免费电话:400-9961-933
邮箱:info@sabbiotech.com
欢迎光临本站
川博智能体 English
位置: 首页 > 多克隆抗体 > ERK1/2 Polyclonal Antibody

ERK1/2 Polyclonal Antibody #40902

是否有货: 有货
产品详情

产品名称ERK1/2 Polyclonal Antibody

来源种属Rabbit

克隆性Polyclonal

纯化The antibody was affinity-purified from rabbit antiserum by affinity-chromatography using epitope-specific immunogen.

应用WB;IHC;IF;ELISA;CHIP

种属反应性Human;Mouse;Rat

特异性ERK 1/2 Polyclonal Antibody detects endogenous levels of ERK 1/2 protein.

免疫原类型peptide

免疫原描述Synthesized peptide derived from human ERK 1/2 around the non-phosphorylation site of Y204.

基因/蛋白名称ERK 1/2

标记Unconjugated

别名MAPK3; ERK1; PRKM3; Mitogen-activated protein kinase 3; MAP kinase 3; MAPK 3; ERT2; Extracellular signal-regulated kinase 1; ERK-1; Insulin-stimulated MAP2 kinase; MAP kinase isoform p44; p44-MAPK; Microtubule-associated protein 2 kinase; p

数据库入口号Swiss-Prot: P27361/P28482
NCBI Gene ID: 5595/5594

Uniprot P27361/P28482

计算分子量43, 41 kDa

实际分子量44, 42 kDa

浓度1mg/ml

配方Liquid in PBS containing 50% glycerol, 0.5% BSA and 0.02% sodium azide.

保存Store at -20˚C/1 year

应用详情
WB 1:500-1:5000; IHC 1:50-1:200; IF 1:50-1:200; ELISA 1:5000-1:20000; IP 1:25-1:200;
Western blot analysis of extracts from various cell lines using ERK1/2 Polyclonal Antibody.
Western blot analysis of extracts from HUVEC cells using ERK1/2 Polyclonal Antibody.
Western blot analysis of extracts from COLO205 cells using ERK1/2 Polyclonal Antibody.
Western blot analysis of extracts from K562 cells using ERK1/2 Polyclonal Antibody.
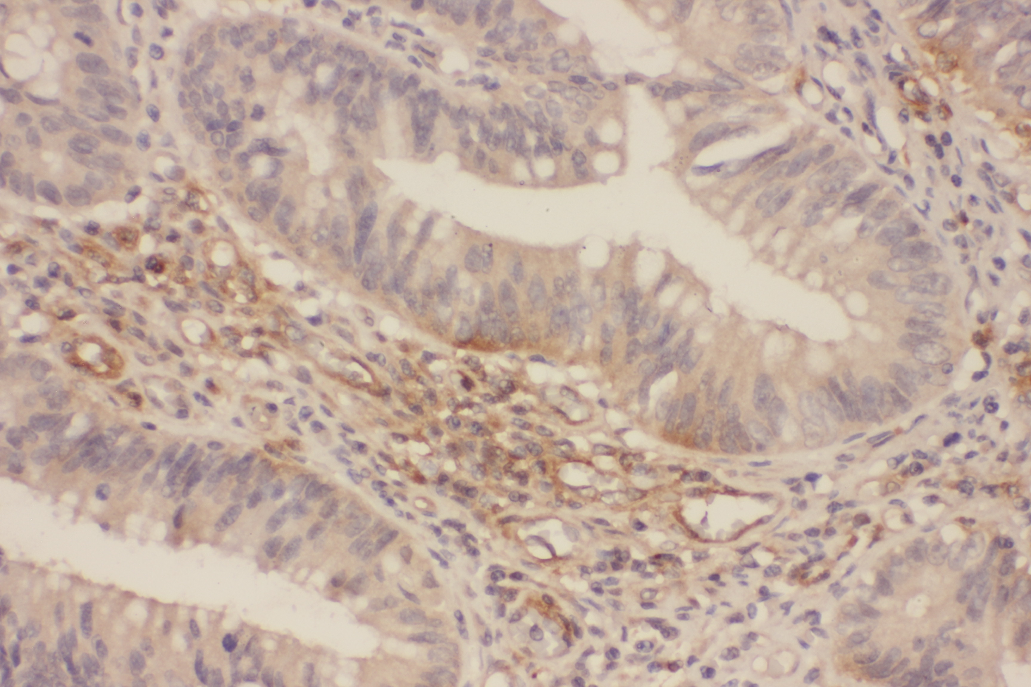
Immunohistochemical analysis of paraffin-embedded human Colorectal tissue using ERK1/2 Polyclonal Antibody.
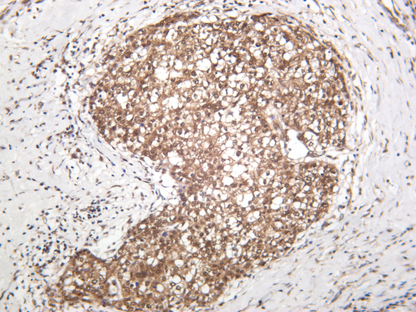
Immunohistochemical analysis of paraffin-embedded Human breast carcinoma tissue using ERK1/2 Polyclonal Antibody.
Immunohistochemical analysis of paraffin-embedded Mouse liver tissue using ERK1/2 Polyclonal Antibody.
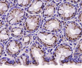
Immunohistochemical analysis of paraffin-embedded mouse large intestine tissue using ERK1/2 Polyclonal Antibody.
Immunofluorescence analysis of Mouse liver using ERK1/2 Polyclonal Antibody(green). Blue: DAPI for nuclear staining..
Immunofluorescence analysis of HEK293 cells using ERK1/2 Polyclonal Antibody(red). Picture A:Target. Picture B: DAPI. Picture C: merge of A+B.

