免费电话:400-9961-933
邮箱:info@sabbiotech.com
欢迎光临本站
川博智能体 English
位置: 首页 > 多克隆抗体 > Bax Polyclonal Antibody

Bax Polyclonal Antibody #40635

是否有货: 有货
产品详情

产品名称Bax Polyclonal Antibody

来源种属Rabbit

克隆性Polyclonal

纯化The antibody was affinity-purified from rabbit antiserum by affinity-chromatography using epitope-specific immunogen.

应用WB;IHC;IF;ELISA

种属反应性Human;Mouse;Rat

特异性Bax Polyclonal Antibody detects endogenous levels of Bax protein.

免疫原类型peptide

免疫原描述Synthesized peptide derived from the Internal region of human Bax.

基因/蛋白名称Bax

标记Unconjugated

别名BAX; BCL2L4; Apoptosis regulator BAX; Bcl-2-like protein 4; Bcl2-L-4

数据库入口号Swiss-Prot: Q07812
NCBI Gene ID: 581

Uniprot Q07812

计算分子量21kDa

实际分子量21kDa

浓度1mg/ml

配方Liquid in PBS containing 50% glycerol, 0.5% BSA and 0.02% sodium azide.

保存Store at -20˚C/1 year

应用详情
Western Blot: 1/500 - 1/2000.
Immunohistochemistry: 1/100 - 1/300.
Immunofluorescence: 1/200 - 1/1000.
ELISA: 1/20000.
Not yet tested in other applications.
Western blot analysis of lysates from various cell lines and Rat spleen using Bax Polyclonal Antibody.

Lane1: Hela

Lane2: 293

Lane3: HepG2

Lane 4: raji

Lane5: Rat spleen



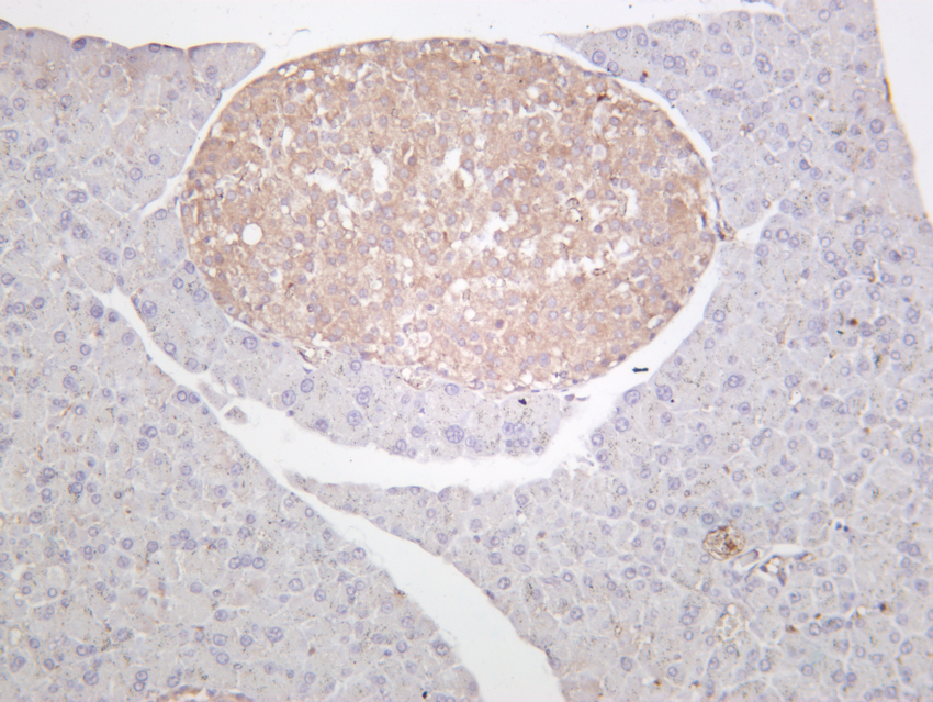
Immunohistochemistry of paraffin-embedded Mouse pancreas using Bax Polyclonal Antibody.
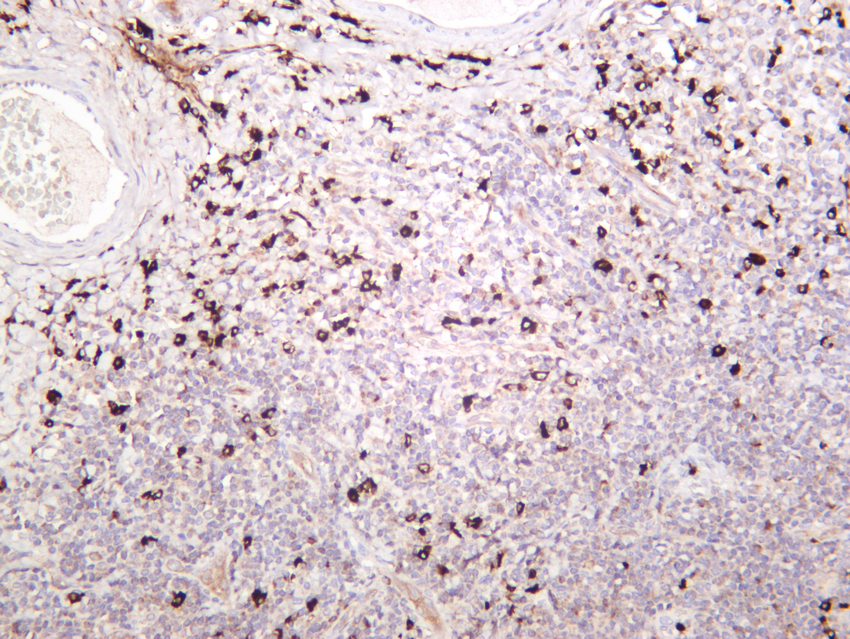
Immunohistochemistry of paraffin-embedded Human tonsil using Bax Polyclonal Antibody.
Immunofluorescence analysis of A549 cells using Bax Polyclonal Antibody.
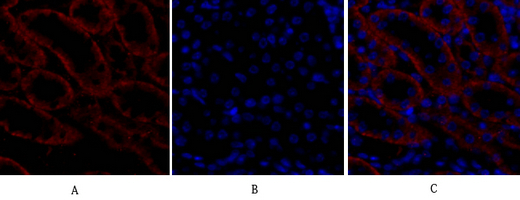
Immunofluorescence analysis of mouse kidney tissue using Bax Polyclonal Antibody.
Immunofluorescence analysis of Human tonsils using Bax Polyclonal Antibody.
Immunofluorescence analysis of HEK293 cells using Bax Polyclonal Antibody.

