免费电话:400-9961-933
邮箱:info@sabbiotech.com
欢迎光临本站
川博智能体 English
位置: 首页 > 鼠单克隆抗体 > GAP-43 Monoclonal Antibody

GAP-43 Monoclonal Antibody #40485

是否有货: 有货
产品详情

产品名称GAP-43 Monoclonal Antibody

来源种属Mouse

克隆性Monoclonal

纯化The antibody was affinity-purified from antiserum by affinity-chromatography

应用WB IHC

种属反应性Human;Mouse;Rat

特异性The antibody detects endogenous GAP-43 protein.

免疫原类型Recombinant Protein

免疫原描述Recombinant Protein

基因/蛋白名称GAP-43

标记Unconjugated

数据库入口号Swiss-Prot: P17677
NCBI Gene ID: 2596

Uniprot P17677

实际分子量38,43kd

浓度1mg/ml

配方Liquid in PBS containing 50% glycerol, 0.5% BSA and 0.02% sodium azide.

保存Store at -20˚C/1 year

应用详情
Western blotting: 1:1000-2000
Immunohistochemistry:1:200-500
Western blot analysis of 1) Hela, 2) 293T, 3) Mouse Brain Tissue, 4) Rat Brain Tissue using GAP-43 Monoclonal Antibody.
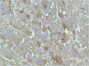
Immunohistochemical analysis of paraffin-embedded Rat Brain Tissue using GAP-43 Monoclonal Antibody.

如果您使用该产品40485发表了文章,请通知我们,让我们可以引用您的文献。

et al,MICA/B-Driven NK Cell Dysfunction Promotes Cervical Cancer via Toll Signaling , (2025),
PMID: 41475523

注释

应用

  • WB免疫印迹
  • IHC免疫组化
  • IF免疫荧光
  • ICC免疫细胞化学
  • FC流式细胞
  • IP免疫沉淀
  • E酶联免疫吸附法
  • DB免疫斑点法
  • ChIP染色质免疫沉淀
  • GICA胶体金免疫层析法
  • NC阴性对照

种属反应性

  • Hu
  • Ms小鼠
  • Rt大鼠
  • Dm果蝇
  • C线虫
  • Mk
  • Rb
  • B
  • D
  • P
  • Hm仓鼠
  • ChHm中国仓鼠
  • Chk
;

联系我们

Location :

南京市高新开发区星火路10号人才大厦C座

Phone :

400-9961-933
025-58868422

Email Address

info@sabbiotech.com