如果您使用该产品40902发表了文章,请通知我们,让我们可以引用您的文献。

et al,Astragalus polysaccharides exerts anti-infective activity by inducing human cathelicidin antimicrobial peptide LL-37 in respiratory epithelial cells.In Phytother Res. On 2018 Aug by Zhao L, Tan S et al..PMID: 29672953 , (2018),
PMID: 29672953
et al,Crucial Roles of 5-HT and 5-HT2 Receptor in Diabetes-Related Lipid Accumulation and Pro-Inflammatory Cytokine Generation in Hepatocytes.In Cell Physiol Biochem.On 2018 Aug 17 by Fu J, Li C et al..PMID: 30121645 , (2018),
PMID: 30121645
et al,Biased G ProteIn-Independent SignalIng of DopamIne D1-D3 Receptor Heteromers In the Nucleus Accumbens. In Mol Neurobiol on 2019 Mar 27 by Guitart X, Moreno E et al.. PMID:30919214 , (2019),
PMID: 30919214
et al,Ajudecumin A from Ajuga ovalifolia var. calantha exhibits anti-inflammatory activity in lipopolysaccharide-activated RAW264.7 murine macrophages and animal models of acute inflammation.In Pharm Biol. On 2018 Dec by Zhang H, Ren QC et al..PMID: 31070535 , (2018),
PMID: 31070535
et al,HMGN2 regulates non-tuberculous mycobacteria survival via modulation of M1 macrophage polarization. In J Cell Mol Med on 2019 Dec by Wang X, Chen S, et al..PMID:31596045 , (2019),
PMID: 31596045
et al,Asperosaponin VI, a saponin component from Dipsacus asper wall, induces osteoblast differentiation through bone morphogenetic protein-2/p38 and extracellular signal-regulated kinase 1/2 pathway.In Phytother Res on 2011 Nov by Niu Y, Li Y,et al..PMID: 21452371 , (2011),
PMID: 21452371
et al,Salidroside pretreatment attenuates apoptosis and autophagy during hepatic ischemia鈥搑eperfusion injury by inhibiting the mitogen-activated protein kinase pathway in mice.In Drug Des Devel Ther on 2017 Jul 3 by Jiao Feng, Qinghui Zhang,et al..PMID: 28721018 , (2017),
PMID: 28721018
查看更多
et al,Ellagic Acid Inhibits RANKL-induced Osteoclast Differentiation by Suppressing the p38 MAP Kinase Pathway.In Arch Pharm Res on 2017 Jan by Mpho Rantlha , Travers Sagar,et al..PMID: 27384064 , (2017),
PMID: 27384064
et al, Overexpression of astrocyte-elevated gene-1 is associated with ovarian cancer development and progression.In Mol Med Rep on 2015 Apr by Bo Zhou , Jue Yang et al..PMID:25483832 , (2015),
PMID: 25483832
et al,Combinational treatment of curcumin and quercetin against gastric cancer MGC-803 cells in vitro Molecules on 2015 Jun 22 by Jian-Ye Zhang , Min-Ting Lin et al..PMID:26111180 , (2015),
PMID: 26111180
et al,An alternatively spliced variant of CXCR3 mediates the metastasis of CD133+ liver cancer cells induced by CXCL9.In Oncotarget on 2016 Mar 22 by Qiang Ding, Yujia Xia et al..PMID:26883105 , (2016),
PMID: 26883105
et al,Cannabinoid receptor agonist WIN55,212-2 and fatty acid amide hydrolase inhibitor URB597 suppress chronic cerebral hypoperfusion-induced neuronal apoptosis by inhibiting c-Jun N-terminal kinase signaling.In Neuroscience 2015 Aug 20 by S-H Su , Y-F Wu et al..PMID:25795598 , (2015),
PMID: 25795598
et al,Artemisinin Improved Neuronal Functions in Alzheimer's Disease Animal Model 3xtg Mice and Neuronal Cells via Stimulating the ERK/CREB Signaling Pathway. In Aging Dis on 2020 Jul 23 by Xia Zhao, Shuai Li,et al..PMID:32765947 , (2020),
