免费电话:400-9961-933
邮箱:info@sabbiotech.com
欢迎光临本站
川博智能体 English
位置: 首页 > 多克隆抗体 > gp91-phox Polyclonal Antibody

gp91-phox Polyclonal Antibody #41769

是否有货: 有货
产品详情

产品名称gp91-phox Polyclonal Antibody

来源种属Rabbit

克隆性Polyclonal

纯化The antibody was affinity-purified from rabbit antiserum by affinity-chromatography using epitope-specific immunogen.

应用WB ELISA IHC,IF

种属反应性Human;Mouse;Rat

特异性gp91-phox Polyclonal Antibody detects endogenous levels of gp91-phox protein.

免疫原描述Synthesized peptide derived from the Internal region of human gp91-phox.

基因/蛋白名称gp91-phox

标记Unconjugated

别名CYBB; NOX2; Cytochrome b-245 heavy chain; CGD91-phox; Cytochrome b(558) subunit beta; Cytochrome b558 subunit beta; Heme-binding membrane glycoprotein gp91phox; NADPH oxidase 2

数据库入口号Swiss-Prot: P04839
NCBI Gene ID: 1536

Uniprot P04839

实际分子量70kd

浓度1mg/ml

配方Liquid in PBS containing 50% glycerol, 0.5% BSA and 0.02% sodium azide.

保存Store at -20˚C/1 year

应用详情

Western Blot: 1/500 - 1/2000.
ELISA: 1/20000.

IHC: 1/100-1/300
Not yet tested in other applications.

Western Blot analysis of K562 cells using gp91-phox Polyclonal Antibody.
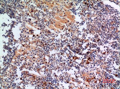
Immunohistochemical analysis of paraffin-embedded human-lymph-gland, antibody was diluted at 1:100

如果您使用该产品41769发表了文章,请通知我们,让我们可以引用您的文献。

et al,Blockage of NOX2/MAPK/NF- 魏 B Pathway Protects Photoreceptors Against Glucose Deprivation-Induced Cell Death.In Oxid Med Cell Longev 2017 sep 11 by Bin Fan, Bei-Fen Wang,et al..PMID: 29085555 , (2017),
PMID: 29085555

注释

应用

  • WB免疫印迹
  • IHC免疫组化
  • IF免疫荧光
  • ICC免疫细胞化学
  • FC流式细胞
  • IP免疫沉淀
  • E酶联免疫吸附法
  • DB免疫斑点法
  • ChIP染色质免疫沉淀
  • GICA胶体金免疫层析法
  • NC阴性对照

种属反应性

  • Hu
  • Ms小鼠
  • Rt大鼠
  • Dm果蝇
  • C线虫
  • Mk
  • Rb
  • B
  • D
  • P
  • Hm仓鼠
  • ChHm中国仓鼠
  • Chk
;

联系我们

Location :

南京市高新开发区星火路10号人才大厦C座

Phone :

400-9961-933
025-58868422

Email Address

info@sabbiotech.com