免费电话:400-9961-933
邮箱:info@sabbiotech.com
欢迎光临本站
川博智能体 English
位置: 首页 > 多克隆抗体 > c-Myc Polyclonal Antibody

c-Myc Polyclonal Antibody #40765

是否有货: 有货
产品详情

产品名称c-Myc Polyclonal Antibody

来源种属Rabbit

克隆性Polyclonal

纯化The antibody was affinity-purified from rabbit antiserum by affinity-chromatography using epitope-specific immunogen.

应用WB IHC IF ELISA

种属反应性Human;Mouse;Rat

特异性c-Myc Polyclonal Antibody detects endogenous levels of c-Myc protein.

免疫原描述Synthesized peptide derived from the C-terminal region of human c-Myc.

基因/蛋白名称c-Myc

标记Unconjugated

别名MYC; BHLHE39; Myc proto-oncogene protein; Class E basic helix-loop-helix protein 39; bHLHe39; Proto-oncogene c-Myc; Transcription factor p64

数据库入口号Swiss-Prot: P01106
NCBI Gene ID: 4609

Uniprot P01106

计算分子量50kDa

实际分子量57-65kDa

浓度1mg/ml

配方Liquid in PBS containing 50% glycerol, 0.5% BSA and 0.02% sodium azide.

保存Store at -20˚C/1 year

应用详情

Western Blot: 1/500 - 1/2000.
Immunohistochemistry: 1/100 - 1/300.
Immunofluorescence: 1/200 - 1/1000.
ELISA: 1/40000.
Not yet tested in other applications.

Western blot analysis of extracts from HUVEC cells using c-Myc Polyclonal Antibody.
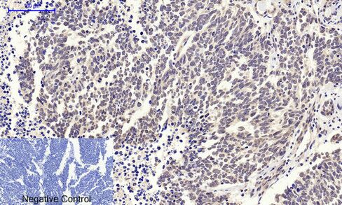
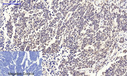
Immunohistochemical analysis of paraffin-embedded Human lung carcinoma tissue using c-Myc Polyclonal Antibody.
Immunohistochemical analysis of paraffin-embedded RAT testis tissue using c-Myc Polyclonal Antibody.
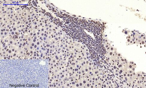
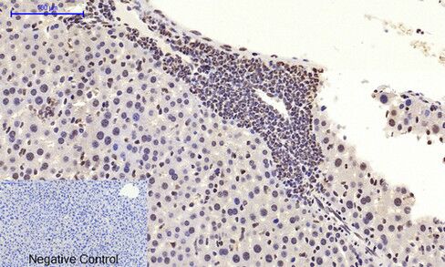
Immunohistochemical analysis of paraffin-embedded Mouse liver tissue using c-Myc Polyclonal Antibody.
Immunofluorescence analysis of HEK293 cells using c-Myc Polyclonal Antibody. Picture A:Target (red). Picture B: DAPI (blue). Picture C: Merge of A+B
Immunofluorescence analysis of Hela cells using c-Myc Polyclonal Antibody.Blue: DAPI for nuclear staining.

如果您使用该产品40765发表了文章,请通知我们,让我们可以引用您的文献。

et al,Small molecule MIRA-1 induces in vitro and in vivo anti-myeloma activity and synergizes with current anti-myeloma agents.On Br J Cancer.On 2014 Apr 29 by Saha MN, Chen Y et al..PMID:24691427 , (2014),
PMID: 24691427
et al,Involvement of SET in the Wnt signaling pathway and the development of human colorectal cancer.In Oncol Lett.On 2014 Apr by LEI DONG, JIANJUN ZHU et al..PMID: 24944693 , (2014),
PMID: 24944693
et al,c-Myc protects hepatocellular carcinoma cell from ferroptosis induced by glutamine deprivation via upregulating GOT1 and Nrf2InMol Biol RepOn2023 AugbyYuxiang Zhao?1,?Yue Wang et al..PMID:?37358765 , (2023),
PMID: 37358765
et al,SNAILs promote G1 phase in selected cancer cells.In Int J Oncol on 2015 Nov by Ya-Lan Wu , Jian-Xin Xue et al ..PMID:26352801 , (2015),
PMID: 26352801
et al,RNF8 Mediates Histone H3 Ubiquitylation and Promotes Glycolysis and Tumorigenesis.In J Exp Med on 2017 Jun 5 by Yan Xia , Weiwei Yang,et al..PMID: 28507061 , (2017),
PMID: 28507061
et al,PKM2 Phosphorylates Histone H3 and Promotes Gene Transcription and Tumorigenesis. In Cell on 2012 Aug 17 by Weiwei Yang, Yan Xia, et al..PMID: 22901803 , (2012),
PMID: 22901803
et al,A thiazole-derived oridonIn analogue exhibits antitumor activity by directly and allosterically InhibitIng STAT3. In J Biol Chem on 2019 Nov 15;by Shen X, Zhao L,et al..PMID:31594861 , (2019),
PMID: 31594861
查看更多
et al,Eurycomalactone switched hepatocellular carcinoma cells into quiescence through 5'tRFAla/DVL/β-catenin pathway inhibition. , (2025),
PMID: 40128187

注释

应用

  • WB免疫印迹
  • IHC免疫组化
  • IF免疫荧光
  • ICC免疫细胞化学
  • FC流式细胞
  • IP免疫沉淀
  • E酶联免疫吸附法
  • DB免疫斑点法
  • ChIP染色质免疫沉淀
  • GICA胶体金免疫层析法
  • NC阴性对照

种属反应性

  • Hu
  • Ms小鼠
  • Rt大鼠
  • Dm果蝇
  • C线虫
  • Mk
  • Rb
  • B
  • D
  • P
  • Hm仓鼠
  • ChHm中国仓鼠
  • Chk
;

联系我们

Location :

南京市高新开发区星火路10号人才大厦C座

Phone :

400-9961-933
025-58868422

Email Address

info@sabbiotech.com