免费电话:400-9961-933
邮箱:info@sabbiotech.com
欢迎光临本站
川博智能体 English
位置: 首页 > 多克隆抗体 > SPON1 Antibody

SPON1 Antibody #40372

是否有货: Yes
产品详情

产品名称SPON1 Antibody

来源种属Rabbit

克隆性Polyclonal

纯化Antigen affinity purification.

应用WB IHC

种属反应性Human;Mouse;Rat

特异性The antibody detects endogenous levels of total SPON1 protein.

免疫原类型Peptide

免疫原描述Synthetic peptide corresponding to residues near the C terminal of human spondin 1, extracellular matrix protein

基因/蛋白名称SPON1

标记Unconjugated

别名f-spondin; VSGP/F-spondin

数据库入口号Swiss-Prot:Q9HCB6
Gene Accssion:NP_006099

Uniprot Q9HCB6

实际分子量91KD

浓度1.9mg/ml

配方Rabbit IgG in pH7.4 PBS, 0.05% NaN3, 40% Glycerol.

保存Store at -20˚C

应用详情
Western blotting: 1:200-1:1000
Immunohistochemistry:1:25-1:100
Gel: 6%SDS-PAGE
Lysates (from left to right): Mouse brain and lung tissue
Amount of lysate: 40ug per lane
Primary antibody: 1/400 dilution
Secondary antibody dilution: 1/8000
Exposure time: 2 minutes
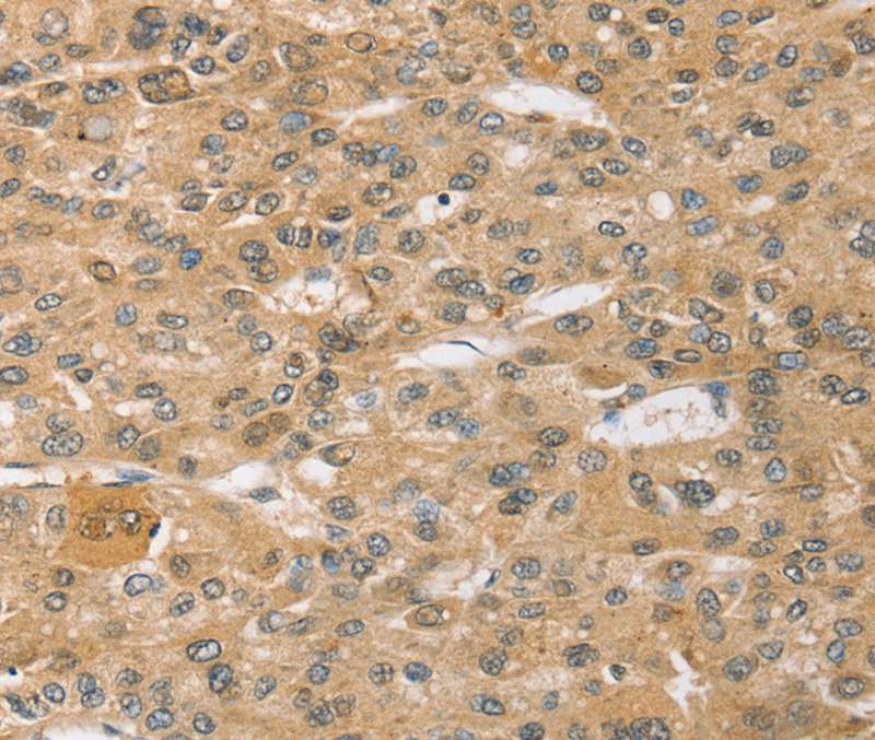
Immunohistochemical analysis of paraffin-embedded Human liver cancer tissue using #40372 at dilution 1/30.
F-Spondin, also designated Spondin-1 or vascular smooth muscle growth-promoting factor, is a member of the subgroup of the Thrombospondin type 1 class molecules. F-Spondin is a secreted, extracellular matrix-attached protein which patterns axonal trajectories by promoting adhesion and outgrowth of commissural axons, in addition to inhibiting outgrowth of motor axons.?

如果您使用该产品40372发表了文章,请通知我们,让我们可以引用您的文献。

et al,FOXO3 regulates Smad3 and Smad7 through SPON1 circular RNA to inhibit idiopathic pulmonary fibrosisInInt J Biol SciOn2023 Jun 12byHailong Li?1,?Jinhe Li et al..PMID:?37416778 , (2023),
PMID: 37416778
et al,Identification of Bone Morphometric Protein-Related Hub Genes and Construction of a Transcriptional Regulatory Network in Patients With Ossification of the Ligamentum FlavumInSpine (Phila Pa 1976)On2023 Sep 15byYifan Tuo?1?2,?Lihong Hu et al..PMID:?37384872 , (2023),
PMID: 37384872
et al,FOXO3 regulates Smad3 and Smad7 through SPON1 circular RNA to inhibit idiopathic pulmonary fibrosis , (2023),
PMID: 37416778
et al,FOXO3 regulates Smad3 and Smad7 through SPON1 circular RNA to inhibit idiopathic pulmonary fibrosis , (2023),
PMID: 37416778
et al,Bone Morphogenetic Protein 7 Promotes the Differentiation of Periodontal Ligament Fibroblasts into F-Spondin-Expressing Cementoblast-like Cells During … , (2025),
PMID: 41294475

注释

应用

  • WB免疫印迹
  • IHC免疫组化
  • IF免疫荧光
  • ICC免疫细胞化学
  • FC流式细胞
  • IP免疫沉淀
  • E酶联免疫吸附法
  • DB免疫斑点法
  • ChIP染色质免疫沉淀
  • GICA胶体金免疫层析法
  • NC阴性对照

种属反应性

  • Hu
  • Ms小鼠
  • Rt大鼠
  • Dm果蝇
  • C线虫
  • Mk
  • Rb
  • B
  • D
  • P
  • Hm仓鼠
  • ChHm中国仓鼠
  • Chk
;

联系我们

Location :

南京市高新开发区星火路10号人才大厦C座

Phone :

400-9961-933
025-58868422

Email Address

info@sabbiotech.com