免费电话:400-9961-933
邮箱:info@sabbiotech.com
欢迎光临本站
川博智能体 English
位置: 首页 > 多克隆抗体 > ASC Polyclonal Antibody

ASC Polyclonal Antibody #40618

是否有货: 有货
产品详情

产品名称ASC Polyclonal Antibody

来源种属Rabbit

克隆性Polyclonal

纯化The antibody was affinity-purified from rabbit antiserum by affinity-chromatography using epitope-specific immunogen.

应用WB IHC IF ELISA

种属反应性Human;Mouse;Rat

特异性ASC Polyclonal Antibody detects endogenous levels of ASC protein.

免疫原描述Synthesized peptide derived from the N-terminal region of human ASC.

基因/蛋白名称ASC

标记Unconjugated

别名PYCARD; ASC; CARD5; TMS1; Apoptosis-associated speck-like protein containing a CARD; hASC; Caspase recruitment domain-containing protein 5; PYD and CARD domain-containing protein; Target of methylation-induced silencing 1

数据库入口号Swiss-Prot: Q9ULZ3
NCBI Gene ID: 29108

Uniprot Q9ULZ3

实际分子量21kd

浓度1mg/ml

配方Liquid in PBS containing 50% glycerol, 0.5% BSA and 0.02% sodium azide.

保存Store at -20˚C/1 year

应用详情

Western Blot: 1/500 - 1/2000.
Immunohistochemistry: 1/100 - 1/300.
Immunofluorescence: 1/200 - 1/1000.
ELISA: 1/40000.
Not yet tested in other applications.

Western Blot analysis of 823 293T cells using ASC Polyclonal Antibody
Wu, Dong-Dong, et al. "Inhibition of alveolar macrophage pyroptosis reduces lipopolysaccharide-induced acute lung injury in mice." Chinese medical journal 128.19 (2015): 2638.
Western blot analysis of lysates from 1) K562 , 2) Hela , 3) 3T3 cells, (Green) primary antibody was diluted at 1:1000, 4°over night, secondary antibody was diluted at 1:10000, 37° 1hour. (Red) Tubulin β Monoclonal Antibody(5G3) antibody was diluted at 1:5000 as loading control, 4° over night,secondary antibody was diluted at 1:10000, 37° 1hour.
Western Blot analysis of various cells using primary antibody diluted at 1:1000(4°C overnight). Secondary antibody:Goat Anti-rabbit IgG IRDye 800( diluted at 1:5000, 25°C, 1 hour). Cell lysate was extracted by Minute™ Plasma Membrane Protein Isolation and Cell Fractionation Kit(SM-005, Inventbiotech,MN,USA).
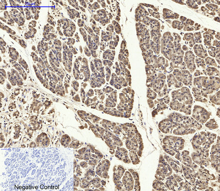
Immunohistochemical analysis of paraffin-embedded Human-liver tissue. 1,ASC Polyclonal Antibody was diluted at 1:200(4°C,overnight). 2, Sodium citrate pH 6.0 was used for antibody retrieval(>98°C,20min). 3,Secondary antibody was diluted at 1:200(room tempeRature, 30min). Negative control was used by secondary antibody only.
Immunohistochemical analysis of paraffin-embedded Human-stomach-cancer tissue. 1,ASC Polyclonal Antibody was diluted at 1:200(4°C,overnight). 2, Sodium citrate pH 6.0 was used for antibody retrieval(>98°C,20min). 3,Secondary antibody was diluted at 1:200(room tempeRature, 30min). Negative control was used by secondary antibody only.
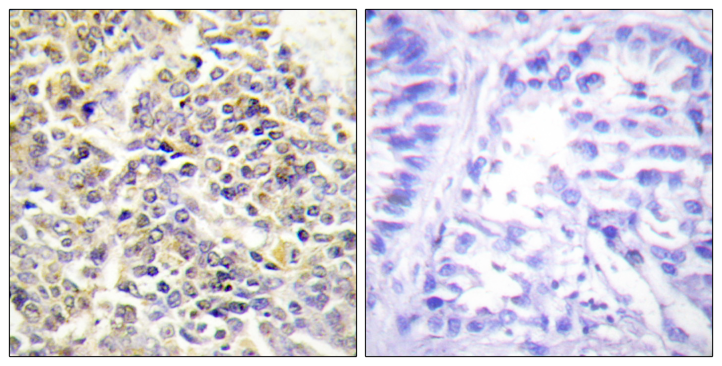
Immunohistochemistry analysis of paraffin-embedded human lung carcinoma tissue, using ASC Antibody. The picture on the right is blocked with the synthesized peptide.

如果您使用该产品40618发表了文章,请通知我们,让我们可以引用您的文献。

et al,Protective effect of ginsenoside Rg5 against kidney injury via inhibition of NLRP3 inflammasome activation and the MAPK signaling pathway in high-fat diet/streptozotocin-induced diabetic mice. In Pharmacol Res on 2020 May by Yanyan Zhu, Chenhui Zhu, et al..PMID: 32156650 , (2020),
PMID: 32156650
et al,Ginsenoside Rk3 alleviated DSS-induced ulcerative colitis by protecting colon barrier and inhibiting NLRP3 inflammasome pathway. In Int Immunopharmacol on 2020 Aug by Mi Tian, Pei Ma, et al..PMID: 32521491 , (2020),
PMID: 32521491
et al,The Extracts of Angelica sinensis and Cinnamomum cassia from Oriental Medicinal Foods Regulate Inflammatory and Autophagic Pathways against Neural Injury after Ischemic Stroke. In Oxid Med Cell Longev on 2021 Jun 26 by Cheng Luo, Qi Chen,et al..PMID:34257822 , (2021),
PMID: 34257822
et al,Alpha-lipoic acid alleviates NAFLD and triglyceride accumulation in liver via modulating hepatic NLRP3 inflammasome activation pathway in type 2 diabetic rats. In Food Sci Nutr on 2021 Mar 13 by Chih-Yuan Ko, Yangming Martin Lo, et al..PMID: 34026086 , (2021),
PMID: 34026086
et al,Vitexin alleviates MNNG-induced chronic atrophic gastritis via inhibiting NLRP3 inflammasome. , (2025),
PMID: 39716512
et al,Botulinum toxin type A inhibits microglia pyroptosis by suppressing Cblb-mediated degradation of Pdlim1 to attenuate neuropathic pain , (2025),
PMID: 40696327
et al,Differences in macrophage pyroptosis and polarization induced by nano-/micro-calcium oxalate crystals , (2025),
PMID: 40640899
查看更多
et al,Geniposide activates the NLRP3 inflammasome pathway to induce nephrotoxicity by regulating FXR/PERK/TXNIP pathways , (2025),
PMID: 41260456

注释

应用

  • WB免疫印迹
  • IHC免疫组化
  • IF免疫荧光
  • ICC免疫细胞化学
  • FC流式细胞
  • IP免疫沉淀
  • E酶联免疫吸附法
  • DB免疫斑点法
  • ChIP染色质免疫沉淀
  • GICA胶体金免疫层析法
  • NC阴性对照

种属反应性

  • Hu
  • Ms小鼠
  • Rt大鼠
  • Dm果蝇
  • C线虫
  • Mk
  • Rb
  • B
  • D
  • P
  • Hm仓鼠
  • ChHm中国仓鼠
  • Chk
;

联系我们

Location :

南京市高新开发区星火路10号人才大厦C座

Phone :

400-9961-933
025-58868422

Email Address

info@sabbiotech.com