免费电话:400-9961-933
邮箱:info@sabbiotech.com
欢迎光临本站
川博智能体 English
位置: 首页 > 多克隆抗体 > c-Fos Polyclonal Antibody

c-Fos Polyclonal Antibody #40731

是否有货: 有货
产品详情

产品名称c-Fos Polyclonal Antibody

来源种属Rabbit

克隆性Polyclonal

纯化The antibody was affinity-purified from rabbit antiserum by affinity-chromatography using epitope-specific immunogen.

应用WB;IHC;IF;ELISA

种属反应性Human;Mouse;Rat

特异性c-Fos Polyclonal Antibody detects endogenous levels of c-Fos protein.

免疫原类型peptide

免疫原描述Synthesized peptide derived from the N-terminal region of human c-Fos.

基因/蛋白名称c-Fos

标记Unconjugated

别名FOS; G0S7; Proto-oncogene c-Fos; Cellular oncogene fos; G0/G1 switch regulatory protein 7

数据库入口号Swiss-Prot: P01100
NCBI Gene ID: 2353

Uniprot P01100

计算分子量41kDa

实际分子量55-62kDa

浓度1mg/ml

配方Liquid in PBS containing 50% glycerol, 0.5% BSA and 0.02% sodium azide.

保存Store at -20˚C/1 year

应用详情
WB 1:500-1:2000; IHC 1:100-1:300; IF 1:50-200; ELISA 1:10000;
Western blot analysis of extracts from HepG2 cells,Mouse liver and Rat liver using c-Fos antibody.
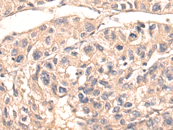
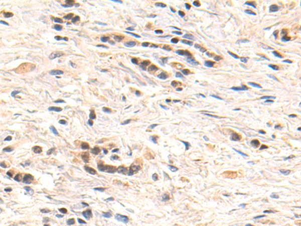
Immunohistochemical analysis of paraffin-embedded Human liver cancer tissue using c-Fos Polyclonal Antibody.
Immunohistochemical analysis of paraffin-embedded Human esophagus cancer tissue using c-Fos Polyclonal Antibody.
Immunohistochemical analysis of paraffin-embedded Human colon tissue using c-Fos Polyclonal Antibody.
Immunohistochemical analysis of paraffin-embedded Human breast carcinoma tissue using c-Fos Polyclonal Antibody(left) or the same antibody preincubated with blocking peptide(right).
Immunofluorescence analysis of NIH/3T3 cells using c-Fos Polyclonal Antibody. Blue: DAPI for nuclear staining.
Immunofluorescence analysis of C6 cells using c-Fos Polyclonal Antibody. Blue: DAPI for nuclear staining.

如果您使用该产品40731发表了文章,请通知我们,让我们可以引用您的文献。

et al,Phytoestrogens protect joints in collagen induced arthritis by increasing IgG glycosylation and reducing osteoclast activation.In Int Immunopharmacol on 2020 Mar 12 by Du N, Song L, et al..PMID:32172207 , (2020),
PMID: 32172207
et al,Inhibitory Effects of Combined Bone Morphogenetic Protein 2, Vascular Endothelial Growth Factor, and Basic Fibroblast Growth Factor on Osteoclast Differentiation and Activity. In Tissue Eng Part A on 2021 Nov by Huan Wu, Guangfu Yin,et al..PMID:33632010 , (2021),
PMID: 33632010

注释

应用

  • WB免疫印迹
  • IHC免疫组化
  • IF免疫荧光
  • ICC免疫细胞化学
  • FC流式细胞
  • IP免疫沉淀
  • E酶联免疫吸附法
  • DB免疫斑点法
  • ChIP染色质免疫沉淀
  • GICA胶体金免疫层析法
  • NC阴性对照

种属反应性

  • Hu
  • Ms小鼠
  • Rt大鼠
  • Dm果蝇
  • C线虫
  • Mk
  • Rb
  • B
  • D
  • P
  • Hm仓鼠
  • ChHm中国仓鼠
  • Chk
;

联系我们

Location :

南京市高新开发区星火路10号人才大厦C座

Phone :

400-9961-933
025-58868422

Email Address

info@sabbiotech.com