免费电话:400-9961-933
邮箱:info@sabbiotech.com
欢迎光临本站
川博智能体 English
位置: 首页 > 鼠单克隆抗体 > IL6 Monoclonal Antibody

IL6 Monoclonal Antibody #42035

是否有货: Yes
产品详情

产品名称IL6 Monoclonal Antibody

来源种属Mouse

克隆性Monoclonal

纯化protein G purifed

应用IHC

种属反应性Human

特异性specific for human Interleukin-6 denatured and native forms

免疫原类型protein

免疫原描述Recombinant Human Interleukin-6

基因/蛋白名称IL6

标记Unconjugated

别名B-cell stimulatory factor 2, BSF-2, CTL differentiation factor, CDF, Hybridoma growth factor, Interferon beta-2, IFN-beta-2

数据库入口号Swiss-Prot#: P05231

Uniprot P05231

计算分子量

浓度1.0mg/mL

配方Preservative: 0.03% Proclin 300 Constituents: 50% Glycerol, 0.01M PBS, PH 7.4

保存Store at -20˚C

应用详情

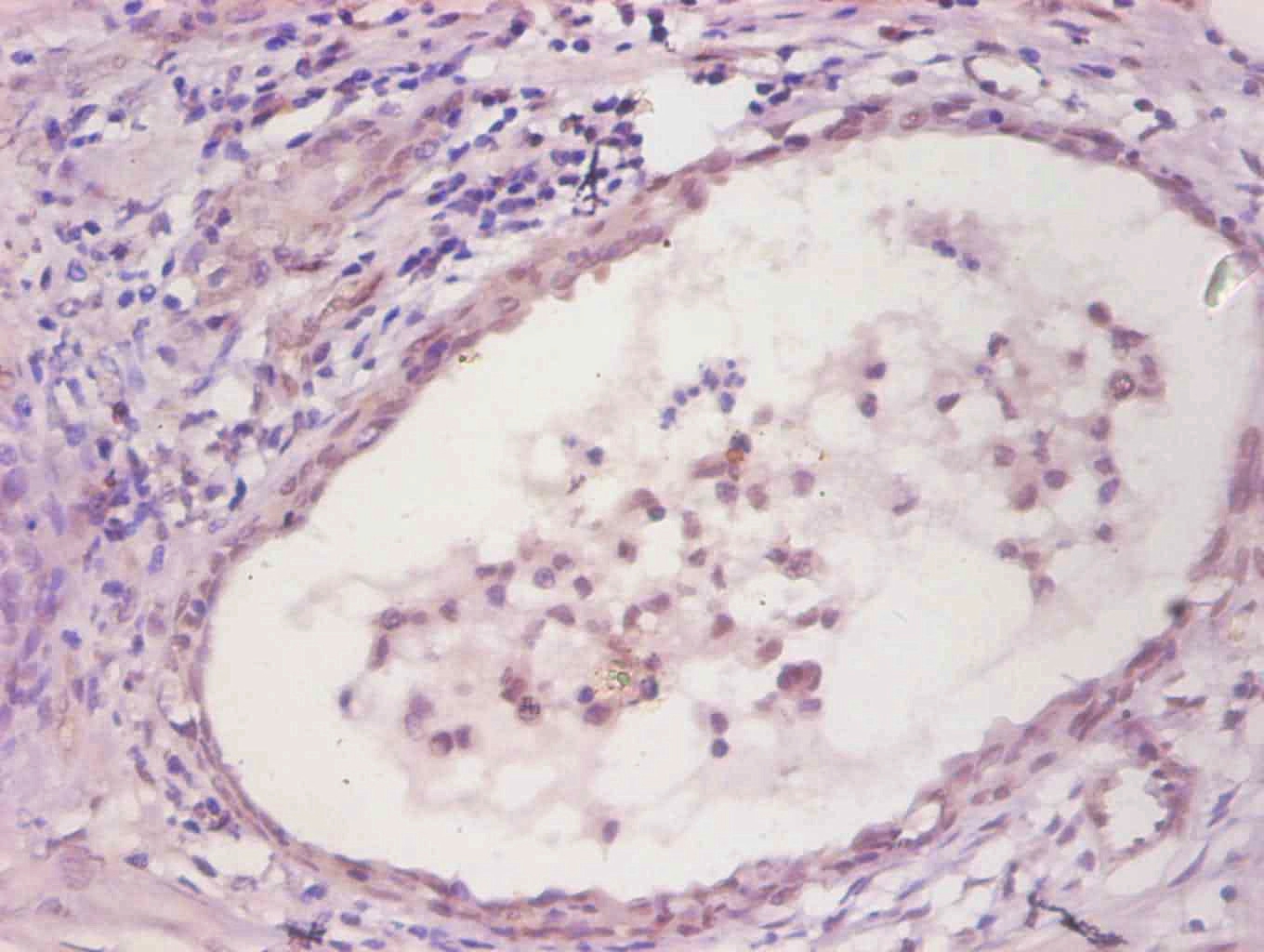
Immunohistochemistry: 1:20 - 1:200
Immunohistochemical analysis of paraffin-embedded human prostate tissue using #42035 at dilution of 1:200.
Cytokine with a wide variety of biological functions. It is a potent inducer of the acute phase response. Plays an essential role in the final differentiation of B-cells into Ig-secreting cells Involved in lymphocyte and monocyte differentiation. It induces myeloma and plasmacytoma growth and induces nerve cells differentiation Acts on B-cells, T-cells, hepatocytes, hematopoeitic progenitor cells and cells of the CNS. Also acts as a myokine. It is discharged into the bloodstream after muscle contraction and acts to increase the breakdown of fats and to improve insulin resistance.

如果您使用该产品42035发表了文章,请通知我们,让我们可以引用您的文献。

et al,Lactobacillus reuteri Alleviates Hyperoxia-Induced BPD by Activating IL-22/STAT3 Signaling Pathway in Neonatal Mice , (2024),
PMID:

注释

应用

  • WB免疫印迹
  • IHC免疫组化
  • IF免疫荧光
  • ICC免疫细胞化学
  • FC流式细胞
  • IP免疫沉淀
  • E酶联免疫吸附法
  • DB免疫斑点法
  • ChIP染色质免疫沉淀
  • GICA胶体金免疫层析法
  • NC阴性对照

种属反应性

  • Hu
  • Ms小鼠
  • Rt大鼠
  • Dm果蝇
  • C线虫
  • Mk
  • Rb
  • B
  • D
  • P
  • Hm仓鼠
  • ChHm中国仓鼠
  • Chk
;

联系我们

Location :

南京市高新开发区星火路10号人才大厦C座

Phone :

400-9961-933
025-58868422

Email Address

info@sabbiotech.com