免费电话:400-9961-933
邮箱:info@sabbiotech.com
欢迎光临本站
川博智能体 English
位置: 首页 > 鼠单克隆抗体 > HER2 Monoclonal Antibody

HER2 Monoclonal Antibody #40419

是否有货: 有货
产品详情

产品名称HER2 Monoclonal Antibody

来源种属Mouse

克隆性Monoclonal

纯化The antibody was affinity-purified from antiserum by affinity-chromatography

应用WB IHC

种属反应性Human;Mouse;Rat

特异性The antibody detects endogenous ErbB-2/HER-2 proteins.

基因/蛋白名称HER2

标记Unconjugated

别名ERBB2; HER2; MLN19; NEU; NGL; Receptor tyrosine-protein kinase erbB-2; Metastatic lymph node gene 19 protein; MLN 19; Proto-oncogene Neu; Proto-oncogene c-ErbB-2; Tyrosine kinase-type cell surface receptor HER2; p185erbB2; CD340

数据库入口号Swiss-Prot: P04626
NCBI Gene ID: 2064

Uniprot P04626

实际分子量138kd

浓度1mg/ml

配方Liquid in PBS containing 50% glycerol, 0.5% BSA and 0.02% sodium azide.

保存Store at -20˚C/1 year

应用详情
Western blotting: 1:2000-4000
Immunohistochemistry: 1:200
Western blot analysis of 1) Hela, 2) Mouse Brain, diluted at 1:4000.
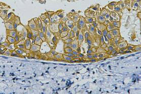
IHC staining of human breast cancer tissue, diluted at 1:200.

如果您使用该产品40419发表了文章,请通知我们,让我们可以引用您的文献。

et al,An injectable multimodal thiolated carboxymethyl cellulose hydrogel for advanced gastric cancer treatment. , (2025),
PMID: 40020807
et al,A hollow-tube-like hydrospongel for multimodal therapy of advanced colorectal cancer , (2025),
PMID: 40796777

注释

应用

  • WB免疫印迹
  • IHC免疫组化
  • IF免疫荧光
  • ICC免疫细胞化学
  • FC流式细胞
  • IP免疫沉淀
  • E酶联免疫吸附法
  • DB免疫斑点法
  • ChIP染色质免疫沉淀
  • GICA胶体金免疫层析法
  • NC阴性对照

种属反应性

  • Hu
  • Ms小鼠
  • Rt大鼠
  • Dm果蝇
  • C线虫
  • Mk
  • Rb
  • B
  • D
  • P
  • Hm仓鼠
  • ChHm中国仓鼠
  • Chk
;

联系我们

Location :

南京市高新开发区星火路10号人才大厦C座

Phone :

400-9961-933
025-58868422

Email Address

info@sabbiotech.com