免费电话:400-9961-933
邮箱:info@sabbiotech.com
欢迎光临本站
川博智能体 English
位置: 首页 > 多克隆抗体 > TGFβ3 Polyclonal Antibody

TGFβ3 Polyclonal Antibody #41496

是否有货: 有货
产品详情

产品名称TGFβ3 Polyclonal Antibody

来源种属Rabbit

克隆性Polyclonal

纯化The antibody was affinity-purified from rabbit antiserum by affinity-chromatography using epitope-specific immunogen.

应用WB IHC ELISA IF

种属反应性Human;Mouse;Rat;Monkey

特异性TGFβ3 Polyclonal Antibody detects endogenous levels of TGFβ3 protein.

免疫原描述Synthesized peptide derived from the Internal region of human TGFβ3.

基因/蛋白名称TGFβ3

标记Unconjugated

别名TGFB3; Transforming growth factor beta-3; TGF-beta-3

数据库入口号Swiss-Prot: P10600
NCBI Gene ID: 7043

Uniprot P10600

实际分子量13kd

浓度1mg/ml

配方Liquid in PBS containing 50% glycerol, 0.5% BSA and 0.02% sodium azide.

保存Store at -20˚C/1 year

应用详情

Western Blot: 1/500 - 1/2000.
Immunohistochemistry: 1/100 - 1/300.
ELISA: 1/10000.
Not yet tested in other applications.
IF 1:50-200

Western Blot analysis of COS7 cells using TGFβ3 Polyclonal Antibody
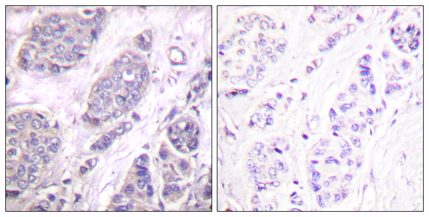
Immunohistochemistry analysis of paraffin-embedded human breast carcinoma tissue, using TGF beta3 Antibody. The picture on the right is blocked with the synthesized peptide.

如果您使用该产品41496发表了文章,请通知我们,让我们可以引用您的文献。

et al,A Dermal Equivalent Engineered with TGF鈥愶拷? Expressing Bone Marrow Stromal Cells and Amniotic Membrane: Cosmetic Healing of Full鈥怲hickness Skin Wounds in Rats. In Oncotarget on 2016 Feb 2 by Pei Chen, Na Yu, et al..PMID:26756218 , (2016),
PMID: 26756218

注释

应用

  • WB免疫印迹
  • IHC免疫组化
  • IF免疫荧光
  • ICC免疫细胞化学
  • FC流式细胞
  • IP免疫沉淀
  • E酶联免疫吸附法
  • DB免疫斑点法
  • ChIP染色质免疫沉淀
  • GICA胶体金免疫层析法
  • NC阴性对照

种属反应性

  • Hu
  • Ms小鼠
  • Rt大鼠
  • Dm果蝇
  • C线虫
  • Mk
  • Rb
  • B
  • D
  • P
  • Hm仓鼠
  • ChHm中国仓鼠
  • Chk
;

联系我们

Location :

南京市高新开发区星火路10号人才大厦C座

Phone :

400-9961-933
025-58868422

Email Address

info@sabbiotech.com