免费电话:400-9961-933
邮箱:info@sabbiotech.com
欢迎光临本站
川博智能体 English
位置: 首页 > 多克隆抗体 > Cyclin B1 Polyclonal Antibody

Cyclin B1 Polyclonal Antibody #40802

是否有货: 有货
产品详情

产品名称Cyclin B1 Polyclonal Antibody

来源种属Rabbit

克隆性Polyclonal

纯化The antibody was affinity-purified from rabbit antiserum by affinity-chromatography using epitope-specific immunogen.

应用WB IHC IF ELISA

种属反应性Human;Mouse;Rat

特异性Cyclin B1 Polyclonal Antibody detects endogenous levels of Cyclin B1 protein.

免疫原类型peptide

免疫原描述Synthesized peptide derived from human Cyclin B1 around the non-phosphorylation site of S126.

基因/蛋白名称Cyclin B1

标记Unconjugated

别名CCNB1; CCNB; G2/mitotic-specific cyclin-B1

数据库入口号Swiss-Prot: P14635
NCBI Gene ID: 891

Uniprot P14635

实际分子量60kd

浓度1mg/ml

配方Liquid in PBS containing 50% glycerol, 0.5% BSA and 0.02% sodium azide.

保存Store at -20˚C/1 year

应用详情
Western Blot: 1/500 - 1/2000.
Immunohistochemistry: 1/100 - 1/300.
Immunofluorescence: 1/200 - 1/1000.
ELISA: 1/20000.
Not yet tested in other applications.
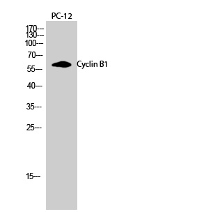
Western Blot analysis of PC-12 cells using Cyclin B1 Polyclonal Antibody
Western Blot analysis of various cells using Cyclin B1 Polyclonal Antibody

如果您使用该产品40802发表了文章,请通知我们,让我们可以引用您的文献。

et al,Sinularin induces oxidative stress鈥恗ediated G2/M arrest and apoptosis in oral cancer cells.In Environ Toxicol on 2017 Sep by Yung-Ting Chang , Chang-Yi Wu,et al..PMID:28548367 , (2017),
PMID: 28548367
et al,CD155 Cooperates with PD-1/PD-L1 to Promote Proliferation of Esophageal Squamous Cancer Cells via PI3K/Akt and MAPK Signaling Pathways. In Cancers (Basel) on 2022 Nov 15 by Xiyang Tan, Jie Yang, et al..PMID:36428703 , (2022),
PMID: 36428703

注释

应用

  • WB免疫印迹
  • IHC免疫组化
  • IF免疫荧光
  • ICC免疫细胞化学
  • FC流式细胞
  • IP免疫沉淀
  • E酶联免疫吸附法
  • DB免疫斑点法
  • ChIP染色质免疫沉淀
  • GICA胶体金免疫层析法
  • NC阴性对照

种属反应性

  • Hu
  • Ms小鼠
  • Rt大鼠
  • Dm果蝇
  • C线虫
  • Mk
  • Rb
  • B
  • D
  • P
  • Hm仓鼠
  • ChHm中国仓鼠
  • Chk
;

联系我们

Location :

南京市高新开发区星火路10号人才大厦C座

Phone :

400-9961-933
025-58868422

Email Address

info@sabbiotech.com