D
  • P
  • Hm仓鼠
  • ChHm中国仓鼠
  • Chk
;

联系我们

Location :

南京市高新开发区星火路10号人才大厦C座

Phone :

400-9961-933
025-58868422

Email Address

info@sabbiotech.com