免费电话:400-9961-933
邮箱:info@sabbiotech.com
欢迎光临本站
川博智能体 English
位置: 首页 > 多克隆抗体 > WDR45B Antibody

WDR45B Antibody #40298

是否有货: Yes
产品详情

产品名称WDR45B Antibody

来源种属Rabbit

克隆性Polyclonal

纯化Antigen affinity purification.

应用IHC

种属反应性Human

特异性The antibody detects endogenous levels of total WDR45B protein.

免疫原类型Peptide

免疫原描述Synthetic peptide of human WD repeat domain 45B

基因/蛋白名称WDR45B

标记Unconjugated

别名WIPI3; WDR45L; WIPI-3

数据库入口号Swiss-Prot:Q5MNZ6
Gene Accssion:NP_062559

Uniprot Q5MNZ6

浓度2.5mg/ml

配方Rabbit IgG in pH7.4 PBS, 0.05% NaN3, 40% Glycerol.

保存Store at -20˚C

应用详情

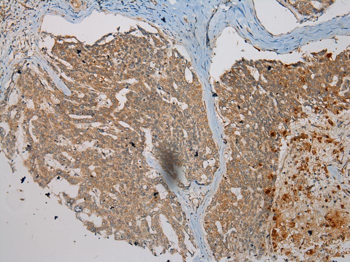
Immunohistochemistry: 1:100-1:200

Immunohistochemical analysis of paraffin-embedded Human Cervical cancer tissue using #40298 at dilution 1/200.
Immunohistochemical analysis of paraffin-embedded Human Liver cancer tissue using #40298 at dilution 1/200.

This gene encodes a member of the WIPI or SVP1 family of WD40 repeat-containing proteins. The protein contains seven WD40 repeats that are thought to fold into a beta-propeller structure that mediates protein-protein interactions, and a conserved motif for interaction with phospholipids. The human genome contains several pseudogenes of this gene.

如果您使用该产品40298发表了文章,请通知我们,让我们可以引用您的文献。

et al,Autophagy-Related Gene WD Repeat Domain 45B Promotes Tumor Proliferation and Migration of Hepatocellular Carcinoma through the Akt/mTOR Signaling PathwayInDiagnostics (Basel)On2023 Feb 27byJiahao Li?1?2,?Lansi Chen et al..PMID:?36900050 , (2023),
PMID: 36900050
et al,Autophagy-Related Gene WD Repeat Domain 45B Promotes Tumor Proliferation and Migration of Hepatocellular Carcinoma through the Akt/mTOR Signaling PathwayInDiagnostics (Basel)On2023 Feb 27byJiahao Li?1?2,?Lansi Chen? et al..PMID:?36900050 , (2023),
PMID: 36900050

注释

应用

  • WB免疫印迹
  • IHC免疫组化
  • IF免疫荧光
  • ICC免疫细胞化学
  • FC流式细胞
  • IP免疫沉淀
  • E酶联免疫吸附法
  • DB免疫斑点法
  • ChIP染色质免疫沉淀
  • GICA胶体金免疫层析法
  • NC阴性对照

种属反应性

  • Hu
  • Ms小鼠
  • Rt大鼠
  • Dm果蝇
  • C线虫
  • Mk
  • Rb
  • B
  • D
  • P
  • Hm仓鼠
  • ChHm中国仓鼠
  • Chk
;

联系我们

Location :

南京市高新开发区星火路10号人才大厦C座

Phone :

400-9961-933
025-58868422

Email Address

info@sabbiotech.com