免费电话:400-9961-933
邮箱:info@sabbiotech.com
欢迎光临本站
川博智能体 English
位置: 首页 > 多克隆抗体 > B-RAF Polyclonal Antibody

B-RAF Polyclonal Antibody #41385

是否有货: 有货
产品详情

产品名称B-RAF Polyclonal Antibody

来源种属Rabbit

克隆性Polyclonal

纯化The antibody was affinity-purified from rabbit antiserum by affinity-chromatography using epitope-specific immunogen.

应用WB;IHC;IF;ELISA

种属反应性Human;Mouse

特异性Raf-B Polyclonal Antibody detects endogenous levels of Raf-B protein.

免疫原类型peptide

免疫原描述Synthesized peptide derived from the Internal region of human Raf-B.

基因/蛋白名称Raf-B

标记Unconjugated

别名BRAF; BRAF1; RAFB1; Serine/threonine-protein kinase B-raf; Proto-oncogene B-Raf; p94; v-Raf murine sarcoma viral oncogene homolog B1

数据库入口号Swiss-Prot: P15056
NCBI Gene ID: 673

Uniprot P15056

计算分子量84kDa

实际分子量85kD

浓度1mg/ml

配方Liquid in PBS containing 50% glycerol, 0.5% BSA and 0.02% sodium azide.

保存Store at -20˚C/1 year

应用详情
Western Blot: 1/500 - 1/2000.
Immunohistochemistry: 1/100 - 1/300.
Immunofluorescence: 1/200 - 1/1000.
ELISA: 1/20000.
Not yet tested in other applications.
Western Blot analysis of extracts from HeLa cells using B-RAF Polyclonal Antibody.
Western Blot analysis of extracts from K562 and HT29 cells using B-RAF Polyclonal Antibody.
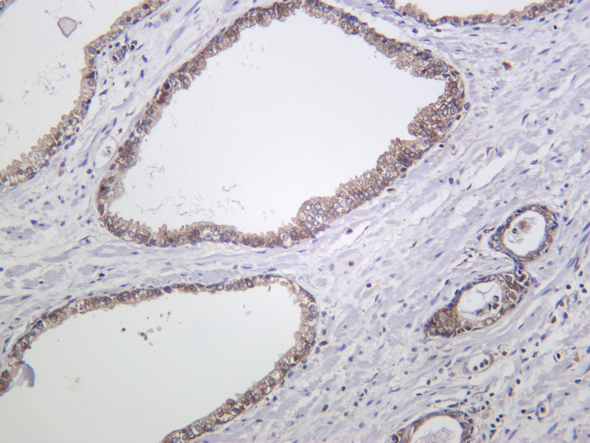
Immunohistochemistry of paraffin-embedded Human prostate using B-RAF Polyclonal Antibody.
Immunohistochemistry analysis of paraffin-embedded human breast carcinoma tissue using B-RAF Polyclonal Antibody.
Immunohistochemistry of paraffin-embedded Human liver cancer using B-RAF Polyclonal Antibody.
Immunofluorescence analysis of HEK293 cells using B-RAF Polyclonal Antibody (red).Picture A:Target. Picture B: DAPI (blue). Picture C: Merge of A+B
Immunofluorescence analysis of A431 cells using B-RAF Polyclonal Antibody .

如果您使用该产品41385发表了文章,请通知我们,让我们可以引用您的文献。

et al,JWA loss promotes cell migration and cytoskeletal rearrangement by affecting HER2 expression and identifies a high-risk subgroup of HER2-positive gastric carcinoma patients. In Oncotarget on 2016 Jun 14 by Jing Qian, Weiyou Zhu,et al..PMID:27167206 , (2016),
PMID: 27167206

注释

应用

  • WB免疫印迹
  • IHC免疫组化
  • IF免疫荧光
  • ICC免疫细胞化学
  • FC流式细胞
  • IP免疫沉淀
  • E酶联免疫吸附法
  • DB免疫斑点法
  • ChIP染色质免疫沉淀
  • GICA胶体金免疫层析法
  • NC阴性对照

种属反应性

  • Hu
  • Ms小鼠
  • Rt大鼠
  • Dm果蝇
  • C线虫
  • Mk
  • Rb
  • B
  • D
  • P
  • Hm仓鼠
  • ChHm中国仓鼠
  • Chk
;

联系我们

Location :

南京市高新开发区星火路10号人才大厦C座

Phone :

400-9961-933
025-58868422

Email Address

info@sabbiotech.com