免费电话:400-9961-933
邮箱:info@sabbiotech.com
欢迎光临本站
川博智能体 English
位置: 首页 > 多克隆抗体 > PKM Antibody

PKM Antibody #40306

是否有货: Yes
产品详情

产品名称PKM Antibody

来源种属Rabbit

克隆性Polyclonal

纯化Antigen affinity purification.

应用IHC

种属反应性Human;Mouse

特异性The antibody detects endogenous levels of total PKM protein.

免疫原类型Peptide

免疫原描述Synthetic peptide of human pyruvate kinase, muscle

基因/蛋白名称PKM

标记Unconjugated

别名PK3; TCB; OIP3; PKM2; CTHBP; THBP1; HEL-S-30

数据库入口号Swiss-Prot:P14618
Gene Accssion:NP_872270

Uniprot P14618

浓度1.7mg/ml

配方Rabbit IgG in pH7.4 PBS, 0.05% NaN3, 40% Glycerol.

保存Store at -20˚C

应用详情
IHC 1:50-1:200
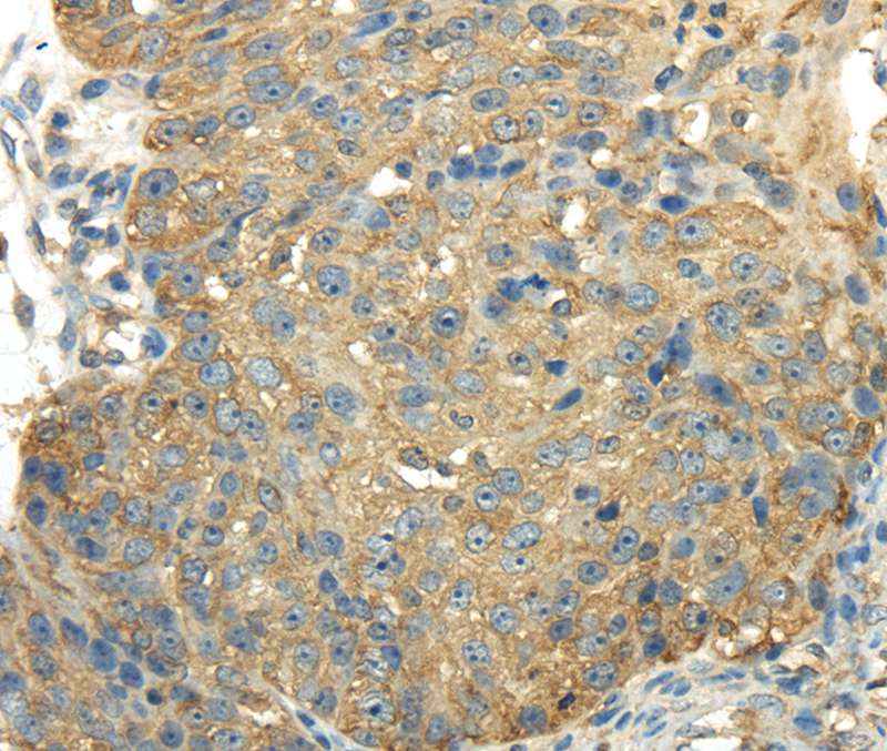
Immunohistochemical analysis of paraffin-embedded Human breast cancer tissue using PKM Antibody.
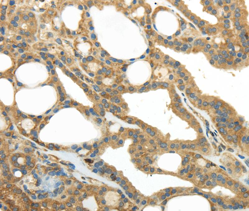
Immunohistochemical analysis of paraffin-embedded Human thyroid cancer tissue using PKM Antibody.
This gene encodes a protein involved in glycolysis. The encoded protein is a pyruvate kinase that catalyzes the transfer of a phosphoryl group from phosphoenolpyruvate to ADP, generating ATP and pyruvate. This protein has been shown to interact with thyroid hormone and may mediate cellular metabolic effects induced by thyroid hormones. This protein has been found to bind Opa protein, a bacterial outer membrane protein involved in gonococcal adherence to and invasion of human cells, suggesting a role of this protein in bacterial pathogenesis. Several alternatively spliced transcript variants encoding a few distinct isoforms have been reported.

如果您使用该产品40306发表了文章,请通知我们,让我们可以引用您的文献。

et al,Identification of lactate metabolism-related genes for glioma metabolic reprogramming , (2022),
PMID:

注释

应用

  • WB免疫印迹
  • IHC免疫组化
  • IF免疫荧光
  • ICC免疫细胞化学
  • FC流式细胞
  • IP免疫沉淀
  • E酶联免疫吸附法
  • DB免疫斑点法
  • ChIP染色质免疫沉淀
  • GICA胶体金免疫层析法
  • NC阴性对照

种属反应性

  • Hu
  • Ms小鼠
  • Rt大鼠
  • Dm果蝇
  • C线虫
  • Mk
  • Rb
  • B
  • D
  • P
  • Hm仓鼠
  • ChHm中国仓鼠
  • Chk
;

联系我们

Location :

南京市高新开发区星火路10号人才大厦C座

Phone :

400-9961-933
025-58868422

Email Address

info@sabbiotech.com