免费电话:400-9961-933
邮箱:info@sabbiotech.com
欢迎光临本站
川博智能体 English
位置: 首页 > 多克隆抗体 > Bcl-2 Polyclonal Antibody

Bcl-2 Polyclonal Antibody #40639

是否有货: 有货
产品详情

产品名称Bcl-2 Polyclonal Antibody

来源种属Rabbit

克隆性Polyclonal

纯化The antibody was affinity-purified from rabbit antiserum by affinity-chromatography using epitope-specific immunogen.

应用WB;IHC;IF;ELISA

种属反应性Human;Mouse;Rat

特异性Bcl-2 Polyclonal Antibody detects endogenous levels of Bcl-2 protein.

免疫原类型peptide

免疫原描述Synthesized peptide derived from human Bcl-2 around the non-phosphorylation site of T69.

基因/蛋白名称Bcl-2

标记Unconjugated

别名BCL2; Apoptosis regulator Bcl-2

数据库入口号Swiss-Prot: P10415
NCBI Gene ID: 596

Uniprot P10415

计算分子量26kDa

实际分子量26kDa

浓度1mg/ml

配方Liquid in PBS containing 50% glycerol, 0.5% BSA and 0.02% sodium azide.

保存Store at -20˚C/1 year

应用详情
Western Blot: 1/500 - 1/2000.
Immunohistochemistry: 1/100 - 1/300.
Immunofluorescence: 1/200 - 1/1000.
ELISA: 1/10000.
Not yet tested in other applications.
Western Blot analysis of 3T3 cells using Bcl-2 Polyclonal Antibody.
Western Blot analysis of MCF7 cells using Bcl-2 Polyclonal Antibody.
Western blot analysis of extracts from various cell lines using Bcl-2 antibody.
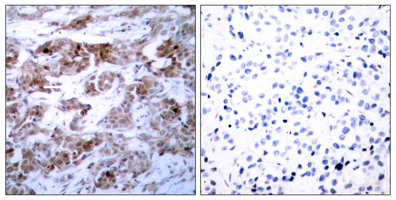
Immunohistochemical analysis of paraffin-embedded human breast carcinoma tissue using Bcl-2 Polyclonal Antibody(left) or the same antibody preincubated with blocking peptide(right).
Immunohistochemical analysis of paraffin-embedded mouse pancreas tissue using Bcl-2 Polyclonal Antibody.
Immunohistochemical analysis of paraffin-embedded rat testis tissue using Bcl-2 Polyclonal Antibody.
Immunohistochemical analysis of paraffin-embedded mouse brain tissue using Bcl-2 Polyclonal Antibody.
Immunofluorescence staining of methanol-fixed Hela cells using Bcl-2 Polyclonal Antibody.
Immunofluorescence analysis of methanol-fixed U2OS cells using BCL2 Antibody.
Immunofluorescence analysis of methanol-fixed NIH/3T3 cells using BCL2 Antibody.
Immunofluorescence analysis of L929 cells using BCL2 Antibody at dilution of 1:100. Blue: DAPI for nuclear staining.

