免费电话:400-9961-933
邮箱:info@sabbiotech.com
欢迎光临本站
川博智能体 English
位置: 首页 > 多克隆抗体 > IGFBP3 Polyclonal Antibody

IGFBP3 Polyclonal Antibody #41888

是否有货: 有货
产品详情

产品名称IGFBP3 Polyclonal Antibody

来源种属Rabbit

克隆性Polyclonal

纯化The antibody was affinity-purified from rabbit antiserum by affinity-chromatography using epitope-specific immunogen.

应用WB ELISA IHC IF

种属反应性Human;Mouse;Rat

特异性IGFBP3 Polyclonal Antibody detects endogenous levels of IGFBP3 protein.

免疫原描述Synthesized peptide derived from the Internal region of human IGFBP3.

基因/蛋白名称IGFBP3

标记Unconjugated

别名IGFBP3; IBP3; Insulin-like growth factor-binding protein 3; IBP-3; IGF-binding protein 3; IGFBP-3

数据库入口号Swiss-Prot: P17936
NCBI Gene ID: 3486

Uniprot P17936

实际分子量30kd

浓度1mg/ml

配方Liquid in PBS containing 50% glycerol, 0.5% BSA and 0.02% sodium azide.

保存Store at -20˚C/1 year

应用详情

Western Blot: 1/500 - 1/2000.
ELISA: 1/20000.
IHC-p 1:100-500;
IF ICC 1:100-500
Not yet tested in other applications.

Western Blot analysis of HeLa HepG2 cells using IGFBP3 Polyclonal Antibody
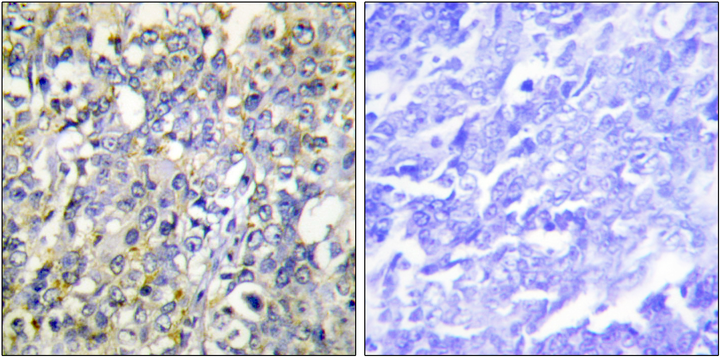
Immunohistochemistry analysis of paraffin-embedded human lung carcinoma tissue, using IGFBP-3 Antibody. The picture on the right is blocked with the synthesized peptide.

如果您使用该产品41888发表了文章,请通知我们,让我们可以引用您的文献。

et al,Androgen receptor-induced molecules and androgen contribute synergistically to male-predominance of hepatocellular carcinoma. In iScience on 2024 Jul 15 by Jiayi Zhao, Letian Fang,et al..PMID:39156638 , (2024),
PMID: 39156638

注释

应用

  • WB免疫印迹
  • IHC免疫组化
  • IF免疫荧光
  • ICC免疫细胞化学
  • FC流式细胞
  • IP免疫沉淀
  • E酶联免疫吸附法
  • DB免疫斑点法
  • ChIP染色质免疫沉淀
  • GICA胶体金免疫层析法
  • NC阴性对照

种属反应性

  • Hu
  • Ms小鼠
  • Rt大鼠
  • Dm果蝇
  • C线虫
  • Mk
  • Rb
  • B
  • D
  • P
  • Hm仓鼠
  • ChHm中国仓鼠
  • Chk
;

联系我们

Location :

南京市高新开发区星火路10号人才大厦C座

Phone :

400-9961-933
025-58868422

Email Address

info@sabbiotech.com