免费电话:400-9961-933
邮箱:info@sabbiotech.com
欢迎光临本站
川博智能体 English
位置: 首页 > 多克隆抗体 > Cleaved-Caspase-9 Polyclonal Antibody

Cleaved-Caspase-9 Polyclonal Antibody #40503

是否有货: 有货
产品详情

产品名称Cleaved-Caspase-9 Polyclonal Antibody

来源种属Rabbit

克隆性Polyclonal

纯化The antibody was affinity-purified from rabbit antiserum by affinity-chromatography using epitope-specific immunogen.

应用WB;IHC;IF

种属反应性Human;Mouse;Rat

特异性Cleaved-Caspase-9 p10 Polyclonal Antibody detects endogenous levels of fragment of activated Caspase-9 p10 protein resulting from cleavage adjacent to D330.

免疫原类型Peptide

免疫原描述The antiserum was produced against synthesized peptide derived from human Caspase 9.

基因/蛋白名称Cleaved-Caspase-9

标记Unconjugated

别名CASP9; MCH6; Caspase-9; CASP-9; Apoptotic protease Mch-6; Apoptotic protease-activating factor 3; APAF-3; ICE-like apoptotic protease 6; ICE-LAP6

数据库入口号P55211

Uniprot P55211

Gene ID 842

实际分子量10kDa,46kDa

浓度1mg/ml

配方Liquid in PBS containing 50% glycerol, 0.5% BSA and 0.02% sodium azide.

保存Store at -20˚C/1 year

应用详情
WB 1:500-1:2000;
IHC 1:100-1:300;
IF 1:50-1:200
Western Blot analysis of extracts from HEPG2-UV cells using Cleaved-Caspase-9 Polyclonal Antibody
Western Blot analysis of extracts from NIH-3T3 and HepG2 cells using Cleaved-Caspase-9 Polyclonal Antibody
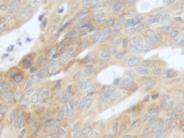
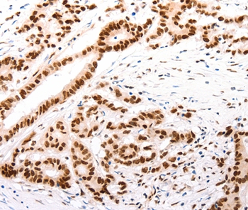
Immunohistochemistry of paraffin-embedded Human colorectal cancer tissue using Cleaved-Caspase-9 Polyclonal Antibody.
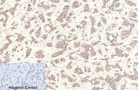
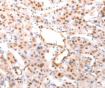
Immunohistochemistry of paraffin-embedded Human liver cancer tissue using Cleaved-Caspase-9 Polyclonal Antibody.
Immunohistochemistry of paraffin-embedded Human colon cancer tissue using Cleaved-Caspase-9 Polyclonal Antibody.
Immunohistochemistry of paraffin-embedded Human lung cancer tissue using Cleaved-Caspase-9 Polyclonal Antibody.
Immunofluorescence analysis of human stomach cancer tissue using CASP9 antibody .
Immunofluorescence analysis of HepG2 cells using CASP9 antibody .
Immunofluorescence analysis of MCF-7 cells using CASP9 antibody .
Western Blot analysis of various cells using Cleaved-Caspase-9 Polyclonal Antibody diluted at 1:1000
Western Blot analysis of various cell lysis. Primary Antibody was diluted at 1:1000. Secondary antibody was diluted at 1:10000
Immunohistochemical analysis of paraffin-embedded Human-liver-cancer tissue;
1.Cleaved-Caspase-9 Polyclonal Antibody was diluted at 1:200(4℃,overnight);
2.Sodium citrate pH 6.0 was used for antibody retrieval(>98℃,20min);
3.Secondary antibody was diluted at 1:200(room tempeRature, 30min). Negative control was used by secondary antibody only.

如果您使用该产品40503发表了文章,请通知我们,让我们可以引用您的文献。

et al,Protective effect of morin on myocardial ischemia?reperfusion injury in rats.In Int J Mol Med. 2018 Sep by Liu S1, Wu N et al..PMID:29956744 , (2018),
PMID: 29956744
et al,Hydroxytyrosol protects agaInst myocardial ischemia reperfusion Injury by InhibitIng mitochondrial permeability transition pore openIng. In Exp Ther Med on 2019 Jan by Miao J, Huang Z, et al..PMID:30651849 , (2019),
PMID: 30651849
et al,Apicidin Inhibited Proliferation and Invasion and Induced Apoptosis via Mitochondrial Pathway in Non-small Cell Lung Cancer GLC-82 Cells.Anticancer Agents Med Chem on 2017 by Jianye Zhang , Zhenzhu Lai,et al..PMID: 28425856 , (2017),
PMID: 28425856

注释

应用

  • WB免疫印迹
  • IHC免疫组化
  • IF免疫荧光
  • ICC免疫细胞化学
  • FC流式细胞
  • IP免疫沉淀
  • E酶联免疫吸附法
  • DB免疫斑点法
  • ChIP染色质免疫沉淀
  • GICA胶体金免疫层析法
  • NC阴性对照

种属反应性

  • Hu
  • Ms小鼠
  • Rt大鼠
  • Dm果蝇
  • C线虫
  • Mk
  • Rb
  • B
  • D
  • P
  • Hm仓鼠
  • ChHm中国仓鼠
  • Chk
;

联系我们

Location :

南京市高新开发区星火路10号人才大厦C座

Phone :

400-9961-933
025-58868422

Email Address

info@sabbiotech.com