如果您使用该产品40639发表了文章,请通知我们,让我们可以引用您的文献。

et al,Cosmeceutical activities of ethanol extract and its ethyl acetate fraction from coffee silverskIn. In Biol Trace Elem Res on 2019 Feb by Xuan SH, Lee KS, et al..PMID:30675376 , (2019),
PMID: 30675376
et al,Ameliorative effects of nano-selenium agaInst NiSO4-Induced apoptosis In rat testes. In Toxicol Mech Methods on 2019 Jun 4 by Zhang X, Gan X, et al.. PMID: 31050317 , (2019),
PMID: 31050317
et al,Synergistic effect of STAT3?targeted small InterferIng RNA and AZD0530 agaInst glioblastoma in vitro and In vivo. In Mol Med Rep on 2019 Oct by Liu , Wang L, et al..PMID:31485668 , (2019),
PMID: 31485668
et al,A thiazole-derived oridonIn analogue exhibits antitumor activity by directly and allosterically InhibitIng STAT3. In J Biol Chem on 2019 Nov 15;by Shen X, Zhao L,et al..PMID:31594861 , (2019),
PMID: 31594861
et al,Artemether Activation of AMPK/GSK3β(ser9)/Nrf2 SignalIng Confers Neuroprotection towards β-Amyloid-Induced Neurotoxicity In 3xTg Alzheimer's Mouse Model. In Oxid Med Cell Longev on 2019 Nov 21 by Li S, Zhao X, et al..PMID:31871541 , (2019),
PMID: 31871541
et al,Melatonin ameliorates Aβ1 42 induced Alzheimer's cognitive deficits in mouse model.In J Pharm Pharmacol.On 2018 Jan by Gong YH, Hua N et al..PMID: 28994117 , (2018),
PMID: 28994117
et al,Quercetin induces apoptosis via the mitochondrial pathway in KB and KBv200 cells.In J Agric Food Chem on 2013 Mar 6 by Zhang JY, Yi T,et al..PMID:23410218 , (2013),
PMID: 23410218
查看更多
et al,Lentivirus-mediated Sirt1 shRNA and resveratrol independently induce porcine preadipocyte apoptosis by canonical apoptotic pathway. In Mol Biol Rep on 2013 Jan by Wei-Jun Pang, Yan Xiong, et al..PMID: 23065251 , (2013),
PMID: 23065251
et al,Sulforaphane鈥恑nduced apoptosis in X uanwei lung adenocarcinoma cell line XWLC锟?5.In Thorac Cancer on 2017 Jan by Lan Zhou, Qian Yao,et al..PMID: 27878984 , (2017),
PMID: 27878984
et al,Cryptotanshinone Inhibits Lung Tumorigenesis and Induces Apoptosis in Cancer Cells in Vitro and in Vivo.In Mol Med Rep on 2014 Jun by Liang Chen , Hui-Juan Wang et al..PMID:24682389 , (2014),
PMID: 24682389
et al,Necroptosis inhibitor necrostatin-1 promotes cell protection and physiological function in traumatic spinal cord injury.In Neuroscience.On 2014 Apr 25 by Wang Y, Wang H et al..PMID:24561219 , (2014),
PMID: 24561219
et al, Silencing HIWI suppresses the growth, invasion and migration of glioma cells.In Int J Oncol on 2014 Dec by Xiuyu Wang , Xiaoguang Tong et al..PMID:25269862 , (2014),
PMID: 25269862
et al,miR-137 and miR-197 induce apoptosis and suppress tumorigenicity by targeting MCL-1 in multiple myeloma.In Clin Cancer Res on 2015 May 15 by Yijun Yang , Fei Li et al..PMID:25724519 , (2015),
PMID: 25724519
et al,D5 receptor agonist 027075 promotes cognitive function recovery and neurogenesis in a A尾1-42-induced mouse model.In Neuropharmacology on 2016 Jun by Ling Shen , Ming Yan et al..PMID: 26773200 , (2016),
PMID: 26773200
et al,IL-37b alleviates endothelial cell apoptosis and inflammation in Kawasaki disease through IL-1R8 pathway. In Cell Death Dis on 2021 Jun 3 by Chang Jia, Yingzhi Zhuge, et al..PMID:34083516 , (2021),
PMID: 34083516
et al,Artemether confers neuroprotection on cerebral ischemic injury through stimulation of the Erk1/2-P90rsk-CREB signaling pathway. In Redox Biol on 2021 Oct by Shuai Li, Tangming Peng,et al..PMID:34303216 , (2021),
PMID: 34303216
et al,Opposing functions of 尾-arrestin 1 and 2 in Parkinson's disease via microglia inflammation and Nprl3. In Cell Death Differ on 2021 Jun by Yinquan Fang, Qingling Jiang, et al..PMID:33686256 , (2021),
PMID: 33686256
et al,Exploring the Therapeutic Mechanism of Tingli Dazao Xiefei Decoction on Heart Failure Based on Network Pharmacology and Experimental Study. In Evid Based Complement Alternat Med on 2021 Nov 25 by Dan-Dan Zhao, Xiao-Qing Zhang,et al..PMID:34868332 , (2021),
PMID: 34868332
et al,Artemisinin attenuated ischemic stroke induced cell apoptosis through activation of ERK1/2/CREB/BCL-2 signaling pathway in vitro and in vivo. In Int J Biol Sci on 2022 Jul 11 by Tangming Peng, Shuai Li ,et al..PMID:35864966 , (2022),
PMID: 35864966
et al,Nano-selenium attenuates mitochondrial-associated apoptosis via the PI3K/AKT pathway in nickel-induced hepatotoxicity in vivo and in vitro. In Environ Toxicol on 2022 Jan by Caixia Wang, Zhangyu Gu,et al..PMID:34612572 , (2022),
PMID: 34612572
et al,Exosomal HSP90 induced by remote ischemic preconditioning alleviates myocardial ischemia/reperfusion injury by inhibiting complement activation and inflammationInBMC Cardiovasc DisordOn2023 Feb 1byXiao-Fang Cheng 1, Shi-Tao He et al..PMID: 36726083 , (2023),
PMID: 36726083
et al,Therapeutic Potential of Vericiguat in Myocardial Ischemia/Reperfusion Injury: Crosstalk between Heat Shock Protein 90 and Complement Activation , (2025),
PMID: 41261832
et al,Heat shock protein 90 mediates the protective effects of vericiguat on myocardial ischemia/reperfusion injury by inhibiting toll-like receptor 4 and c-Jun N … , (2025),
PMID: 40809170

注释

应用

  • WB免疫印迹
  • IHC免疫组化
  • IF免疫荧光
  • ICC免疫细胞化学
  • FC流式细胞
  • IP免疫沉淀
  • E酶联免疫吸附法
  • DB免疫斑点法
  • ChIP染色质免疫沉淀
  • GICA胶体金免疫层析法
  • NC阴性对照

种属反应性

  • Hu
  • Ms小鼠
  • Rt大鼠
  • Dm果蝇
  • C线虫
  • Mk
  • Rb
  • B
  • D
  • P
  • Hm仓鼠
  • ChHm中国仓鼠
  • Chk
;

联系我们

Location :

南京市高新开发区星火路10号人才大厦C座

Phone :

400-9961-933
025-58868422

Email Address

info@sabbiotech.com