如果您使用该产品40635发表了文章,请通知我们,让我们可以引用您的文献。

et al,Nerve growth factor protects retinal ganglion cells against injury induced by retinal ischemia鈥搑eperfusion in rats.In Growth Factors on 2015 Apr by Qian Chen , Haitao Wang et al..PMID: 25707536 , (2015),
PMID: 25707536
et al,IL-37b alleviates endothelial cell apoptosis and inflammation in Kawasaki disease through IL-1R8 pathway. In Cell Death Dis on 2021 Jun 3 by Chang Jia, Yingzhi Zhuge, et al..PMID:34083516 , (2021),
PMID: 34083516
et al,Human amniotic fluid mesenchymal stem cells attenuate pancreatic cancer cell proliferation and tumor growth in an orthotopic xenograft mouse model. In Stem Cell Res Ther on 2022 Jun 3 by Ying-Cheng Chen, Ying-Wei Lan, et al..PMID: 35659367 , (2022),
PMID: 35659367
et al,Alleviation of Splenic Injury by CB001 after Low-Dose Irradiation Mediated by NLRP3/Caspase-1-BAX/Caspase-3 AxisInRadiat ResOn2023 Dec 29byChangkun Hu?1?2,?Zebin Liao et al..PMID:?38154483 , (2023),
PMID: 38154483
et al,Xinyin tablets affect mitophagy and cardiomyocyte apoptosis to alleviate chronic heart failure by regulating histone deacetylase 3(HDAC3)-mediated PTEN induced putative kinase 1(PINK1)/Parkin signaling pathway. , (2025),
PMID: 40122315
et al,Procyanidins inhibit fine particulate matter-induced vascular smooth muscle cells apoptosis via the activation of the Nrf2 signaling pathway. In Ecotoxicol Environ Saf on 2021 Oct 15 by Li-Min Zhang, Shuai-Shuai Lv,et al..PMID:34364126 , (2021),
PMID: 34364126
et al,PLOD2 increases resistance of gastric cancer cells to 5-fluorouracil by upregulating BCRP and inhibiting apoptosis.In Cancer on 2020 Mar 13; by Wang , Guo J, et al..PMID: 32284742 , (2020),
PMID: 32284742
查看更多
et al,BAD overexpression inhibits cell growth and induces apoptosis via mitochondrial-dependent pathway in non-small cell lung cancer.In Cancer Cell Int on 2013 Jun 1 by Jiang L, Luo M, et al..PMID:23725574 , (2013),
PMID: 23725574

注释

应用

  • WB免疫印迹
  • IHC免疫组化
  • IF免疫荧光
  • ICC免疫细胞化学
  • FC流式细胞
  • IP免疫沉淀
  • E酶联免疫吸附法
  • DB免疫斑点法
  • ChIP染色质免疫沉淀
  • GICA胶体金免疫层析法
  • NC阴性对照

种属反应性

  • Hu
  • Ms小鼠
  • Rt大鼠
  • Dm果蝇
  • C线虫
  • Mk
  • Rb
  • B
  • D
  • P
  • Hm仓鼠
  • ChHm中国仓鼠
  • Chk
;

联系我们

Location :

南京市高新开发区星火路10号人才大厦C座

Phone :

400-9961-933
025-58868422

Email Address

info@sabbiotech.com