PMID: 32765947
et al,Brevilin A Ameliorates Acute Lung Injury and Inflammation Through Inhibition of NF-κB Signaling via Targeting IKKα/β. In Front Pharmacol on 2022 Jun 14 by Lu Liu, Xian Chen,et al..PMID:35774606 , (2022),
PMID: 35774606
et al,The pivotal role of SUMO-1-JNK-Tau axis in an in vitro model of oxidative stress counteracted by the protective effect of curcumin. In Biochem Pharmacol on 2020 Aug by Lucia Buccarello, Jessica Dragotto, et al..PMID:32502496 , (2020),
PMID: 32502496
et al,Neurokinin B Exerts Direct Effects on the Ovary to Stimulate Estradiol Production.In Endocrinology.On 2016 Sep by Qi X, Salem M et al..PMID:27580802 , (2016),
PMID: 27580802
et al,FSTL1 as a Potential Mediator of Exercise-Induced Cardioprotection in Post-Myocardial Infarction Rats.In Sci Rep on 2016 Aug 26 by Yue Xi, Da-Wei Gong et al..PMID: 27561749 , (2016),
PMID: 27561749
et al,Bruceine D induces apoptosis in human chronic myeloid leukemia K562 cells via mitochondrial pathway.In Am J Cancer Res on 2016 Mar 15 by Jian-Ye Zhang, Min-Ting Lin et al..PMID: 27186433 , (2016),
PMID: 27186433
et al,CPU-12, a novel synthesized oxazolo [5, 4-d] pyrimidine derivative, showed superior anti-angiogenic activity.In J Pharmacol Sci on 2015 Sep by Jiping Liu , Ya-Hui Deng et al..PMID: 26154846 , (2015),
PMID: 26154846
et al,Genipin derivatives protect RGC-5 from sodium nitroprusside-induced nitrosative stress. In Int J Mol Sci on 2016 Jan 19 by Rikang Wang, Jiaqiang Zhao,et al..PMID:26797604 , (2016),
PMID: 26797604
et al,The nuclear import of oncoprotein hepatitis B X-interacting protein depends on interacting with c-Fos and phosphorylation of both proteins in breast cancer cells. In J Biol Chem on 2013 Jun 28 by Yingyi Zhang, Yu Zhao, et al..PMID: 23667255 , (2013),
PMID: 23667255
et al,MWCNTs induce ROS generation, ERK phosphorylation, and SOD-2 expression in human mesothelial cells.In Int J Toxicol on Jan-Feb 2016 by Min Yu, Riping Chen et al ..PMID: 26111538 , (2016),
PMID: 26111538
et al,Inhibition of TPL2 by interferon-α suppresses bladder cancer through activation of PDE4D.In J Exp Clin Cancer Res. On 2018 Nov 27 by Qiang Z, Zhou ZY et al..PMID: 30482227 , (2018),
PMID: 30482227
et al,Gingerenone A Attenuates Ulcerative Colitis via Targeting IL-17RA to Inhibit Inflammation and Restore Intestinal Barrier Function. In Adv Sci (Weinh) on 2024 Jul by Jian Liang, Weigang Dai,et al..PMID:38639442 , (2024),
PMID: 38639442
et al,Anti-Osteogenic Effect of Danshensu in Ankylosing Spondylitis: An in Vitro Study Based on Integrated Network Pharmacology , (2021),
PMID: 34899327
et al,Response of MAPK pathway to iron oxide nanoparticles in vitro treatment promotes osteogenic differentiation of hBMSCs.In Biomaterials.On 2016 Apr by Wang Q, Chen B et al..PMID:26874888 , (2016),
PMID: 26874888

注释

应用

  • WB免疫印迹
  • IHC免疫组化
  • IF免疫荧光
  • ICC免疫细胞化学
  • FC流式细胞
  • IP免疫沉淀
  • E酶联免疫吸附法
  • DB免疫斑点法
  • ChIP染色质免疫沉淀
  • GICA胶体金免疫层析法
  • NC阴性对照

种属反应性

  • Hu
  • Ms小鼠
  • Rt大鼠
  • Dm果蝇
  • C线虫
  • Mk
  • Rb
  • B
  • D
  • P
  • Hm仓鼠
  • ChHm中国仓鼠
  • Chk
;

联系我们

Location :

南京市高新开发区星火路10号人才大厦C座

Phone :

400-9961-933
025-58868422

Email Address

info@sabbiotech.com