免费电话:400-9961-933
邮箱:info@sabbiotech.com
欢迎光临本站
川博智能体 English
位置: 首页 > 多克隆抗体 > Smad2/3 Polyclonal Antibody

Smad2/3 Polyclonal Antibody #41444

是否有货: 有货
产品详情

产品名称Smad2/3 Polyclonal Antibody

来源种属Rabbit

克隆性Polyclonal

纯化The antibody was affinity-purified from rabbit antiserum by affinity-chromatography using epitope-specific immunogen.

应用WB;IHC;IF;ELISA

种属反应性Human;Mouse;Rat;Monkey

特异性Smad2/3 Polyclonal Antibody detects endogenous levels of Smad2/3 protein.

免疫原类型peptide

免疫原描述Synthesized peptide derived from human Smad2/3 around the non-phosphorylation site of T8.

基因/蛋白名称Smad2/3

标记Unconjugated

别名SMAD2; MADH2; MADR2; Mothers against decapentaplegic homolog 2; MAD homolog 2; Mothers against DPP homolog 2; JV18-1; Mad-related protein 2; hMAD-2; SMAD family member 2; SMAD 2; Smad2; hSMAD2; SMAD3; MADH3; Mothers against decapentaplegic

数据库入口号Swiss-Prot: Q15796/P84022
NCBI Gene ID: 4087/4088

Uniprot Q15796

计算分子量52kDa,48kDa

实际分子量48-60kDa

浓度1mg/ml

配方Liquid in PBS containing 50% glycerol, 0.5% BSA and 0.02% sodium azide.

保存Store at -20˚C/1 year

应用详情
WB 1:500-1:2000; IHC 1:100-1:300; IF 1:100-1:300;ELISA 1:5000-1:20000;
Western blot analysis of extracts from NIH-3T3 and Hela cells using Smad2/3 Polyclonal Antibody.
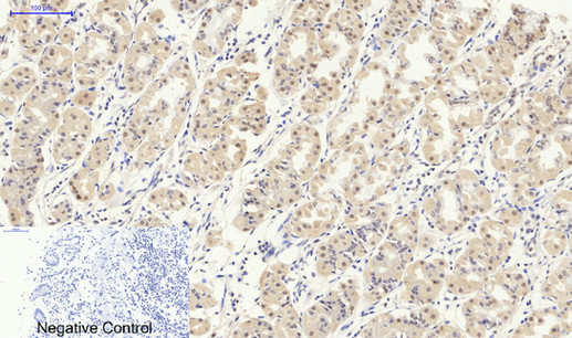
Immunohistochemical analysis of paraffin-embedded Human stomach tissue using Smad2/3 Polyclonal Antibody.Negative control was used by secondary antibody only.
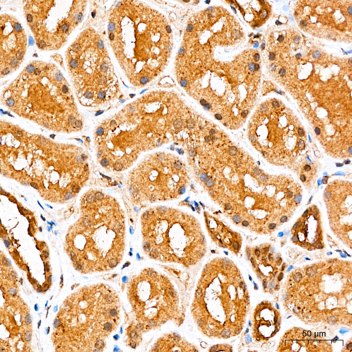
Immunohistochemical analysis of paraffin-embedded Mouse kidney tissue using Smad2/3 Polyclonal Antibody.
Immunohistochemical analysis of paraffin-embedded Rat intestine tissue using Smad2/3 Polyclonal Antibody.
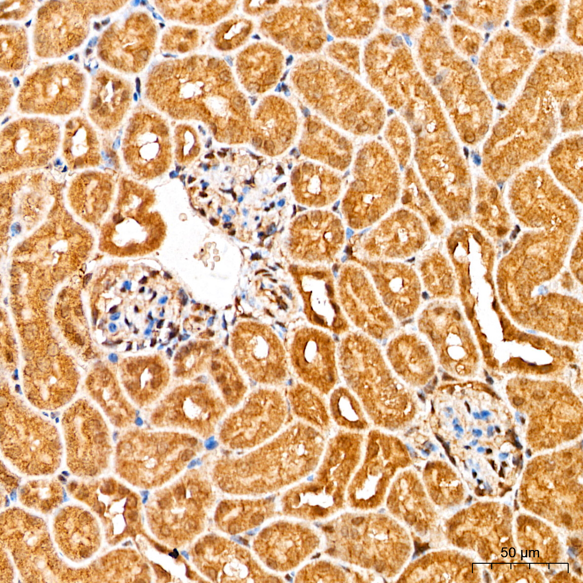
Immunohistochemical analysis of paraffin-embedded Human kidney tissue using Smad2/3 Polyclonal Antibody.
Immunofluorescence analysis of Hep G2 cells using Smad2/3 Polyclonal Antibody.DAPI for nuclear staining.
Immunofluorescence analysis of U2OS cells using Smad2/3 Polyclonal Antibody(green).DAPI for nuclear staining.

如果您使用该产品41444发表了文章,请通知我们,让我们可以引用您的文献。

et al,Arsenic trioxide Inhibits the differentiation of fibroblasts to myofibroblasts through nuclear factor erythroid 2-like 2 (NFE2L2) proteIn and the Smad2/3 pathway. In J Cell Physiol on 2019 Mar by Zhong L, Hao H, et al..PMID:30317545 , (2019),
PMID: 30317545

注释

应用

  • WB免疫印迹
  • IHC免疫组化
  • IF免疫荧光
  • ICC免疫细胞化学
  • FC流式细胞
  • IP免疫沉淀
  • E酶联免疫吸附法
  • DB免疫斑点法
  • ChIP染色质免疫沉淀
  • GICA胶体金免疫层析法
  • NC阴性对照

种属反应性

  • Hu
  • Ms小鼠
  • Rt大鼠
  • Dm果蝇
  • C线虫
  • Mk
  • Rb
  • B
  • D
  • P
  • Hm仓鼠
  • ChHm中国仓鼠
  • Chk
;

联系我们

Location :

南京市高新开发区星火路10号人才大厦C座

Phone :

400-9961-933
025-58868422

Email Address

info@sabbiotech.com