免费电话:400-9961-933
邮箱:info@sabbiotech.com
欢迎光临本站
川博智能体 English
位置: 首页 > 多克隆抗体 > Cleaved-Caspase-8 (D384) Polyclonal Antibody

Cleaved-Caspase-8 (D384) Polyclonal Antibody #40502

是否有货: 有货
产品详情

产品名称Cleaved-Caspase-8 (D384) Polyclonal Antibody

来源种属Rabbit

克隆性Polyclonal

纯化The antibody was affinity-purified from rabbit antiserum by affinity-chromatography using epitope-specific immunogen.

应用WB;IHC;IF;ELISA

种属反应性Human;Mouse;Rat

特异性Cleaved-Caspase-8 (D384) Polyclonal Antibody detects endogenous levels of fragment of activated Caspase-8 protein resulting from cleavage adjacent to D384.

免疫原描述Synthesized peptide derived from the C-terminal region of human Caspase-8.

基因/蛋白名称Cleaved-Caspase-8

标记Unconjugated

别名CASP8; MCH5; Caspase-8; CASP-8; Apoptotic cysteine protease; Apoptotic protease Mch-5; CAP4; FADD-homologous ICE/ced-3-like protease; FADD-like ICE; FLICE; ICE-like apoptotic protease 5; MORT1-associated ced-3 homolog; MACH

数据库入口号Swiss-Prot: Q14790
NCBI Gene ID: 841

Uniprot Q14790

计算分子量55kDa

实际分子量47kDa,55kDa

浓度1mg/ml

配方Liquid in PBS containing 50% glycerol, 0.5% BSA and 0.02% sodium azide.

保存Store at -20˚C/1 year

应用详情
WB 1:500-2000; IHC 1:50-300; IF 1:50-300; ELISA 1:5000-1:20000;
Western Blot analysis of extracts from 293 cells using Cleaved-Caspase-8 (D384) Polyclonal Antibody.
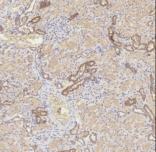
Immunohistochemical analysis of paraffin-embedded Human kidney tissue using Cleaved-Caspase-8 (D384) Polyclonal Antibody.
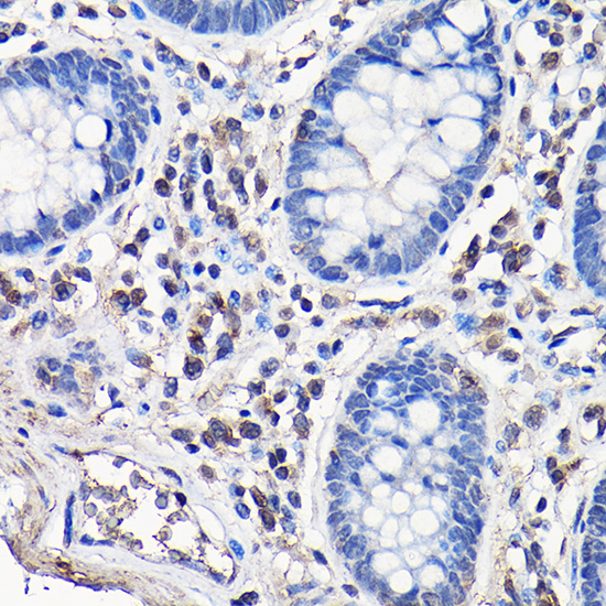
Immunohistochemical analysis of paraffin-embedded Human colon tissue using Cleaved-Caspase-8 (D384) Polyclonal Antibody.
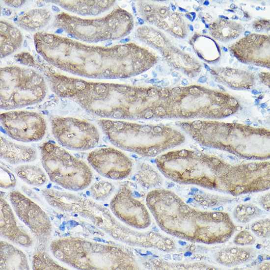
Immunohistochemical analysis of paraffin-embedded Mouse kidney tissue using Cleaved-Caspase-8 (D384) Polyclonal Antibody.
Immunofluorescence analysis of Human-breast-cancer tissue using Cleaved-Caspase-8 (D384) Polyclonal Antibody.Picture A:Target. Picture B: DAPI. Picture C: merge of A+B
Immunofluorescence analysis of PC-12 cells using Cleaved-Caspase-8 (D384) Polyclonal Antibody..Blue: DAPI for nuclear staining.

如果您使用该产品40502发表了文章,请通知我们,让我们可以引用您的文献。

et al,The SMAC Mimetic APG-1387 Sensitizes Immune-Mediated Cell Apoptosis in Hepatocellular Carcinoma.In Front Pharmacol. On 2018 Nov 6 by Chen Z, Chen J et al..PMID: 30459627 , (2018),
PMID: 30459627
et al,Ampelopsin induces apoptosis in HepG2 human hepatoma cell line through extrinsic and intrinsic pathways: Involvement of P38 and ERK.In Environ Toxicol Pharmacol on 2015 Nov by Shimei Qi, Xianjuan Kou et al..PMID: 26476886 , (2015),
PMID: 26476886

注释

应用

  • WB免疫印迹
  • IHC免疫组化
  • IF免疫荧光
  • ICC免疫细胞化学
  • FC流式细胞
  • IP免疫沉淀
  • E酶联免疫吸附法
  • DB免疫斑点法
  • ChIP染色质免疫沉淀
  • GICA胶体金免疫层析法
  • NC阴性对照

种属反应性

  • Hu
  • Ms小鼠
  • Rt大鼠
  • Dm果蝇
  • C线虫
  • Mk
  • Rb
  • B
  • D
  • P
  • Hm仓鼠
  • ChHm中国仓鼠
  • Chk
;

联系我们

Location :

南京市高新开发区星火路10号人才大厦C座

Phone :

400-9961-933
025-58868422

Email Address

info@sabbiotech.com