免费电话:400-9961-933
邮箱:info@sabbiotech.com
欢迎光临本站
川博智能体 English
位置: 首页 > 多克隆抗体 > Cytokeratin 14 Polyclonal Antibody

Cytokeratin 14 Polyclonal Antibody #41582

是否有货: 有货
产品详情

产品名称Cytokeratin 14 Polyclonal Antibody

来源种属Rabbit

克隆性Polyclonal

纯化The antibody was affinity-purified from rabbit antiserum by affinity-chromatography using epitope-specific immunogen.

应用WB ELISA IHC,IF

种属反应性Human;Mouse;Rat

特异性Cytokeratin 14 Polyclonal Antibody detects endogenous levels of Cytokeratin 14 protein.

免疫原描述Synthesized peptide derived from the C-terminal region of human Cytokeratin 14.

基因/蛋白名称Cytokeratin 14

标记Unconjugated

别名KRT14; Keratin, type I cytoskeletal 14; Cytokeratin-14; CK-14; Keratin-14; K14

数据库入口号Swiss-Prot: P02533
NCBI Gene ID: 3861

Uniprot P02533

实际分子量53kd

浓度1mg/ml

配方Liquid in PBS containing 50% glycerol, 0.5% BSA and 0.02% sodium azide.

保存Store at -20˚C/1 year

应用详情

Western Blot: 1/500 - 1/2000.

IHC: 1:100-300
ELISA: 1/20000.
Not yet tested in other applications.

Western Blot analysis of MCF7 cells using Cytokeratin 14 Polyclonal Antibody
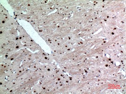
Immunohistochemical analysis of paraffin-embedded rat-brain, antibody was diluted at 1:100

如果您使用该产品41582发表了文章,请通知我们,让我们可以引用您的文献。

et al,Synaptopodin-2 promotes hepatocellular carcinoma metastasis via calcineurin-induced nuclear-cytoplasmic translocation.In Cancer Lett on 2020 Jul 10 by Gao J, Zhang HP, et al..PMID:32278815 , (2020),
PMID: 32278815

注释

应用

  • WB免疫印迹
  • IHC免疫组化
  • IF免疫荧光
  • ICC免疫细胞化学
  • FC流式细胞
  • IP免疫沉淀
  • E酶联免疫吸附法
  • DB免疫斑点法
  • ChIP染色质免疫沉淀
  • GICA胶体金免疫层析法
  • NC阴性对照

种属反应性

  • Hu
  • Ms小鼠
  • Rt大鼠
  • Dm果蝇
  • C线虫
  • Mk
  • Rb
  • B
  • D
  • P
  • Hm仓鼠
  • ChHm中国仓鼠
  • Chk
;

联系我们

Location :

南京市高新开发区星火路10号人才大厦C座

Phone :

400-9961-933
025-58868422

Email Address

info@sabbiotech.com