免费电话:400-9961-933
邮箱:info@sabbiotech.com
欢迎光临本站
川博智能体 English
位置: 首页 > 多克隆抗体 > Caspase-3 Polyclonal Antibody

Caspase-3 Polyclonal Antibody #41613

是否有货: 有货
产品详情

产品名称Caspase-3 Polyclonal Antibody

来源种属Rabbit

克隆性Polyclonal

纯化The antibody was affinity-purified from rabbit antiserum by affinity-chromatography using epitope-specific immunogen.

应用WB;ELISA;IHC;IF

种属反应性Human;Mouse;Rat

特异性Caspase-3 Polyclonal Antibody detects endogenous levels of Caspase-3 protein.

免疫原描述Synthesized peptide derived from the Internal region of human Caspase-3.

基因/蛋白名称Caspase-3

标记Unconjugated

别名CASP3; CPP32; Caspase-3; CASP-3; Apopain; Cysteine protease CPP32; CPP-32; Protein Yama; SREBP cleavage activity 1; SCA-1

数据库入口号Swiss-Prot: P42574
NCBI Gene ID: 836

Uniprot P42574

计算分子量32 kDa

实际分子量35 kDa

浓度1mg/ml

配方Liquid in PBS containing 50% glycerol, 0.5% BSA and 0.02% sodium azide.

保存Store at -20˚C/1 year

应用详情

Western Blot: 1/500 - 1/2000.
IHC-p: 1:100-300
IF 1:100-300
ELISA: 1/20000.
Not yet tested in other applications.

Western blot analysis of extracts from Mouse lung using Caspase-3 Polyclonal Antibody.
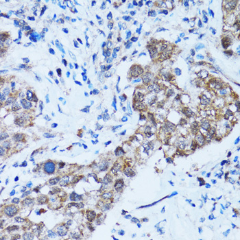
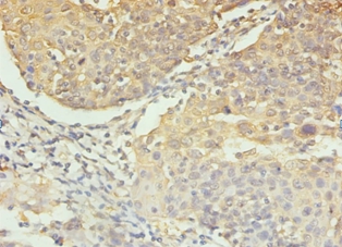
Immunohistochemical analysis of paraffin-embedded human colon cancer using Caspase-3 Polyclonal Antibody.
Immunohistochemical analysis of paraffin-embedded human lung cancer using Caspase-3 Polyclonal Antibody.
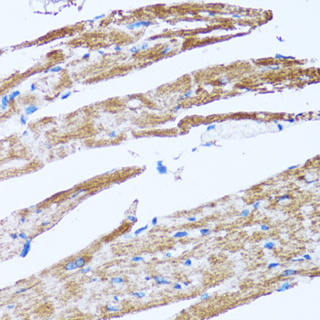
Immunohistochemical analysis of paraffin-embedded rat heart using Caspase-3 Polyclonal Antibody.
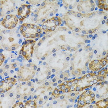
Immunohistochemical analysis of paraffin-embedded mouse kidney using Caspase-3 Polyclonal Antibody.
Immunofluorescence staining of methanol-fixed A549 cells using Caspase-3 Polyclonal Antibody.
Immunofluorescence staining of methanol-fixed C6 cells using Caspase-3 Polyclonal Antibody.
Immunofluorescence staining of methanol-fixed NIH/3T3 cells using Caspase-3 Polyclonal Antibody.
Immunofluorescence staining of methanol-fixed HeLa cells using Caspase-3 Polyclonal Antibody.

