免费电话:400-9961-933
邮箱:info@sabbiotech.com
欢迎光临本站
川博智能体 English
位置: 首页 > 多克隆抗体 > PI3 kinase p85α/γ Polyclonal Antibody

PI3 kinase p85α/γ Polyclonal Antibody #41340

是否有货: 有货
产品详情

产品名称PI3 kinase p85α/γ Polyclonal Antibody

来源种属Rabbit

克隆性Polyclonal

纯化The antibody was affinity-purified from rabbit antiserum by affinity-chromatography using epitope-specific immunogen.

应用WB IHC IF ELISA

种属反应性Human;Mouse;Rat;Monkey

特异性PI 3-kinase p85α/γ Polyclonal Antibody detects endogenous levels of PI 3-kinase p85α/γ protein.

免疫原类型peptide

免疫原描述Synthesized peptide derived from human PI 3-kinase p85/p55 around the non-phosphorylation site of Y458/199.

基因/蛋白名称PI 3-kinase p85α/γ

标记Unconjugated

别名PIK3R1; GRB1; Phosphatidylinositol 3-kinase regulatory subunit alpha; PI3-kinase regulatory subunit alpha; PI3K regulatory subunit alpha; PtdIns-3-kinase regulatory subunit alpha; Phosphatidylinositol 3-kinase 85 kDa regulatory subunit alph

数据库入口号Swiss-Prot: P27986/Q92569
NCBI Gene ID: 5295/8503

Uniprot P27986

计算分子量55kD,85kD

实际分子量55,85kDa

浓度1mg/ml

配方Liquid in PBS containing 50% glycerol, 0.5% BSA and 0.02% sodium azide.

保存Store at -20˚C/1 year

应用详情
Western Blot: 1/500 - 1/2000.
Immunohistochemistry: 1/100 - 1/300.
Immunofluorescence: 1/200 - 1/1000.
ELISA: 1/20000.
Not yet tested in other applications.
Western blot analysis of extracts from Jurkat and Hela cells using PI3 kinase p85α/γ Rabbit Polyclonal Antibody.
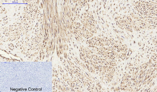
Immunohistochemical analysis of paraffin-embedded Human uterus tissue using PI3 kinase p85α/γ Rabbit Polyclonal Antibody.Negative control was used by secondary antibody only.
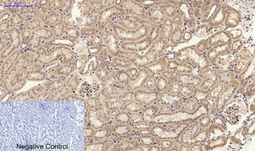
Immunohistochemical analysis of paraffin-embedded Rat kidney tissue using PI3 kinase p85α/γ Rabbit Polyclonal Antibody.Negative control was used by secondary antibody only.
Immunohistochemical analysis of paraffin-embedded Mouse lung tissue using PI3 kinase p85α/γ Rabbit Polyclonal Antibody.Negative control was used by secondary antibody only.
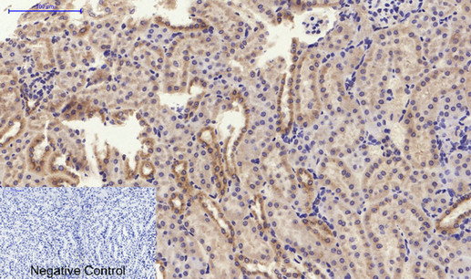
Immunohistochemical analysis of paraffin-embedded Mouse kidney tissue using PI3 kinase p85α/γ Rabbit Polyclonal Antibody.Negative control was used by secondary antibody only.
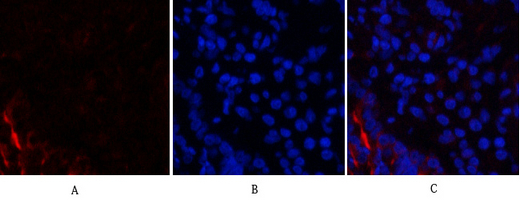
Immunofluorescence analysis of Human lung tissue using PI3 kinase p85α/γ Rabbit Polyclonal Antibody.Picture A:Target. Picture B: DAPI. Picture C: merge of A+B
Immunofluorescence analysis of Rat lung tissue using PI3 kinase p85α/γ Rabbit Polyclonal Antibody.Picture A:Target. Picture B: DAPI. Picture C: merge of A+B
Immunofluorescence analysis of HeLa cells using PI3 kinase p85α/γ Rabbit Polyclonal Antibody. The picture on the right is blocked with the synthesized peptide.

如果您使用该产品41340发表了文章,请通知我们,让我们可以引用您的文献。

et al,Identification of Cytochrome P450 2E1 as a Novel Target in Neuroinflammation and Development of Its Inhibitor Q11 as a Treatment Strategy. , (2025),
PMID: 40122152

注释

应用

  • WB免疫印迹
  • IHC免疫组化
  • IF免疫荧光
  • ICC免疫细胞化学
  • FC流式细胞
  • IP免疫沉淀
  • E酶联免疫吸附法
  • DB免疫斑点法
  • ChIP染色质免疫沉淀
  • GICA胶体金免疫层析法
  • NC阴性对照

种属反应性

  • Hu
  • Ms小鼠
  • Rt大鼠
  • Dm果蝇
  • C线虫
  • Mk
  • Rb
  • B
  • D
  • P
  • Hm仓鼠
  • ChHm中国仓鼠
  • Chk
;

联系我们

Location :

南京市高新开发区星火路10号人才大厦C座

Phone :

400-9961-933
025-58868422

Email Address

info@sabbiotech.com