免费电话:400-9961-933
邮箱:info@sabbiotech.com
欢迎光临本站
川博智能体 English
位置: 首页 > 多克隆抗体 > VWCE Antibody

VWCE Antibody #40403

是否有货: Yes
产品详情

产品名称VWCE Antibody

来源种属Rabbit

克隆性Polyclonal

纯化Antigen affinity purification.

应用IHC

种属反应性Human

特异性The antibody detects endogenous levels of total VWCE protein.

免疫原类型Peptide

免疫原描述Synthetic peptide of human von Willebrand factor C and EGF domains

基因/蛋白名称VWCE

标记Unconjugated

别名VWC1; URG11

数据库入口号Swiss-Prot:Q96DN2
Gene Accssion:NP_689931

Uniprot Q96DN2

浓度1.8mg/ml

配方Rabbit IgG in pH7.4 PBS, 0.05% NaN3, 40% Glycerol.

保存Store at -20˚C

应用详情
Immunohistochemistry:1:25-1:100
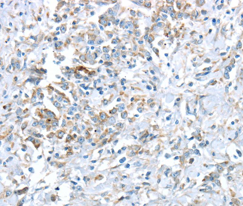
Immunohistochemical analysis of paraffin-embedded Human esophagus cancer tissue using #40403 at dilution 1/30.
Immunohistochemical analysis of paraffin-embedded Human gastric cancer tissue using #40403 at dilution 1/30.
May be a regulatory element in the beta-catenin signaling pathway and a target for chemoprevention of hapatocellular carcinoma.

如果您使用该产品40403发表了文章,请通知我们,让我们可以引用您的文献。

et al,Targeting glucose-inhibited hippocampal CCK interneurons prevents cognitive impairment in diet-induced obesity , (2025),
PMID: 40939593

注释

应用

  • WB免疫印迹
  • IHC免疫组化
  • IF免疫荧光
  • ICC免疫细胞化学
  • FC流式细胞
  • IP免疫沉淀
  • E酶联免疫吸附法
  • DB免疫斑点法
  • ChIP染色质免疫沉淀
  • GICA胶体金免疫层析法
  • NC阴性对照

种属反应性

  • Hu
  • Ms小鼠
  • Rt大鼠
  • Dm果蝇
  • C线虫
  • Mk
  • Rb
  • B
  • D
  • P
  • Hm仓鼠
  • ChHm中国仓鼠
  • Chk
;

联系我们

Location :

南京市高新开发区星火路10号人才大厦C座

Phone :

400-9961-933
025-58868422

Email Address

info@sabbiotech.com