免费电话:400-9961-933
邮箱:info@sabbiotech.com
欢迎光临本站
川博智能体 English
位置: 首页 > 多克隆抗体 > COL1A2 Polyclonal Antibody

COL1A2 Polyclonal Antibody #40771

是否有货: 有货
产品详情

产品名称COL1A2 Polyclonal Antibody

来源种属Rabbit

克隆性Polyclonal

纯化The antibody was affinity-purified from rabbit antiserum by affinity-chromatography using epitope-specific immunogen.

应用WB IHC IF ELISA

种属反应性Human;Mouse;Rat

特异性COL1A2 Polyclonal Antibody detects endogenous levels of COL1A2 protein.

免疫原类型peptide

免疫原描述Synthesized peptide derived from the N-terminal region of human COL1A2.

基因/蛋白名称COL1A2

标记Unconjugated

别名COL1A2; Collagen alpha-2(I) chain; Alpha-2 type I collagen

数据库入口号Swiss-Prot: P08123
NCBI Gene ID: 1278

Uniprot P08123

实际分子量200kd

浓度1mg/ml

配方Liquid in PBS containing 50% glycerol, 0.5% BSA and 0.02% sodium azide.

保存Store at -20˚C/1 year

应用详情
Western Blot: 1:500-2000
Immunohistochemistry: 1/100 - 1/300
Immunofluorescence: 1/200 - 1/1000
ELISA: 1/10000
Western Blot analysis of 823 22RV1 293-UV cells using COL1A2 Polyclonal Antibody
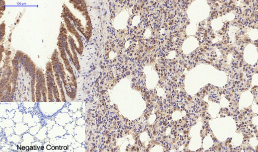
Immunohistochemical analysis of paraffin-embedded Rat-lung tissue;
1.COL1A2 Polyclonal Antibody was diluted at 1:200(4℃,overnight);
2.Sodium citrate pH 6.0 was used for antibody retrieval(>98℃,20min);
3.Secondary antibody was diluted at 1:200(room tempeRature, 30min). Negative control was used by secondary antibody only.
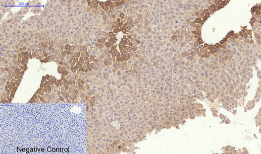
Immunohistochemical analysis of paraffin-embedded Mouse-liver tissue;
1.COL1A2 Polyclonal Antibody was diluted at 1:200(4℃,overnight);
2.Sodium citrate pH 6.0 was used for antibody retrieval(>98℃,20min);
3.Secondary antibody was diluted at 1:200(room tempeRature, 30min). Negative control was used by secondary antibody only.
Immunofluorescence analysis of rat-lung tissue;
1.COL1A2 Polyclonal Antibody(red) was diluted at 1:200(4℃,overnight);
2.Cy3 labled Secondary antibody was diluted at 1:300(room temperature, 50min);
3.Picture B: DAPI(blue) 10min. Picture A:Target. Picture B: DAPI. Picture C: merge of A+B.

如果您使用该产品40771发表了文章,请通知我们,让我们可以引用您的文献。

et al,Three-Dimensional Culture Promotes Secretion of Extracellular Matrix Structure Fat Flap with Lipoaspirates in Vitro. In Tissue Eng Part A on 2022 Nov by Jing Zhao, Xin Bi,et al..PMID: 36017621 , (2022),
PMID: 36017621

注释

应用

  • WB免疫印迹
  • IHC免疫组化
  • IF免疫荧光
  • ICC免疫细胞化学
  • FC流式细胞
  • IP免疫沉淀
  • E酶联免疫吸附法
  • DB免疫斑点法
  • ChIP染色质免疫沉淀
  • GICA胶体金免疫层析法
  • NC阴性对照

种属反应性

  • Hu
  • Ms小鼠
  • Rt大鼠
  • Dm果蝇
  • C线虫
  • Mk
  • Rb
  • B
  • D
  • P
  • Hm仓鼠
  • ChHm中国仓鼠
  • Chk
;

联系我们

Location :

南京市高新开发区星火路10号人才大厦C座

Phone :

400-9961-933
025-58868422

Email Address

info@sabbiotech.com