免费电话:400-9961-933
邮箱:info@sabbiotech.com
欢迎光临本站
川博智能体 English
位置: 首页 > 鼠单克隆抗体 > TFF3 Monoclonal Antibody

TFF3 Monoclonal Antibody #42028

是否有货: Yes
产品详情

产品名称TFF3 Monoclonal Antibody

来源种属Mouse

克隆性Monoclonal

纯化protein G purifed

应用IHC

种属反应性Human

特异性specific for TFF3 native and denatured forms

免疫原类型protein

免疫原描述Recombinant Human Trefoil factor 3

基因/蛋白名称TFF3

标记Unconjugated

别名Intestinal trefoil factor, hITF, Polypeptide P1.B, hP1.B, TFF3, ITF, TFI

数据库入口号Swiss-Prot#: Q07654

Uniprot Q07654

浓度1.0mg/mL

配方Preservative: 0.03% Proclin 300 Constituents: 50% Glycerol, 0.01M PBS, PH 7.4

保存Store at -20˚C

应用详情

Immunohistochemistry: 1:20 - 1:200
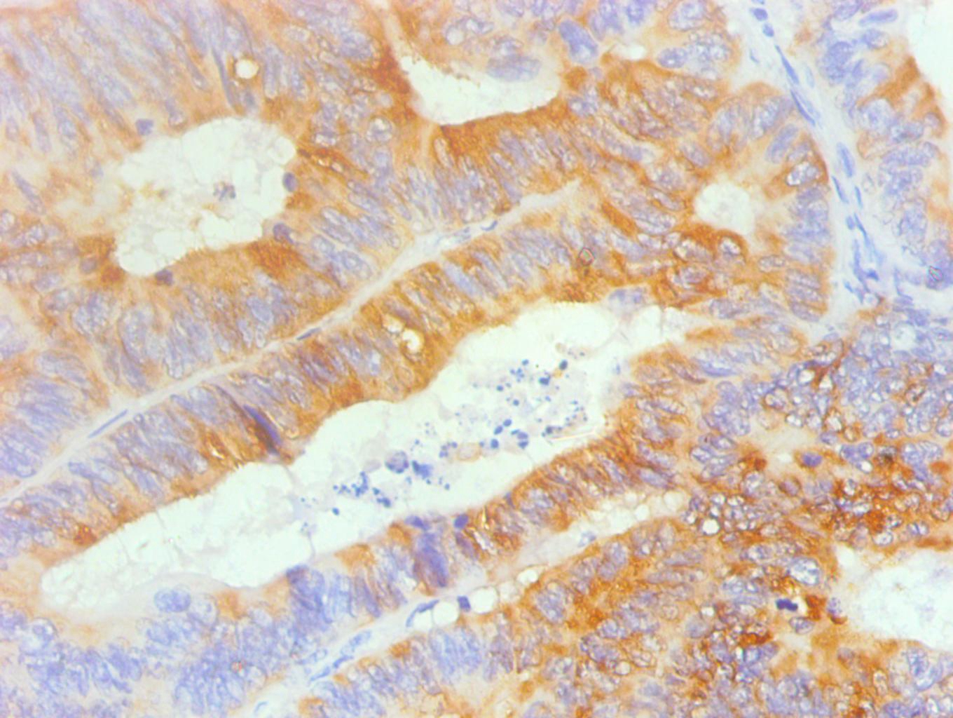
Immunohistochemical analysis of paraffin-embedded human colon cancer using #42028 at dilution of 1:200.
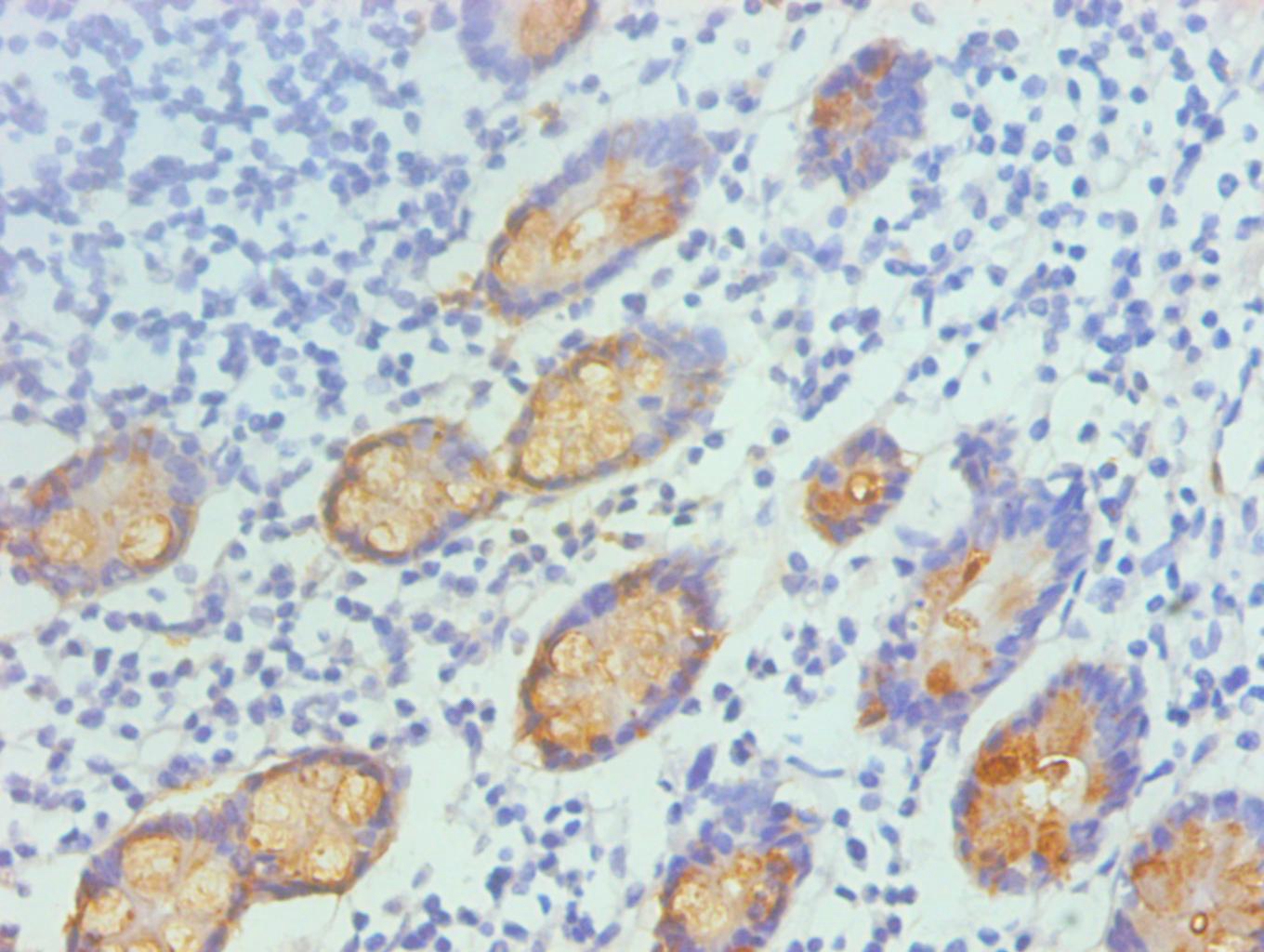
Immunohistochemical analysis of paraffin-embedded human small intestine using #42028 at dilution of 1:200.
Involved in the maintenance and repair of the intestinal mucosa. Promotes the mobility of epithelial cells in healing processes (motogen).

如果您使用该产品42028发表了文章,请通知我们,让我们可以引用您的文献。

et al,Evaluating the role of IER3+ macrophages in the prognosis of liver fibrosis by bulk and single-cell transcriptional analyses , (2024),
PMID:

注释

应用

  • WB免疫印迹
  • IHC免疫组化
  • IF免疫荧光
  • ICC免疫细胞化学
  • FC流式细胞
  • IP免疫沉淀
  • E酶联免疫吸附法
  • DB免疫斑点法
  • ChIP染色质免疫沉淀
  • GICA胶体金免疫层析法
  • NC阴性对照

种属反应性

  • Hu
  • Ms小鼠
  • Rt大鼠
  • Dm果蝇
  • C线虫
  • Mk
  • Rb
  • B
  • D
  • P
  • Hm仓鼠
  • ChHm中国仓鼠
  • Chk
;

联系我们

Location :

南京市高新开发区星火路10号人才大厦C座

Phone :

400-9961-933
025-58868422

Email Address

info@sabbiotech.com