如果您使用该产品41613发表了文章,请通知我们,让我们可以引用您的文献。

et al,Melatonin ameliorates Aβ1 42 induced Alzheimer's cognitive deficits in mouse model.In J Pharm Pharmacol.On 2018 Jan by Gong YH, Hua N et al..PMID: 28994117 , (2018),
PMID: 28994117
et al,Quercetin induces apoptosis via the mitochondrial pathway in KB and KBv200 cells.In J Agric Food Chem on 2013 Mar 6 by Zhang JY, Yi T,et al..PMID:23410218 , (2013),
PMID: 23410218
et al,Targeting p53 via JNK pathway: a novel role of RITA for apoptotic signaling in multiple myeloma. In PLoS One on 2012 by Manujendra N Saha, Hua Jiang, et al..PMID: 22276160 , (2012),
PMID: 22276160
et al,Apoptosis sensitization by Euphorbia factor L1 in ABCB1-mediated multidrug resistant K562/ADR cells. In Molecules on 2013 Oct 16 by Tao Yi, Yi-Na Tang, et al..PMID: 24135937 , (2013),
PMID: 24135937
et al,Apicidin Inhibited Proliferation and Invasion and Induced Apoptosis via Mitochondrial Pathway in Non-small Cell Lung Cancer GLC-82 Cells.Anticancer Agents Med Chem on 2017 by Jianye Zhang , Zhenzhu Lai,et al..PMID: 28425856 , (2017),
PMID: 28425856
et al,Combined Bortezomib-Based Chemotherapy and p53 Gene Therapy Using Hollow Mesoporous Silica Nanospheres for p53 Mutant Non-Small Cell Lung Cancer Treatment.In Biomater Sci on 2016 Dec 20 by Chun Li , Junqing Hu,et al..PMID: 27822577 , (2017),
PMID: 27822577
et al,The use of hollow mesoporous silica nanospheres to encapsulate bortezomib and improve efficacy for non-small cell lung cancer therapy.In Biomaterials.On 2014 Jan by Shen J, Song G et al..PMID:24125776 , (2014),
PMID: 24125776
查看更多
et al,Suppression of chronic lymphocytic leukemia progression by CXCR4 inhibitor WZ811.In Am J Transl Res. On 2016 Sep 15 by SH Li, WC Dong et al..PMID:27725861 , (2016),
PMID: 27725861
et al,miR-137 and miR-197 induce apoptosis and suppress tumorigenicity by targeting MCL-1 in multiple myeloma.In Clin Cancer Res on 2015 May 15 by Yijun Yang , Fei Li et al..PMID:25724519 , (2015),
PMID: 25724519
et al,D5 receptor agonist 027075 promotes cognitive function recovery and neurogenesis in a A尾1-42-induced mouse model.In Neuropharmacology on 2016 Jun by Ling Shen , Ming Yan et al..PMID: 26773200 , (2016),
PMID: 26773200
et al,Harmine Hydrochloride Triggers G2 Phase Arrest and Apoptosis in MGC锟?03 Cells and SMMC锟?721 Cells by Upregulating p21, Activating Caspase锟?/Bid, and Downregulating ERK/Bad Pathway.In Phytother Res on 2016 Jan by Peng Zhang , Chun-Rong Huang et al..PMID: 26549417 , (2016),
PMID: 26549417
et al,Xinyin tablets affect mitophagy and cardiomyocyte apoptosis to alleviate chronic heart failure by regulating histone deacetylase 3(HDAC3)-mediated PTEN induced putative kinase 1(PINK1)/Parkin signaling pathway. , (2025),
PMID: 40122315
et al,Bruceine D induces apoptosis in human chronic myeloid leukemia K562 cells via mitochondrial pathway.In Am J Cancer Res on 2016 Mar 15 by Jian-Ye Zhang, Min-Ting Lin et al..PMID: 27186433 , (2016),
PMID: 27186433
et al,The midregion, nuclear localization sequence, and C terminus of PTHrP regulate skeletal development, hematopoiesis, and survival in mice.In FASEB J on 2010 Jun by Toribio RE, Brown HA,et al..PMID:20145205 , (2010),
PMID: 20145205
et al,Baicalin induces cellular senescence in human colon cancer cells via upregulation of DEPP and the activation of Ras/Raf/MEK/ERK signaling.Incell Death Dis. On 2018 Feb 13 by Wang Z, Ma L et al..PMID:29440765 , (2018),
PMID: 29440765
et al,Pyk2/MCU Pathway as a New Target for Reversing Atherosclerosis. In Front Cell Dev Biol on 2021 May 6 by Yingzhen Zhang, Xiaoli Yang,et al..PMID:34026753 , (2021),
PMID: 34026753
et al,Danggui Buxue Decoction in the Treatment of Metastatic Colon Cancer: Network Pharmacology Analysis and Experimental Validation. In Drug Des Devel Ther on 2021 Feb 24 by Shi-Han Feng, Bin Zhao,et al..PMID:33658761 , (2021),
PMID: 33658761
et al,Amlexanox Enhances Temozolomide-Induced Antitumor Effects in Human Glioblastoma Cells by Inhibiting IKBKE and the Akt-mTOR Signaling Pathway. In ACS Omega on 2021 Feb 5 by Jinbiao Xiong, Gaochao Guo, et al..PMID:33644550 , (2020),
PMID: 33644550

注释

应用

  • WB免疫印迹
  • IHC免疫组化
  • IF免疫荧光
  • ICC免疫细胞化学
  • FC流式细胞
  • IP免疫沉淀
  • E酶联免疫吸附法
  • DB免疫斑点法
  • ChIP染色质免疫沉淀
  • GICA胶体金免疫层析法
  • NC阴性对照

种属反应性

  • Hu
  • Ms小鼠
  • Rt大鼠
  • Dm果蝇
  • C线虫
  • Mk
  • Rb
  • B
  • D
  • P
  • Hm仓鼠
  • ChHm中国仓鼠
  • Chk
;

联系我们

Location :

南京市高新开发区星火路10号人才大厦C座

Phone :

400-9961-933
025-58868422

Email Address

info@sabbiotech.com